AGTR1 antibody [HL2524]

Cat. No. GTX638885
Cat. No.  GTX638885
Anti-AGTR1 antibody [HL2524] used in Immunocytochemistry/ Immunofluorescence (ICC/IF). GTX638885
GTX638885 ICC/IF Image

AGTR1 antibody [HL2524] detects AGTR1 protein by immunofluorescent analysis.
Sample: Huh-7 cells were fixed in 4% paraformaldehyde at RT for 15 min.
Green: AGTR1 stained by AGTR1 antibody [HL2524] (GTX638885) diluted at 1:500 and competitor's antibody (competitor) diluted at 1:500.
Red: alpha Tubulin, a cytoskeleton marker, stained by alpha Tubulin antibody [GT114] (GTX628802) diluted at 1:1000.
Blue: Fluoroshield with DAPI (GTX30920).

*Competitor's antibody is not affiliated with GeneTex and does not endorse this product.

1 / 8
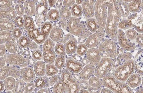
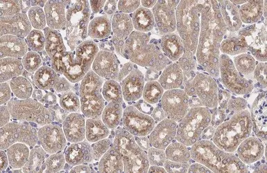
Anti-AGTR1 antibody [HL2524] used in IHC (Paraffin sections) (IHC-P). GTX638885
GTX638885 IHC-P Image

AGTR1 antibody [HL2524] detects AGTR1 protein by immunohistochemical analysis.
Sample: Paraffin-embedded mouse kidney.
AGTR1 stained by AGTR1 antibody [HL2524] (GTX638885) diluted at 1:100.
Antigen Retrieval: Citrate buffer, pH 6.0, 15 min

2 / 8
Anti-AGTR1 antibody [HL2524] used in Immunocytochemistry/ Immunofluorescence (ICC/IF). GTX638885
GTX638885 ICC/IF Image

AGTR1 antibody [HL2524] detects AGTR1 protein at cell membrane by immunofluorescent analysis.
Sample: Huh-7 cells were fixed in 4% paraformaldehyde at RT for 15 min.
Green: AGTR1 stained by AGTR1 antibody [HL2524] (GTX638885) diluted at 1:500.
Red: alpha Tubulin, a cytoskeleton marker, stained by alpha Tubulin antibody [GT114] (GTX628802) diluted at 1:1000.
Blue: Fluoroshield with DAPI (GTX30920).

3 / 8
Anti-AGTR1 antibody [HL2524] used in Western Blot (WB). GTX638885
GTX638885 WB Image

Whole cell extract (30 μg) was separated by 10% SDS-PAGE, and the membrane was blotted with AGTR1 antibody [HL2524] (GTX638885) diluted at 1:1000. The HRP-conjugated anti-rabbit IgG antibody (GTX213110-01) was used to detect the primary antibody, and the signal was developed with Trident femto Western HRP Substrate.

4 / 8
Anti-AGTR1 antibody [HL2524] used in Western Blot (WB). GTX638885
GTX638885 WB Image

Whole cell extract (30 μg) was separated by 10% SDS-PAGE, and the membrane was blotted with AGTR1 antibody [HL2524] (GTX638885) diluted at 1:1000. The HRP-conjugated anti-rabbit IgG antibody (GTX213110-01) was used to detect the primary antibody.

5 / 8
Anti-AGTR1 antibody [HL2524] used in Western Blot (WB). GTX638885
GTX638885 WB Image

Various whole cell extracts (30 μg) were separated by 10% SDS-PAGE, and the membrane was blotted with AGTR1 antibody [HL2524] (GTX638885) diluted at 1:1000. The HRP-conjugated anti-rabbit IgG antibody (GTX213110-01) was used to detect the primary antibody, and the signal was developed with Trident ECL plus-Enhanced. Corresponding RNA expression data for the same cell lines are based on Human Protein Atlas program.

6 / 8
Anti-AGTR1 antibody [HL2524] used in Western Blot (WB). GTX638885
GTX638885 WB Image

Huh-7 cytoplasma extracts and membrane extracts (30 μg) were separated by 10% SDS-PAGE, and the membrane was blotted with AGTR1 antibody [HL2524] (GTX638885) diluted at 1:500. The HRP-conjugated anti-rabbit IgG antibody (GTX213110-01) was used to detect the primary antibody, and the signal was developed with Trident ECL plus-Enhanced. (CE: cytoplasma extract; ME: membrane extract)

7 / 8
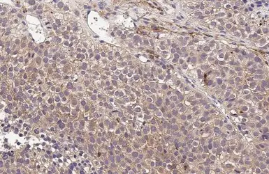
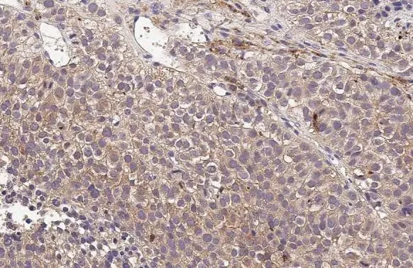
Anti-AGTR1 antibody [HL2524] used in IHC (Paraffin sections) (IHC-P). GTX638885
GTX638885 IHC-P Image

AGTR1 antibody [HL2524] detects AGTR1 protein at cell membrane and cytoplasm by immunohistochemical analysis.
Sample: Paraffin-embedded Huh-7 xenograft.
AGTR1 stained by AGTR1 antibody [HL2524] (GTX638885) diluted at 1:100.
Antigen Retrieval: Citrate buffer, pH 6.0, 15 min

8 / 8
Anti-AGTR1 antibody [HL2524] used in Immunocytochemistry/ Immunofluorescence (ICC/IF). GTX638885
Anti-AGTR1 antibody [HL2524] used in IHC (Paraffin sections) (IHC-P). GTX638885
Anti-AGTR1 antibody [HL2524] used in Immunocytochemistry/ Immunofluorescence (ICC/IF). GTX638885
Anti-AGTR1 antibody [HL2524] used in Western Blot (WB). GTX638885
Anti-AGTR1 antibody [HL2524] used in Western Blot (WB). GTX638885
Anti-AGTR1 antibody [HL2524] used in Western Blot (WB). GTX638885
Anti-AGTR1 antibody [HL2524] used in Western Blot (WB). GTX638885
Anti-AGTR1 antibody [HL2524] used in IHC (Paraffin sections) (IHC-P). GTX638885
  • Host
    Rabbit
  • Clonality
    Monoclonal
  • Clone Name
    HL2524
  • Isotype
    IgG
  • Applications
    WB ICC/IF IHC-P
  • Reactivity
    Human, Mouse
See all AGTR1 products