CD97 antibody [HL1925]

Cat. No. GTX637674
Cat. No.  GTX637674
Anti-CD97 antibody [HL1925] used in Western Blot (WB). GTX637674
GTX637674 WB Image

Wild-type (WT) and CD97 knockout (KO) HeLa cell extracts (30 μg) were separated by 7.5% SDS-PAGE, and the membranes were blotted with CD97 antibody [HL1925] (GTX637674) diluted at 1:1000 and the highly cited competitor's antibody diluted at 1:1000. The HRP-conjugated anti-rabbit IgG antibody (GTX213110-01) was used to detect the primary antibody, and the signal was developed with Trident ECL plus-Enhanced.

*The competitor is not affiliated with GeneTex and does not endorse this product.

1 / 8
Anti-CD97 antibody [HL1925] used in Western Blot (WB). GTX637674
GTX637674 WB Image

Wild-type (WT) and ADGRE5 knockout (KO) HeLa cell extracts (30 μg) were separated by 7.5% SDS-PAGE, and the membrane was blotted with CD97 antibody [HL1925] (GTX637674) diluted at 1:500. The HRP-conjugated anti-rabbit IgG antibody (GTX213110-01) was used to detect the primary antibody.

2 / 8
Anti-CD97 antibody [HL1925] used in Western Blot (WB). GTX637674
GTX637674 WB Image

U937 whole cell and membrane extracts (30 μg) were separated by 7.5% SDS-PAGE, and the membranes were blotted with CD97 antibody [HL1925] (GTX637674) diluted at 1:1000 and competitor's antibody (Clone EPR4427) diluted at 1:1000. The HRP-conjugated anti-rabbit IgG antibody (GTX213110-01) was used to detect the primary antibody, and the signal was developed with Trident ECL plus-Enhanced.

*The competitor is not affiliated with GeneTex and does not endorse this product.

3 / 8
Anti-CD97 antibody [HL1925] used in Western Blot (WB). GTX637674
GTX637674 WB Image

Various whole cell extracts (30 μg) were separated by 7.5% SDS-PAGE, and the membrane was blotted with CD97 antibody [HL1925] (GTX637674) diluted at 1:500. The HRP-conjugated anti-rabbit IgG antibody (GTX213110-01) was used to detect the primary antibody. Corresponding RNA expression data for the same cell lines are based on Human Protein Atlas program.

4 / 8
Anti-CD97 antibody [HL1925] used in Western Blot (WB). GTX637674
GTX637674 WB Image

Untreated (–) and treated (+) U937 whole cell extracts (30 μg) were separated by 7.5% SDS-PAGE, and the membrane was blotted with CD97 antibody [HL1925] (GTX637674) diluted at 1:2000. The HRP-conjugated anti-rabbit IgG antibody (GTX213110-01) was used to detect the primary antibody, and the signal was developed with Trident ECL plus-Enhanced.

5 / 8
Anti-CD97 antibody [HL1925] used in Immunoprecipitation (IP). GTX637674
GTX637674 IP Image

Immunoprecipitation of CD97 protein from U937 using 5 μg of CD97 antibody [HL1925] (GTX637674).
Western blot analysis was performed using CD97 antibody [HL1925] (GTX637674).
EasyBlot HRP-conjugated anti rabbit IgG antibody (GTX221666-01).

6 / 8
Anti-CD97 antibody [HL1925] used in Western Blot (WB). GTX637674
GTX637674 WB Image

Non-transfected (–) and transfected (+) 293T whole cell extracts (30 μg) were separated by 7.5% SDS-PAGE, and the membrane was blotted with CD97 antibody [HL1925] (GTX637674) diluted at 1:2000. The HRP-conjugated anti-rabbit IgG antibody (GTX213110-01) was used to detect the primary antibody.

7 / 8
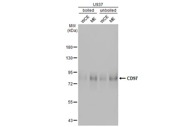
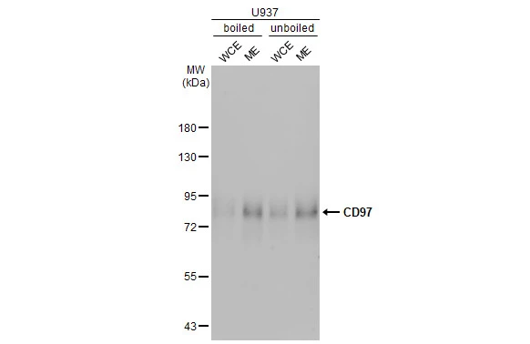
Anti-CD97 antibody [HL1925] used in Western Blot (WB). GTX637674
GTX637674 WB Image

Boiled and unboiled U937 whole cell and membrane extracts (30 μg) were separated by 7.5% SDS-PAGE, and the membrane was blotted with CD97 antibody [HL1925] (GTX637674) diluted at 1:2000. The HRP-conjugated anti-rabbit IgG antibody (GTX213110-01) was used to detect the primary antibody, and the signal was developed with Trident femto Western HRP Substrate.

8 / 8
Anti-CD97 antibody [HL1925] used in Western Blot (WB). GTX637674
Anti-CD97 antibody [HL1925] used in Western Blot (WB). GTX637674
Anti-CD97 antibody [HL1925] used in Western Blot (WB). GTX637674
Anti-CD97 antibody [HL1925] used in Western Blot (WB). GTX637674
Anti-CD97 antibody [HL1925] used in Western Blot (WB). GTX637674
Anti-CD97 antibody [HL1925] used in Immunoprecipitation (IP). GTX637674
Anti-CD97 antibody [HL1925] used in Western Blot (WB). GTX637674
Anti-CD97 antibody [HL1925] used in Western Blot (WB). GTX637674
  • Host
    Rabbit
  • Clonality
    Monoclonal
  • Clone Name
    HL1925
  • Isotype
    IgG
  • Applications
    WB IP
  • Reactivity
    Human
See all CD97 products