CXCR2 antibody [HL2604]

Cat. No. GTX639056
Cat. No.  GTX639056
Anti-CXCR2 antibody [HL2604] used in Immunocytochemistry/ Immunofluorescence (ICC/IF). GTX639056
GTX639056 ICC/IF Image

CXCR2 antibody [HL2604] detects CXCR2 protein at cell membrane by immunofluorescent analysis.
Sample: THP-1 cells were fixed in ice-cold MeOH for 5 min.
Green: CXCR2 stained by CXCR2 antibody [HL2604] (GTX639056) diluted at 1:200 and competitor's antibody (Highly Cited Competitor) diluted at 1:200.
Blue: Fluoroshield with DAPI (GTX30920).

*Competitor's antibody is not affiliated with GeneTex and does not endorse this product.

1 / 10
Anti-CXCR2 antibody [HL2604] used in Western Blot (WB). GTX639056
GTX639056 WB Image

Non-transfected (–) and transfected (+) boiled and unboiled 293T whole cell extracts (30 μg) were separated by 10% SDS-PAGE, and the membranes were blotted with CXCR2 antibody [HL2604] (GTX639056) diluted at 1:1000 and the highly cited competitor's antibody diluted at 1:1000. The HRP-conjugated anti-rabbit IgG antibody (GTX213110-01) was used to detect the primary antibody, and the signal was developed with Trident ECL plus-Enhanced.

*The competitor is not affiliated with GeneTex and does not endorse this product.

2 / 10
Anti-CXCR2 antibody [HL2604] used in Western Blot (WB). GTX639056
GTX639056 WB Image

Unboiled THP-1 whole cell and membrane extracts (30 μg) were separated by 10% SDS-PAGE, and the membranes were blotted with CXCR2 antibody [HL2604] (GTX639056) diluted at 1:1000 and competitor's antibody (Clone 48311) diluted at 1:1000. The HRP-conjugated anti-rabbit IgG antibody (GTX213110-01) was used to detect the primary antibody.

*The competitor is not affiliated with GeneTex and does not endorse this product.

3 / 10
Anti-CXCR2 antibody [HL2604] used in Flow cytometry (FCM). GTX639056
GTX639056 FCM Image

CXCR2 antibody [HL2604] (GTX639056) detects CXCR2 protein by flow cytometry analysis.
Sample: Non-transfected and transfected 293T cells were fixed in 4% paraformaldehyde at 4ºC for 15 min and washed with 0.1% saponin buffer to permeabilize the cell membrane.
The cells were following stained with CXCR2 antibody [HL2604] (GTX639056) diluted at 1:50 or a Rabbit IgG isotype control (GTX35035) control at 4ºC for 1 hour.

4 / 10
Anti-CXCR2 antibody [HL2604] used in Western Blot (WB). GTX639056
GTX639056 WB Image

Unboiled non-transfected (–) and transfected (+) 293T whole cell extracts (30 μg) were separated by 10% SDS-PAGE, and the membrane was blotted with CXCR2 antibody [HL2604] (GTX639056) diluted at 1:5000. The HRP-conjugated anti-rabbit IgG antibody (GTX213110-01) was used to detect the primary antibody.

5 / 10
Anti-CXCR2 antibody [HL2604] used in Immunocytochemistry/ Immunofluorescence (ICC/IF). GTX639056
GTX639056 ICC/IF Image

CXCR2 antibody [HL2604] detects CXCR2 protein by immunofluorescent analysis.
Sample: THP-1 cells were fixed in ice-cold MeOH for 5 min.
Green: CXCR2 stained by CXCR2 antibody [HL2604] (GTX639056) diluted at 1:100.
Blue: Fluoroshield with DAPI (GTX30920).

6 / 10
Anti-CXCR2 antibody [HL2604] used in Western Blot (WB). GTX639056
GTX639056 WB Image

Untreated (–) and treated (+) unboiled THP-1 whole cell extract (30 μg) were separated by 10% SDS-PAGE, and the membrane was blotted with CXCR2 antibody [HL2604] (GTX639056) diluted at 1:1000. The HRP-conjugated anti-rabbit IgG antibody (GTX213110-01) was used to detect the primary antibody.

7 / 10
Anti-CXCR2 antibody [HL2604] used in Functional Assay (Functional Assay). GTX639056
GTX639056 Functional Assay Image

CXCR2 antibody [HL2604] (GTX639056) specifically detects CXCR2 protein on a VirDTM-GPCR array (CDI Labs, Baltimore, MD). Array was probed with antibody using a 1:1000 dilution.

Yellow: CXCR2
Blue: CXCR1, CXCR3, CXCR4, CXCR5, or CXCR6
White: Positive control

8 / 10
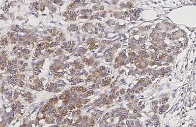
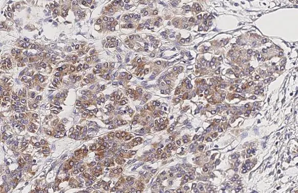
Anti-CXCR2 antibody [HL2604] used in IHC (Paraffin sections) (IHC-P). GTX639056
GTX639056 IHC-P Image

CXCR2 antibody [HL2604] detects CXCR2 protein at cell membrane and cytoplasm by immunohistochemical analysis.
Sample: Paraffin-embedded human pancreatic cancer.
CXCR2 stained by CXCR2 antibody [HL2604] (GTX639056) diluted at 1:100.
Antigen Retrieval: Citrate buffer, pH 6.0, 15 min

9 / 10
Anti-CXCR2 antibody [HL2604] used in Western Blot (WB). GTX639056
GTX639056 WB Image

Non-transfected (–) and transfected (+) bolied and unboiled 293T whole cell extracts (30 μg) were separated by 10% SDS-PAGE, and the membrane was blotted with CXCR2 antibody [HL2604] (GTX639056) diluted at 1:1000. The HRP-conjugated anti-rabbit IgG antibody (GTX213110-01) was used to detect the primary antibody.

10 / 10
Anti-CXCR2 antibody [HL2604] used in Immunocytochemistry/ Immunofluorescence (ICC/IF). GTX639056
Anti-CXCR2 antibody [HL2604] used in Western Blot (WB). GTX639056
Anti-CXCR2 antibody [HL2604] used in Western Blot (WB). GTX639056
Anti-CXCR2 antibody [HL2604] used in Flow cytometry (FCM). GTX639056
Anti-CXCR2 antibody [HL2604] used in Western Blot (WB). GTX639056
Anti-CXCR2 antibody [HL2604] used in Immunocytochemistry/ Immunofluorescence (ICC/IF). GTX639056
Anti-CXCR2 antibody [HL2604] used in Western Blot (WB). GTX639056
Anti-CXCR2 antibody [HL2604] used in Functional Assay (Functional Assay). GTX639056
Anti-CXCR2 antibody [HL2604] used in IHC (Paraffin sections) (IHC-P). GTX639056
Anti-CXCR2 antibody [HL2604] used in Western Blot (WB). GTX639056
  • Host
    Rabbit
  • Clonality
    Monoclonal
  • Clone Name
    HL2604
  • Isotype
    IgG
  • Applications
    WB ICC/IF IHC-P FCM Functional Assay
  • Reactivity
    Human
See all CXCR2 products