Calcium Sensing Receptor antibody [HL2357]

Cat. No. GTX638563
Cat. No.  GTX638563
Anti-Calcium Sensing Receptor antibody [HL2357] used in Western Blot (WB). GTX638563
GTX638563 WB Image

Various whole cell extracts (30 μg) were separated by 5% SDS-PAGE, and the membranes were blotted with Calcium Sensing Receptor antibody [HL2357] (GTX638563) diluted at 1:1000 and competitor's antibody (Clone 5C10, ADD) diluted at 1:1000. The HRP-conjugated anti-rabbit IgG antibody (GTX213110-01) was used to detect the primary antibody.

*The competitor is not affiliated with GeneTex and does not endorse this product.

1 / 10
Anti-Calcium Sensing Receptor antibody [HL2357] used in IHC (Paraffin sections) (IHC-P). GTX638563
GTX638563 IHC-P Image

Calcium Sensing Receptor antibody [HL2357] detects Calcium Sensing Receptor protein by immunohistochemical analysis.
Sample: Paraffin-embedded mouse tissues.
Calcium Sensing Receptor stained by Calcium Sensing Receptor antibody [HL2357] (GTX638563) diluted at 1:2000.
Antigen Retrieval: Citrate buffer, pH 6.0, 15 min

2 / 10
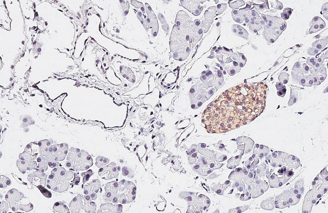
Anti-Calcium Sensing Receptor antibody [HL2357] used in IHC (Paraffin sections) (IHC-P). GTX638563
GTX638563 IHC-P Image

Calcium Sensing Receptor antibody [HL2357] detects Calcium Sensing Receptor protein by immunohistochemical analysis.
Sample: Paraffin-embedded mouse pancreas.
Calcium Sensing Receptor stained by Calcium Sensing Receptor antibody [HL2357] (GTX638563) diluted at 1:2000.
Antigen Retrieval: Citrate buffer, pH 6.0, 15 min

3 / 10
Anti-Calcium Sensing Receptor antibody [HL2357] used in Immunoprecipitation (IP). GTX638563
GTX638563 IP Image

Immunoprecipitation of Calcium Sensing Receptor protein from TT whole cell extract using 5 μg of Calcium Sensing Receptor antibody [HL2357] (GTX638563).
Western blot analysis was performed using Calcium Sensing Receptor antibody [HL2357] (GTX638563).
EasyBlot anti-rabbit IgG (HRP) (GTX221666-01) was used as a secondary reagent.

4 / 10
Anti-Calcium Sensing Receptor antibody [HL2357] used in Western Blot (WB). GTX638563
GTX638563 WB Image

Whole cell extract (30 μg) was separated by 5% SDS-PAGE, and the membrane was blotted with Calcium Sensing Receptor antibody [HL2357] (GTX638563) diluted at 1:1000. The HRP-conjugated anti-rabbit IgG antibody (GTX213110-01) was used to detect the primary antibody.

5 / 10
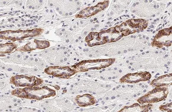
Anti-Calcium Sensing Receptor antibody [HL2357] used in IHC (Paraffin sections) (IHC-P). GTX638563
GTX638563 IHC-P Image

Calcium Sensing Receptor antibody [HL2357] detects Calcium Sensing Receptor protein at cell membrane and cytoplasm by immunohistochemical analysis.
Sample: Paraffin-embedded human kidney.
Calcium Sensing Receptor stained by Calcium Sensing Receptor antibody [HL2357] (GTX638563) diluted at 1:400.
Antigen Retrieval: Citrate buffer, pH 6.0, 15 min

6 / 10
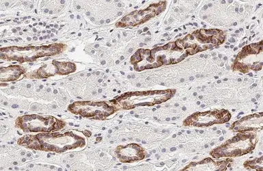
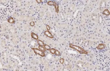
Anti-Calcium Sensing Receptor antibody [HL2357] used in IHC (Paraffin sections) (IHC-P). GTX638563
GTX638563 IHC-P Image

Calcium Sensing Receptor antibody [HL2357] detects Calcium Sensing Receptor protein at cell membrane and cytoplasm by immunohistochemical analysis.
Sample: Paraffin-embedded rat kidney.
Calcium Sensing Receptor stained by Calcium Sensing Receptor antibody [HL2357] (GTX638563) diluted at 1:400.
Antigen Retrieval: Citrate buffer, pH 6.0, 15 min

7 / 10
Anti-Calcium Sensing Receptor antibody [HL2357] used in Western Blot (WB). GTX638563
GTX638563 WB Image

Various whole cell extracts (30 μg) were separated by 5% SDS-PAGE, and the membrane was blotted with Calcium Sensing Receptor antibody [HL2357] (GTX638563) diluted at 1:1000. The HRP-conjugated anti-rabbit IgG antibody (GTX213110-01) was used to detect the primary antibody. Corresponding RNA expression data for the same cell lines are based on Human Protein Atlas program.

8 / 10
Anti-Calcium Sensing Receptor antibody [HL2357] used in Western Blot (WB). GTX638563
GTX638563 WB Image

Various tissue extracts (50 μg) were separated by 5% SDS-PAGE, and the membrane was blotted with Calcium Sensing Receptor antibody [HL2357] (GTX638563) diluted at 1:1000. The HRP-conjugated anti-rabbit IgG antibody (GTX213110-01) was used to detect the primary antibody.

9 / 10
Anti-Calcium Sensing Receptor antibody [HL2357] used in Western Blot (WB). GTX638563
GTX638563 WB Image

Rat tissue extract (50 μg) was separated by 5% SDS-PAGE, and the membrane was blotted with Calcium Sensing Receptor antibody [HL2357] (GTX638563) diluted at 1:1000. The HRP-conjugated anti-rabbit IgG antibody (GTX213110-01) was used to detect the primary antibody.

10 / 10
Anti-Calcium Sensing Receptor antibody [HL2357] used in Western Blot (WB). GTX638563
Anti-Calcium Sensing Receptor antibody [HL2357] used in IHC (Paraffin sections) (IHC-P). GTX638563
Anti-Calcium Sensing Receptor antibody [HL2357] used in IHC (Paraffin sections) (IHC-P). GTX638563
Anti-Calcium Sensing Receptor antibody [HL2357] used in Immunoprecipitation (IP). GTX638563
Anti-Calcium Sensing Receptor antibody [HL2357] used in Western Blot (WB). GTX638563
Anti-Calcium Sensing Receptor antibody [HL2357] used in IHC (Paraffin sections) (IHC-P). GTX638563
Anti-Calcium Sensing Receptor antibody [HL2357] used in IHC (Paraffin sections) (IHC-P). GTX638563
Anti-Calcium Sensing Receptor antibody [HL2357] used in Western Blot (WB). GTX638563
Anti-Calcium Sensing Receptor antibody [HL2357] used in Western Blot (WB). GTX638563
Anti-Calcium Sensing Receptor antibody [HL2357] used in Western Blot (WB). GTX638563
  • Host
    Rabbit
  • Clonality
    Monoclonal
  • Clone Name
    HL2357
  • Isotype
    IgG
  • Applications
    WB IHC-P IP
  • Reactivity
    Human, Mouse, Rat, Cat
See all Calcium Sensing Receptor products