Claudin 5 antibody [HL3156]

Cat. No. GTX640666
Cat. No.  GTX640666
Anti-Claudin 5 antibody [HL3156] used in IHC (Paraffin sections) (IHC-P). GTX640666
GTX640666 IHC-P Image

Claudin 5 antibody [HL3156] detects Claudin 5 protein by immunohistochemical analysis.
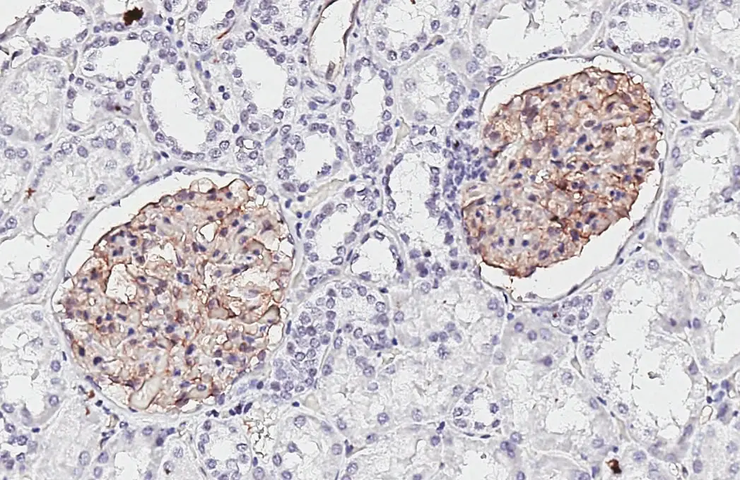
Sample: Paraffin-embedded rat kidney.
Claudin 5 stained by Claudin 5 antibody [HL3156] (GTX640666) diluted at 1:2000.
Antigen Retrieval: Tris-EDTA buffer, pH 9.0, 15 min

1 / 10
Anti-Claudin 5 antibody [HL3156] used in IHC (Paraffin sections) (IHC-P). GTX640666
GTX640666 IHC-P Image

Claudin 5 antibody [HL3156] detects Claudin 5 protein by immunohistochemical analysis.
Sample: Paraffin-embedded rat cerebellum.
Claudin 5 stained by Claudin 5 antibody [HL3156] (GTX640666) diluted at 1:2000.
Antigen Retrieval: Tris-EDTA buffer, pH 9.0, 15 min

2 / 10
Anti-Claudin 5 antibody [HL3156] used in IHC (Paraffin sections) (IHC-P). GTX640666
GTX640666 IHC-P Image

Claudin 5 antibody [HL3156] detects Claudin 5 protein by immunohistochemical analysis.
Sample: Paraffin-embedded human tissues.
Claudin 5 stained by Claudin 5 antibody [HL3156] (GTX640666) diluted at 1:3200.
Antigen Retrieval: Tris-EDTA buffer, pH 9.0, 15 min

3 / 10
Anti-Claudin 5 antibody [HL3156] used in IHC (Paraffin sections) (IHC-P). GTX640666
GTX640666 IHC-P Image

Claudin 5 antibody [HL3156] detects Claudin 5 protein by immunohistochemical analysis.
Sample: Paraffin-embedded human tissues.
Claudin 5 stained by Claudin 5 antibody [HL3156] (GTX640666) diluted at 1:3200.
Antigen Retrieval: Tris-EDTA buffer, pH 9.0, 15 min

4 / 10
Anti-Claudin 5 antibody [HL3156] used in IHC (Paraffin sections) (IHC-P). GTX640666
GTX640666 IHC-P Image

Claudin 5 antibody [HL3156] detects Claudin 5 protein by immunohistochemical analysis.
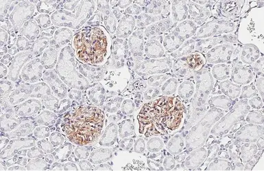
Sample: Paraffin-embedded human kidney.
Claudin 5 stained by Claudin 5 antibody [HL3156] (GTX640666) diluted at 1:3200.
Antigen Retrieval: Tris-EDTA buffer, pH 9.0, 15 min

5 / 10
Anti-Claudin 5 antibody [HL3156] used in IHC (Paraffin sections) (IHC-P). GTX640666
GTX640666 IHC-P Image

Claudin 5 antibody [HL3156] detects Claudin 5 protein by immunohistochemical analysis.
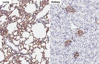
Sample: Paraffin-embedded mouse tissues.
Claudin 5 stained by Claudin 5 antibody [HL3156] (GTX640666) diluted at 1:2000.
Antigen Retrieval: Tris-EDTA buffer, pH 9.0, 15 min

6 / 10
Anti-Claudin 5 antibody [HL3156] used in IHC (Paraffin sections) (IHC-P). GTX640666
GTX640666 IHC-P Image

Claudin 5 antibody [HL3156] detects Claudin 5 protein by immunohistochemical analysis.
Sample: Paraffin-embedded mouse brain.
Green: Claudin 5 stained by Claudin 5 antibody [HL3156] (GTX640666) diluted at 1:2000.
Red: beta Tubulin 3/ Tuj1 antibody [GT11710] (GTX631836) diluted at 1:500.
Blue: Fluoroshield with DAPI (GTX30920).
Antigen Retrieval: Tris-EDTA buffer, pH 9.0, 15 min

7 / 10
Anti-Claudin 5 antibody [HL3156] used in IHC (Paraffin sections) (IHC-P). GTX640666
GTX640666 IHC-P Image

Claudin 5 antibody [HL3156] detects Claudin 5 protein by immunohistochemical analysis.
Sample: Paraffin-embedded mouse tissues.
Claudin 5 stained by Claudin 5 antibody [HL3156] (GTX640666) diluted at 1:2000.
Antigen Retrieval: Tris-EDTA buffer, pH 9.0, 15 min

8 / 10
Anti-Claudin 5 antibody [HL3156] used in Western Blot (WB). GTX640666
GTX640666 WB Image

Unboiled mouse tissue extract (50 μg) was separated by 12% SDS-PAGE, and the membrane was blotted with Claudin 5 antibody [HL3156] (GTX640666) diluted at 1:1000. The HRP-conjugated anti-rabbit IgG antibody (GTX213110-01) was used to detect the primary antibody.

9 / 10
Anti-Claudin 5 antibody [HL3156] used in Western Blot (WB). GTX640666
GTX640666 WB Image

Unboiled various whole cell extracts (30 μg) were separated by 12% SDS-PAGE, and the membrane was blotted with Claudin 5 antibody [HL3156] (GTX640666) diluted at 1:1000. The HRP-conjugated anti-rabbit IgG antibody (GTX213110-01) was used to detect the primary antibody. Corresponding RNA expression data for the same cell lines are based on Human Protein Atlas program.

10 / 10
Anti-Claudin 5 antibody [HL3156] used in IHC (Paraffin sections) (IHC-P). GTX640666
Anti-Claudin 5 antibody [HL3156] used in IHC (Paraffin sections) (IHC-P). GTX640666
Anti-Claudin 5 antibody [HL3156] used in IHC (Paraffin sections) (IHC-P). GTX640666
Anti-Claudin 5 antibody [HL3156] used in IHC (Paraffin sections) (IHC-P). GTX640666
Anti-Claudin 5 antibody [HL3156] used in IHC (Paraffin sections) (IHC-P). GTX640666
Anti-Claudin 5 antibody [HL3156] used in IHC (Paraffin sections) (IHC-P). GTX640666
Anti-Claudin 5 antibody [HL3156] used in IHC (Paraffin sections) (IHC-P). GTX640666
Anti-Claudin 5 antibody [HL3156] used in IHC (Paraffin sections) (IHC-P). GTX640666
Anti-Claudin 5 antibody [HL3156] used in Western Blot (WB). GTX640666
Anti-Claudin 5 antibody [HL3156] used in Western Blot (WB). GTX640666
  • Host
    Rabbit
  • Clonality
    Monoclonal
  • Clone Name
    HL3156
  • Isotype
    IgG
  • Applications
    WB IHC-P
  • Reactivity
    Human, Mouse, Rat
See all Claudin 5 products