EasyBlocker

Cat. No. GTX425858
Cat. No.  GTX425858
EasyBlocker. GTX425858
GTX425858 WB Image

EasyBlocker Western blot analysis of protein A sample. Membrane was blocked with (A) 5% milk or (B) EasyBlocker. Rabbit anti-GST antibody was then used as 1st antibody followed by EasyBlot anti-Rabbit IgG HRP as second step reagent.

1 / 2
EasyBlocker. GTX425858
GTX425858 WB Image

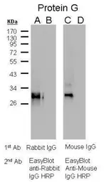
EasyBlocker Western blot analysis of protein G sample. Membrane was blocked with 5% milk (A and C) or EasyBlocker (B and D). A and B: 1st antibody: Rabbit IgG 2nd antibody: EasyBlot anti-Rabbit IgG HRP C and D: 1st antibody: Mouse IgG 2nd antibody: EasyBlot anti-Mouse IgG HRP

2 / 2
EasyBlocker. GTX425858
EasyBlocker. GTX425858
  • Applications
    WB
Summary
EasyBlocker for EasyBlot kit
See all Blocking reagent products