FPRL1 antibody [HL2664]

Cat. No. GTX639328
Cat. No.  GTX639328
Anti-FPRL1 antibody [HL2664] used in Western Blot (WB). GTX639328
GTX639328 WB Image

Non-transfected (–) and transfected (+) boiled and unboiled 293T whole cell extracts (30 μg) were separated by 10% SDS-PAGE, and the membranes were blotted with FPRL1 antibody [HL2664] (GTX639328) diluted at 1:1000 and competitor's antibody (competitor) diluted at 1:1000. The HRP-conjugated anti-rabbit IgG antibody (GTX213110-01) was used to detect the primary antibody.

*The competitor is not affiliated with GeneTex and does not endorse this product.

1 / 7
Anti-FPRL1 antibody [HL2664] used in Immunocytochemistry/ Immunofluorescence (ICC/IF). GTX639328
GTX639328 ICC/IF Image

FPRL1 antibody [HL2664] detects FPRL1 protein by immunofluorescent analysis.
Sample: Mock and transfected 293T cells were fixed in ice-cold MeOH for 5 min.
Green: FPRL1 stained by FPRL1 antibody [HL2664] (GTX639328) diluted at 1:500 and competitor's antibody (highly cited competitor) diluted at 1:500.
Blue: Fluoroshield with DAPI (GTX30920).

*Competitor's antibody is not affiliated with GeneTex and does not endorse this product.

*The competitor is not affiliated with GeneTex and does not endorse this product.

2 / 7
Anti-FPRL1 antibody [HL2664] used in IHC (Paraffin sections) (IHC-P). GTX639328
GTX639328 IHC-P Image

FPRL1 antibody [HL2664] detects FPRL1 protein at cell membrane by immunohistochemical analysis.
Sample: Paraffin-embedded mouse spleen.
FPRL1 stained by FPRL1 antibody [HL2664] (GTX639328) diluted at 1:200 and competitor's antibody (NLS1878) diluted at 1:200.
Antigen Retrieval: Citrate buffer, pH 6.0, 15 min

*Competitor's antibody is not affiliated with GeneTex and does not endorse this product.

*The competitor is not affiliated with GeneTex and does not endorse this product.

3 / 7
Anti-FPRL1 antibody [HL2664] used in Immunocytochemistry/ Immunofluorescence (ICC/IF). GTX639328
GTX639328 ICC/IF Image

FPRL1 antibody [HL2664] detects FPRL1 protein by immunofluorescent analysis.
Sample: HL-60 cells were fixed in 4% paraformaldehyde at RT for 15 min.
Green: FPRL1 stained by FPRL1 antibody [HL2664] (GTX639328) diluted at 1:100.
Blue: Fluoroshield with DAPI (GTX30920).

4 / 7
Anti-FPRL1 antibody [HL2664] used in Western Blot (WB). GTX639328
GTX639328 WB Image

Unboiled U937 whole cell and membrane extracts (30 μg) were separated by 10% SDS-PAGE, and the membrane was blotted with FPRL1 antibody [HL2664] (GTX639328) diluted at 1:1000. The HRP-conjugated anti-rabbit IgG antibody (GTX213110-01) was used to detect the primary antibody.

5 / 7
Anti-FPRL1 antibody [HL2664] used in Immunocytochemistry/ Immunofluorescence (ICC/IF). GTX639328
GTX639328 ICC/IF Image

FPRL1 antibody [HL2664] detects FPRL1 protein by immunofluorescent analysis.
Sample: Mock and transfected 293T cells were fixed in ice-cold MeOH for 5 min.
Green: FPRL1 stained by FPRL1 antibody [HL2664] (GTX639328) diluted at 1:500.
Blue: Fluoroshield with DAPI (GTX30920).

6 / 7
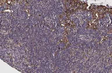
Anti-FPRL1 antibody [HL2664] used in IHC (Paraffin sections) (IHC-P). GTX639328
GTX639328 IHC-P Image

FPRL1 antibody [HL2664] detects FPRL1 protein at cell membrane by immunohistochemical analysis.
Sample: Paraffin-embedded mouse spleen.
FPRL1 stained by FPRL1 antibody [HL2664] (GTX639328) diluted at 1:100.
Antigen Retrieval: Citrate buffer, pH 6.0, 15 min

7 / 7
Anti-FPRL1 antibody [HL2664] used in Western Blot (WB). GTX639328
Anti-FPRL1 antibody [HL2664] used in Immunocytochemistry/ Immunofluorescence (ICC/IF). GTX639328
Anti-FPRL1 antibody [HL2664] used in IHC (Paraffin sections) (IHC-P). GTX639328
Anti-FPRL1 antibody [HL2664] used in Immunocytochemistry/ Immunofluorescence (ICC/IF). GTX639328
Anti-FPRL1 antibody [HL2664] used in Western Blot (WB). GTX639328
Anti-FPRL1 antibody [HL2664] used in Immunocytochemistry/ Immunofluorescence (ICC/IF). GTX639328
Anti-FPRL1 antibody [HL2664] used in IHC (Paraffin sections) (IHC-P). GTX639328
  • Host
    Rabbit
  • Clonality
    Monoclonal
  • Clone Name
    HL2664
  • Isotype
    IgG
  • Applications
    WB ICC/IF IHC-P
  • Reactivity
    Human, Mouse
See all FPRL1 products