GLP1R antibody [HL2297]

Cat. No. GTX638352
Cat. No.  GTX638352
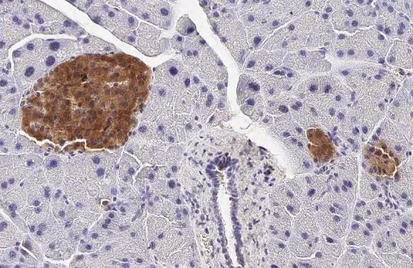
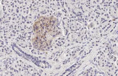
Anti-GLP1R antibody [HL2297] used in IHC (Paraffin sections) (IHC-P). GTX638352
GTX638352 IHC-P Image

GLP1R antibody [HL2297] detects GLP1R protein at cell membrane and cytoplasm by immunohistochemical analysis.
Sample: Paraffin-embedded mouse pancreas.
GLP1R stained by GLP1R antibody [HL2297] (GTX638352) diluted at 1:2000 and competitor's antibody (ab218532) diluted at 1:2000.
Antigen Retrieval: Citrate buffer, pH 6.0, 15 min

*Competitor's antibody is not affiliated with GeneTex and does not endorse this product.

1 / 4
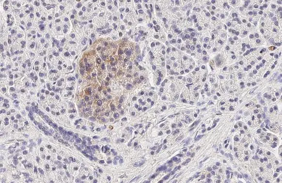
Anti-GLP1R antibody [HL2297] used in IHC (Paraffin sections) (IHC-P). GTX638352
GTX638352 IHC-P Image

GLP1R antibody [HL2297] detects GLP1R protein at cell membrane by immunohistochemical analysis.
Sample: Paraffin-embedded human pancreas.
GLP1R stained by GLP1R antibody [HL2297] (GTX638352) diluted at 1:200.
Antigen Retrieval: Citrate buffer, pH 6.0, 15 min

2 / 4
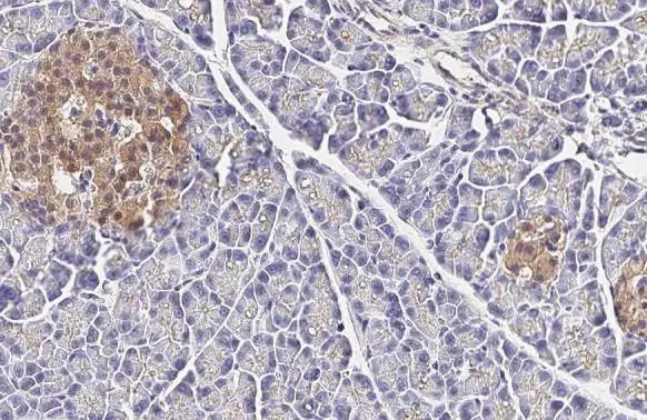
Anti-GLP1R antibody [HL2297] used in IHC (Paraffin sections) (IHC-P). GTX638352
GTX638352 IHC-P Image

GLP1R antibody [HL2297] detects GLP1R protein at cell membrane by immunohistochemical analysis.
Sample: Paraffin-embedded mouse pancreas.
GLP1R stained by GLP1R antibody [HL2297] (GTX638352) diluted at 1:200.
Antigen Retrieval: Citrate buffer, pH 6.0, 15 min

3 / 4
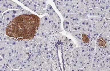
Anti-GLP1R antibody [HL2297] used in IHC (Paraffin sections) (IHC-P). GTX638352
GTX638352 IHC-P Image

GLP1R antibody [HL2297] detects GLP1R protein at cell membrane by immunohistochemical analysis.
Sample: Paraffin-embedded rat pancreas.
GLP1R stained by GLP1R antibody [HL2297] (GTX638352) diluted at 1:200.
Antigen Retrieval: Citrate buffer, pH 6.0, 15 min

4 / 4
Anti-GLP1R antibody [HL2297] used in IHC (Paraffin sections) (IHC-P). GTX638352
Anti-GLP1R antibody [HL2297] used in IHC (Paraffin sections) (IHC-P). GTX638352
Anti-GLP1R antibody [HL2297] used in IHC (Paraffin sections) (IHC-P). GTX638352
Anti-GLP1R antibody [HL2297] used in IHC (Paraffin sections) (IHC-P). GTX638352
  • Host
    Rabbit
  • Clonality
    Monoclonal
  • Clone Name
    HL2297
  • Isotype
    IgG
  • Applications
    IHC-P
  • Reactivity
    Human, Mouse, Rat
See all GLP1R products