Goat Anti-Mouse IgG antibody (HRP)

Cat. No. GTX213111-01
Cat. No.  GTX213111-01
Goat Anti-Mouse IgG antibody (HRP). GTX213111-01
GTX213111-01 IHC-P Image

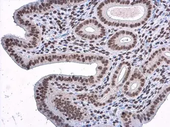
E2F1 antibody [16G7] detects E2F1 protein at nucleus in mouse cervix by immunohistochemical analysis.
Sample: Paraffin-embedded mouse cervix.
E2F1 antibody [16G7] (GTX70163) diluted at 1:500.
The signal was developed by Mouse IgG antibody (HRP) (GTX213111-01).
Antigen Retrieval: Citrate buffer, pH 6.0, 15 min

1 / 12
Goat Anti-Mouse IgG antibody (HRP). GTX213111-01
GTX213111-01 WB Image

Various amounts of denatured mouse IgG protein were separated by 12% SDS-PAGE, and the membrane was blotted with HRP-conjugated anti-mouse IgG antibody (GTX213111-01) diluted at 1:5000.

2 / 12
Goat Anti-Mouse IgG antibody (HRP). GTX213111-01
GTX213111-01 WB Image

Various whole cell extracts were separated by 12% SDS-PAGE, and the membrane was blotted with alpha Tubulin antibody [GT114] (GTX628802) diluted at 1:10000. The HRP-conjugated anti-mouse IgG antibody (GTX213111-01) was used to detect the primary antibody.

3 / 12
Goat Anti-Mouse IgG antibody (HRP). GTX213111-01
GTX213111-01 WB Image

The data was published in the journal EMBO Rep in 2020. PMID: 31885126

4 / 12
Goat Anti-Mouse IgG antibody (HRP). GTX213111-01
GTX213111-01 WB Image

The data was published in the journal Mar Drugs in 2020. PMID: 32245246

5 / 12
Goat Anti-Mouse IgG antibody (HRP). GTX213111-01
GTX213111-01 WB Image

The data was published in the journal EMBO Rep in 2020. PMID: 31885126

6 / 12
Goat Anti-Mouse IgG antibody (HRP). GTX213111-01
GTX213111-01 WB Image

The data was published in the journal EMBO Rep in 2020. PMID: 31885126

7 / 12
Goat Anti-Mouse IgG antibody (HRP). GTX213111-01
GTX213111-01 WB Image

The data was published in the 2017 in Nat Commun. PMID: 28281525

8 / 12
Goat Anti-Mouse IgG antibody (HRP). GTX213111-01
GTX213111-01 WB Image

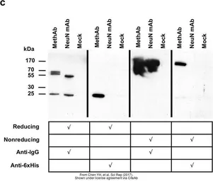
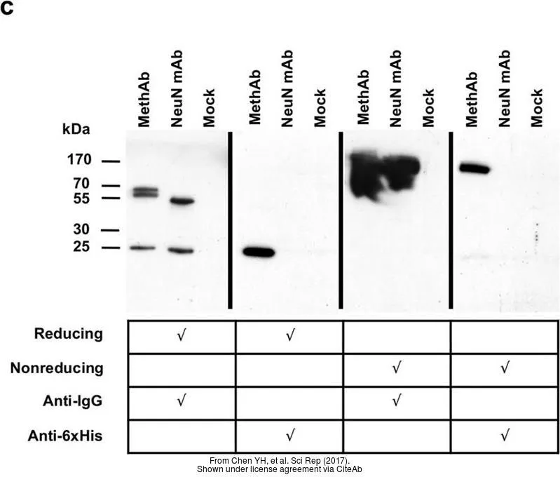
The data was published in the 2017 in Sci Rep. PMID: 28387350

9 / 12
Goat Anti-Mouse IgG antibody (HRP). GTX213111-01
GTX213111-01 WB Image

The data was published in the 2017 in Nat Commun. PMID: 28281525

10 / 12
Goat Anti-Mouse IgG antibody (HRP). GTX213111-01
GTX213111-01 WB Image

The data was published in the 2022 in Front Aging Neurosci. PMID: 35264943

11 / 12
Goat Anti-Mouse IgG antibody (HRP). GTX213111-01
GTX213111-01 WB Image

The data was published in the 2022 in Front Aging Neurosci. PMID: 35264943

12 / 12
Goat Anti-Mouse IgG antibody (HRP). GTX213111-01
Goat Anti-Mouse IgG antibody (HRP). GTX213111-01
Goat Anti-Mouse IgG antibody (HRP). GTX213111-01
Goat Anti-Mouse IgG antibody (HRP). GTX213111-01
Goat Anti-Mouse IgG antibody (HRP). GTX213111-01
Goat Anti-Mouse IgG antibody (HRP). GTX213111-01
Goat Anti-Mouse IgG antibody (HRP). GTX213111-01
Goat Anti-Mouse IgG antibody (HRP). GTX213111-01
Goat Anti-Mouse IgG antibody (HRP). GTX213111-01
Goat Anti-Mouse IgG antibody (HRP). GTX213111-01
Goat Anti-Mouse IgG antibody (HRP). GTX213111-01
Goat Anti-Mouse IgG antibody (HRP). GTX213111-01
  • Host
    Goat
  • Clonality
    Polyclonal
  • Isotype
    IgG
  • Applications
    WB IHC-P ELISA IHC
  • Reactivity
    Mouse
See all Mouse IgG products