Lamin B1 antibody [HMV4719] HistoMAX™

Cat. No. GTX645999
Cat. No.  GTX645999
Anti-Lamin B1 antibody [HMV4719] HistoMAX™ used in IHC (Paraffin sections) (IHC-P). GTX645999
GTX645999 IHC-P Image

IHC-P analysis of human thymus using GTX645999 Lamin B1 antibody [HMV4719] HistoMAX™.
An intense Lamin B1 staining of nuclear membranes of lymphocytic cells. Weak staining of squamous epithelial cells of corpuscles of Hassall's.

1 / 4
Anti-Lamin B1 antibody [HMV4719] HistoMAX™ used in IHC (Paraffin sections) (IHC-P). GTX645999
GTX645999 IHC-P Image

IHC-P analysis of human invasive breast cancer of no special type (NST) using GTX645999 Lamin B1 antibody [HMV4719] HistoMAX™.
A strong membranous perinuclear Lamin B1 positivity of tumor cells.

2 / 4
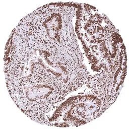
Anti-Lamin B1 antibody [HMV4719] HistoMAX™ used in IHC (Paraffin sections) (IHC-P). GTX645999
GTX645999 IHC-P Image

IHC-P analysis of human colorectal adenocarcinoma (COAD) using GTX645999 Lamin B1 antibody [HMV4719] HistoMAX™.
A strong membranous perinuclear Lamin B1 immunostaining of tumor cells.

3 / 4
Anti-Lamin B1 antibody [HMV4719] HistoMAX™ used in IHC (Paraffin sections) (IHC-P). GTX645999
GTX645999 IHC-P Image

IHC-P analysis of human testis using GTX645999 Lamin B1 antibody [HMV4719] HistoMAX™.
A strong Lamin B1 staining of nuclear membranes of spermatogonia while the staining intensityin germinal cells markedly decreases with maturation. Only faint or absent stain.

4 / 4
Anti-Lamin B1 antibody [HMV4719] HistoMAX™ used in IHC (Paraffin sections) (IHC-P). GTX645999
Anti-Lamin B1 antibody [HMV4719] HistoMAX™ used in IHC (Paraffin sections) (IHC-P). GTX645999
Anti-Lamin B1 antibody [HMV4719] HistoMAX™ used in IHC (Paraffin sections) (IHC-P). GTX645999
Anti-Lamin B1 antibody [HMV4719] HistoMAX™ used in IHC (Paraffin sections) (IHC-P). GTX645999
  • Host
    Rabbit
  • Clonality
    Monoclonal
  • Clone Name
    HMV4719
  • Isotype
    IgG
  • Applications
    IHC-P
  • Reactivity
    Human
See all Lamin B1 products