PCNA antibody [HMV4714] HistoMAX™

Cat. No. GTX644715
Cat. No.  GTX644715
Anti-PCNA antibody [HMV4714] HistoMAX™ used in IHC (Paraffin sections) (IHC-P). GTX644715
GTX644715 IHC-P Image

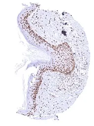
IHC-P analysis of human esophagus tissue using GTX644715 PCNA antibody [HMV4714] HistoMAX™.
In the squamous epithelium, nuclear PCNA staining is highest in suprabasal cell layers and markedly decreases towards the surface where PCNA staining is lacking.

1 / 4
Anti-PCNA antibody [HMV4714] HistoMAX™ used in IHC (Paraffin sections) (IHC-P). GTX644715
GTX644715 IHC-P Image

IHC-P analysis of human skin tissue using GTX644715 PCNA antibody [HMV4714] HistoMAX™.
In the epidermis, nuclear PCNA staining is most prevalent and intense in basal and suprabasal cell layers and decreases towards the surface.

2 / 4
Anti-PCNA antibody [HMV4714] HistoMAX™ used in IHC (Paraffin sections) (IHC-P). GTX644715
GTX644715 IHC-P Image

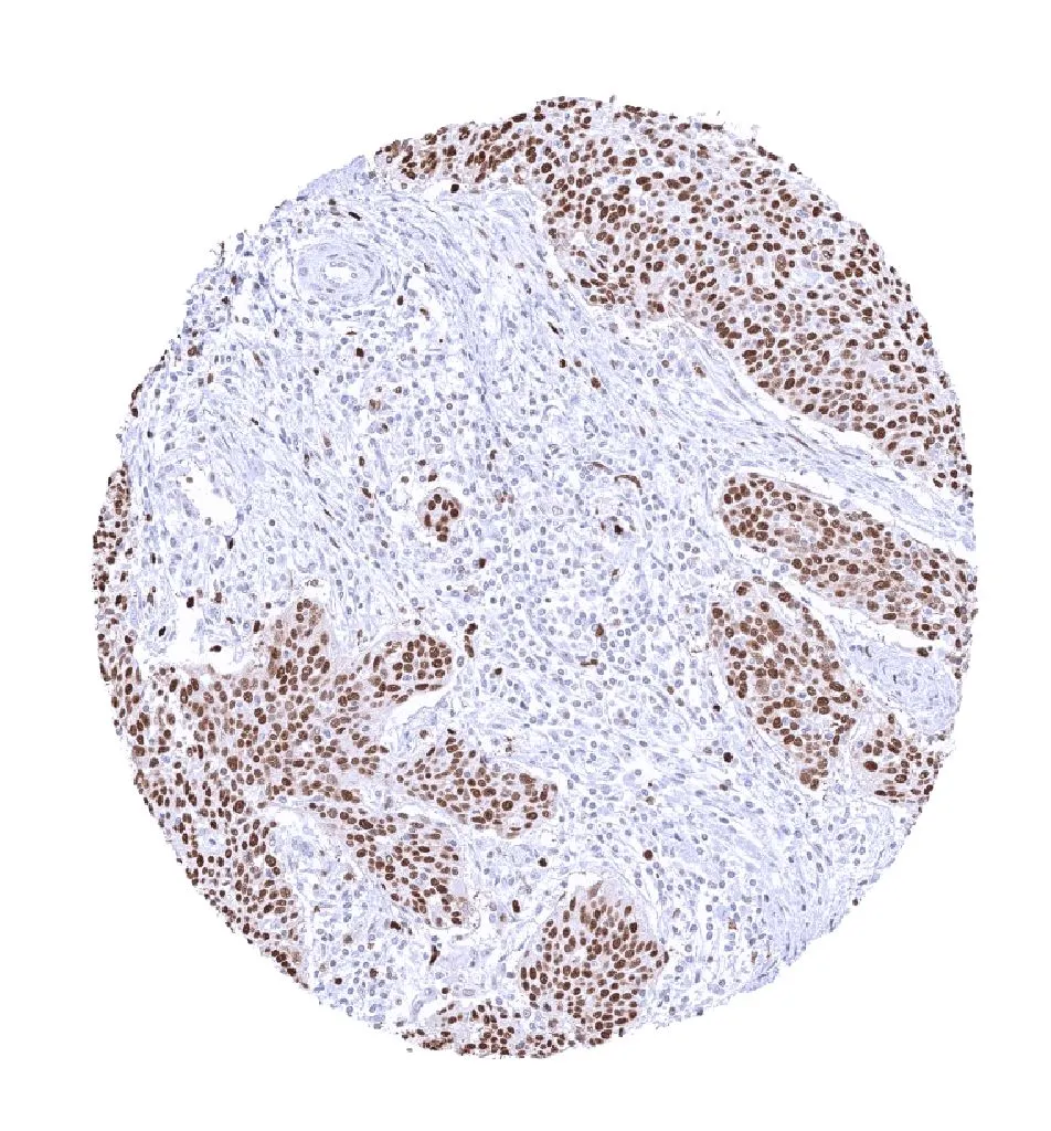
IHC-P analysis of human adenocarcinoma of the uterine cervix tissue using GTX644715 PCNA antibody [HMV4714] HistoMAX™.

3 / 4
Anti-PCNA antibody [HMV4714] HistoMAX™ used in IHC (Paraffin sections) (IHC-P). GTX644715
GTX644715 IHC-P Image

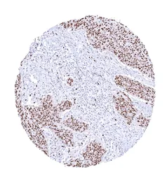
IHC-P analysis of human pT2 urothelial carcinoma of the bladder (UCB) tissue using GTX644715 PCNA antibody [HMV4714] HistoMAX™.

4 / 4
Anti-PCNA antibody [HMV4714] HistoMAX™ used in IHC (Paraffin sections) (IHC-P). GTX644715
Anti-PCNA antibody [HMV4714] HistoMAX™ used in IHC (Paraffin sections) (IHC-P). GTX644715
Anti-PCNA antibody [HMV4714] HistoMAX™ used in IHC (Paraffin sections) (IHC-P). GTX644715
Anti-PCNA antibody [HMV4714] HistoMAX™ used in IHC (Paraffin sections) (IHC-P). GTX644715
  • Host
    Rabbit
  • Clonality
    Monoclonal
  • Clone Name
    HMV4714
  • Isotype
    IgG
  • Applications
    IHC-P
  • Reactivity
    Human
See all PCNA products