RAS (G12D Mutant) antibody [HL10]

Cat. No. GTX635362
Cat. No.  GTX635362
Anti-RAS (G12D Mutant) antibody [HL10] used in IHC (Paraffin sections) (IHC-P). GTX635362
GTX635362 IHC-P Image

RAS (G12D Mutant) antibody [HL10] detects RAS (G12D Mutant) protein by immunohistochemical analysis.
Sample: Paraffin-embedded human wild-type (left) and KRAS G12D mutant (right) pancreatic tumor.
RAS (G12D Mutant) stained by RAS (G12D Mutant) antibody [HL10] (GTX635362) diluted at 1:50.

1 / 6
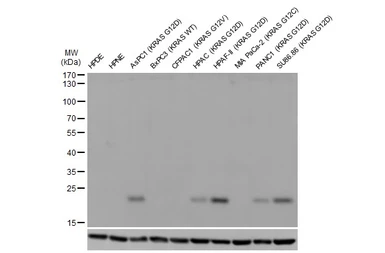
Anti-RAS (G12D Mutant) antibody [HL10] used in Western Blot (WB). GTX635362
GTX635362 WB Image

Various whole cell extracts were separated by SDS-PAGE, and the membrane was blotted with RAS (G12D Mutant) antibody [HL10] (GTX635362) diluted at 1:1000.

2 / 6
Anti-RAS (G12D Mutant) antibody [HL10] used in Western Blot (WB). GTX635362
GTX635362 WB Image

Non-transfected (–) and transfected (+) 293T whole cell extracts (30 μg) were separated by 12% SDS-PAGE, and the membrane was blotted with RAS (G12D Mutant) antibody [HL10] (GTX635362) diluted at 1:3500. The HRP-conjugated anti-rabbit IgG antibody (GTX213110-01) was used to detect the primary antibody.

3 / 6
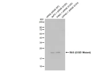
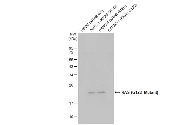
Anti-RAS (G12D Mutant) antibody [HL10] used in Western Blot (WB). GTX635362
GTX635362 WB Image

Various whole cell extracts (30 μg) were separated by 12% SDS-PAGE, and the membrane was blotted with RAS (G12D Mutant) antibody [HL10] (GTX635362) diluted at 1:1000. The HRP-conjugated anti-rabbit IgG antibody (GTX213110-01) was used to detect the primary antibody.

4 / 6
Anti-RAS (G12D Mutant) antibody [HL10] used in IHC (Paraffin sections) (IHC-P). GTX635362
GTX635362 IHC-P Image

RAS (G12D Mutant) antibody [HL10] detects RAS (G12D Mutant) protein at by immunohistochemical analysis.
Sample: Paraffin-embedded KPC mouse pancreatic tumor cells implanted in the pancreas of B6 mice (left) and normal mouse pancreas (right).
RAS (G12D Mutant) stained by RAS (G12D Mutant) antibody [HL10] (GTX635362) diluted at 1:75.
Antigen Retrieval: Citrate buffer, pH 6.0, 40 min

5 / 6
Anti-RAS (G12D Mutant) antibody [HL10] used in Western Blot (WB). GTX635362
GTX635362 WB Image

Non-transfected (–) and transfected (+) Various whole cell extracts (30 μg) were separated by 12% SDS-PAGE, and the membrane was blotted with RAS (G12D Mutant) antibody [HL10] (GTX635362) diluted at 1:3000. The HRP-conjugated anti-rabbit IgG antibody (GTX213110-01) was used to detect the primary antibody.

6 / 6
Anti-RAS (G12D Mutant) antibody [HL10] used in IHC (Paraffin sections) (IHC-P). GTX635362
Anti-RAS (G12D Mutant) antibody [HL10] used in Western Blot (WB). GTX635362
Anti-RAS (G12D Mutant) antibody [HL10] used in Western Blot (WB). GTX635362
Anti-RAS (G12D Mutant) antibody [HL10] used in Western Blot (WB). GTX635362
Anti-RAS (G12D Mutant) antibody [HL10] used in IHC (Paraffin sections) (IHC-P). GTX635362
Anti-RAS (G12D Mutant) antibody [HL10] used in Western Blot (WB). GTX635362
  • Host
    Rabbit
  • Clonality
    Monoclonal
  • Clone Name
    HL10
  • Isotype
    IgG
  • Applications
    WB IHC-P
  • Reactivity
    Human, Mouse
Summary
KRAS has the distinction of being a preeminent oncoprotein as it is mutated in more than 85% of RAS-altered cancers. The RAS (G12D Mutant) antibody [HL10] is the first commercially available recombinant antibody that demonstrates exceptional specificity by paraffin-embedded immunohistochemistry and western blot for the RAS G12D mutant protein.
See all RAS products