pan Cytokeratin antibody [HMV4276] HistoMAX™

Cat. No. GTX643512
Cat. No.  GTX643512
Anti-pan Cytokeratin antibody [HMV4276] HistoMAX™ used in IHC (Paraffin sections) (IHC-P). GTX643512
GTX643512 IHC-P Image

IHC-P analysis of human invasive lobular breast cancer (ILC) using GTX643512 pan Cytokeratin antibody [HMV4276] HistoMAX™ .
A strong pan Cytokeratin staining of diffusely growing tumor cells.

1 / 4
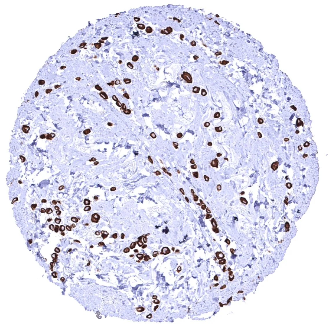
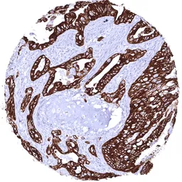
Anti-pan Cytokeratin antibody [HMV4276] HistoMAX™ used in IHC (Paraffin sections) (IHC-P). GTX643512
GTX643512 IHC-P Image

IHC-P analysis of human lung adenocarcinoma using GTX643512 pan Cytokeratin antibody [HMV4276] HistoMAX™ .
A strong pan Cytokeratin immunostaining of tumor cells.

2 / 4
Anti-pan Cytokeratin antibody [HMV4276] HistoMAX™ used in IHC (Paraffin sections) (IHC-P). GTX643512
GTX643512 IHC-P Image

IHC-P analysis of human kidney using GTX643512 pan Cytokeratin antibody [HMV4276] HistoMAX™ .
A strong pan Cytokeratin positivity of tubular and collecting duct cells while glomeruli remain pan Cytokeratin negative.

3 / 4
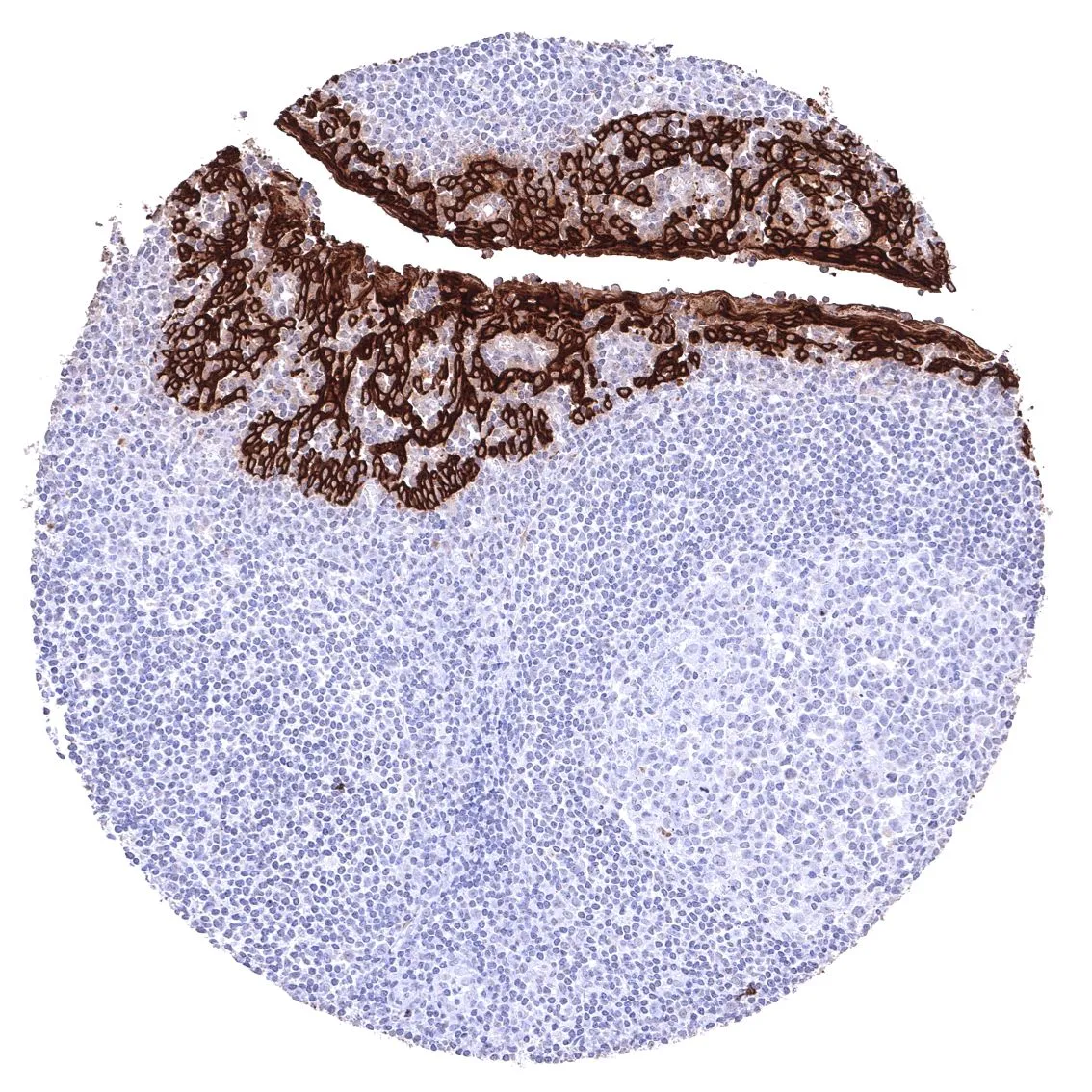
Anti-pan Cytokeratin antibody [HMV4276] HistoMAX™ used in IHC (Paraffin sections) (IHC-P). GTX643512
GTX643512 IHC-P Image

IHC-P analysis of human tonsil using GTX643512 pan Cytokeratin antibody [HMV4276] HistoMAX™ .
A strong pan Cytokeratin staining of the squamous epithelium while lymphocytes remain negative.

4 / 4
Anti-pan Cytokeratin antibody [HMV4276] HistoMAX™ used in IHC (Paraffin sections) (IHC-P). GTX643512
Anti-pan Cytokeratin antibody [HMV4276] HistoMAX™ used in IHC (Paraffin sections) (IHC-P). GTX643512
Anti-pan Cytokeratin antibody [HMV4276] HistoMAX™ used in IHC (Paraffin sections) (IHC-P). GTX643512
Anti-pan Cytokeratin antibody [HMV4276] HistoMAX™ used in IHC (Paraffin sections) (IHC-P). GTX643512
  • Host
    Rabbit
  • Clonality
    Monoclonal
  • Clone Name
    HMV4276
  • Isotype
    IgG
  • Applications
    IHC-P
  • Reactivity
    Human
See all pan Cytokeratin products