Cancer Tissue Gallery- GTX04969

Cyclin E1 antibody [MSVA-898R] HistoMAX™

 

Go to Normal Tissue Gallery
  
 Go back to product page
  

Go to HistoMAX page

 

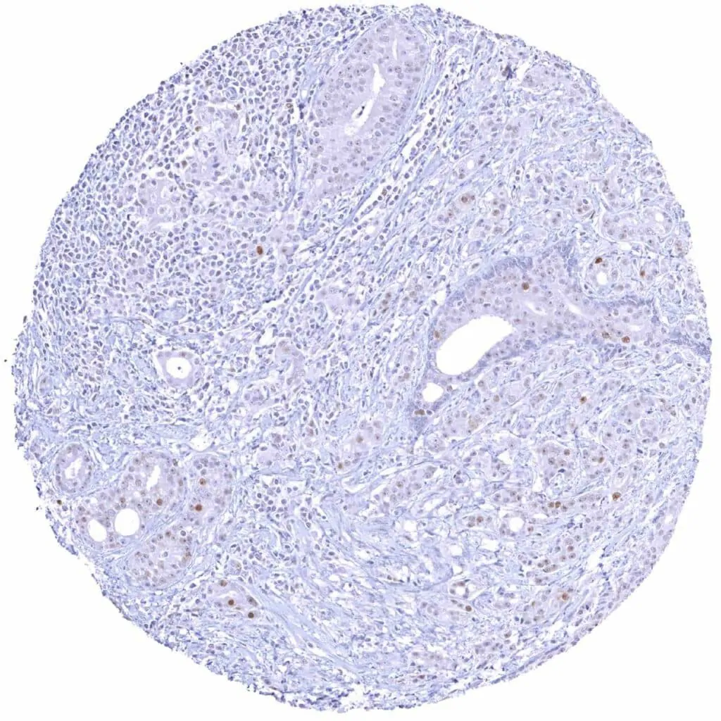
Breast – Invasive breast cancer of no special type (NST) with faint Cyclin E1 immunostaining of few tumor cells

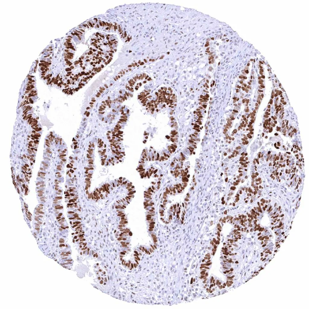
Colon – Colorectal adenocarcinoma with moderate Cyclin E1 positivity of most tumor cells

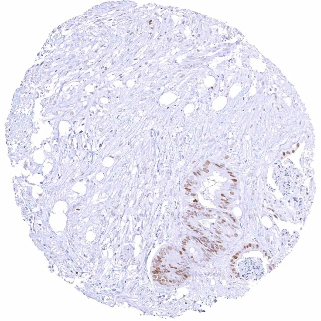
Colon – Colorectal adenocarcinoma with mucinous features and a moderate to strong Cyclin E1 staining of only very few tumor cells

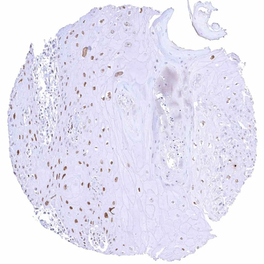
Esophagus – Adenocarcinoma (signet cell type) with strong Cyclin E1 staining of most tumor cells

       

Esophagus – Adenocarcinoma with strong Cyclin E1 staining of most tumor cells

Esophagus – Squamous cell carcinoma with weak to moderate Cyclin E1 staining of tumor cells

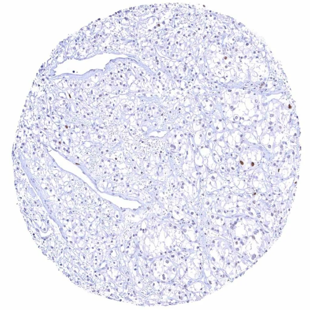
Kidney – Clear cell renal cell carcinoma showing a moderate Cyclin E1 staining of only very few tumor cells

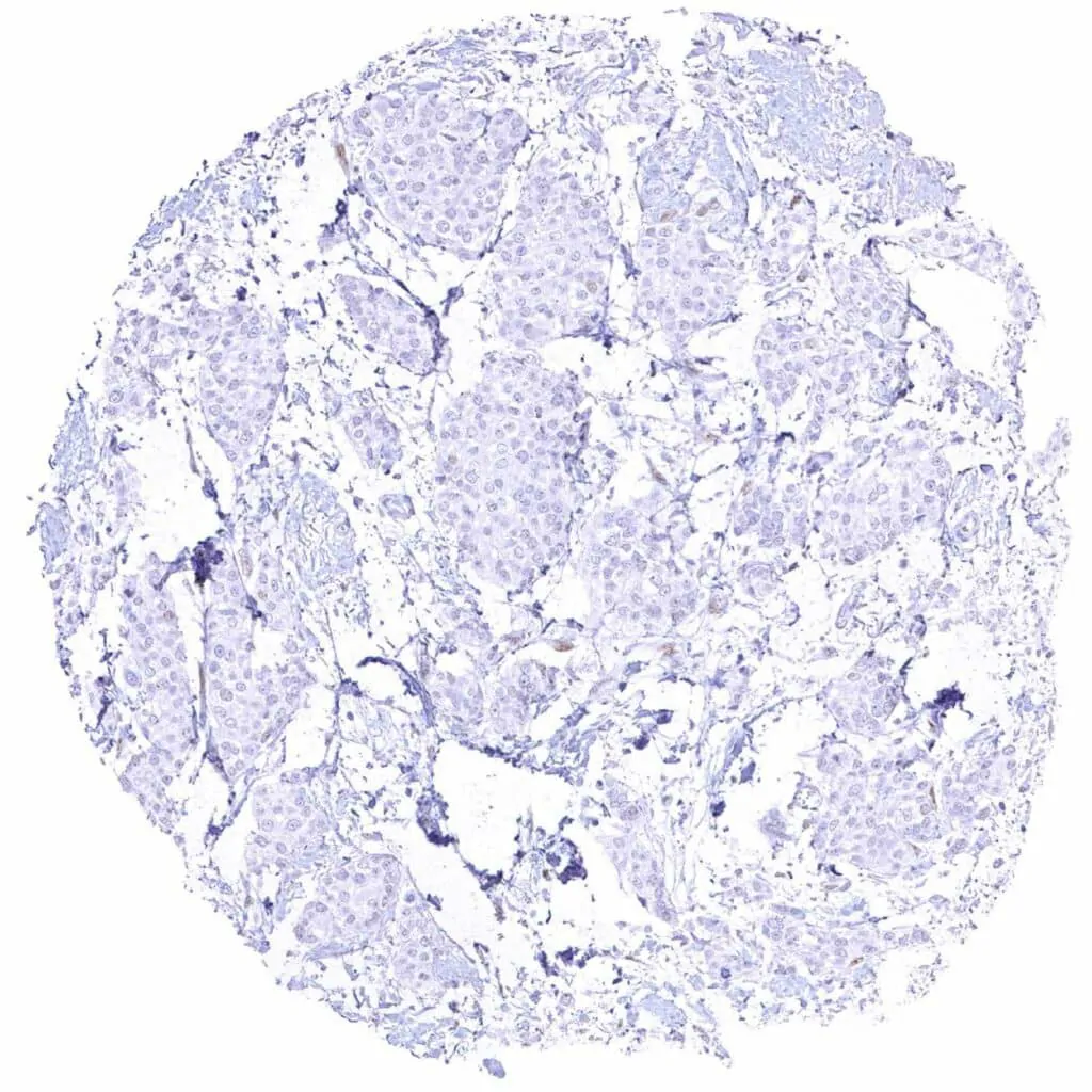
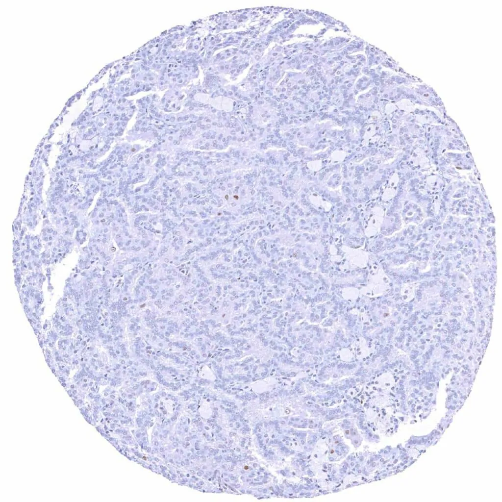
Kidney – Cyclin E1 negative clear cell carcinoma

       

Kidney – Oncocytoma with moderate Cyclin E1 staining of few tumor cells

Kidney – Papillary renal cell carcinoma with a moderate Cyclin E1 staining of only few tumor cells

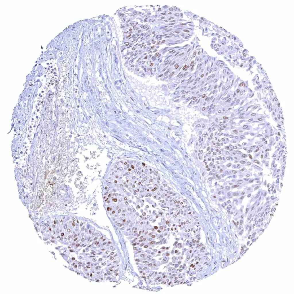
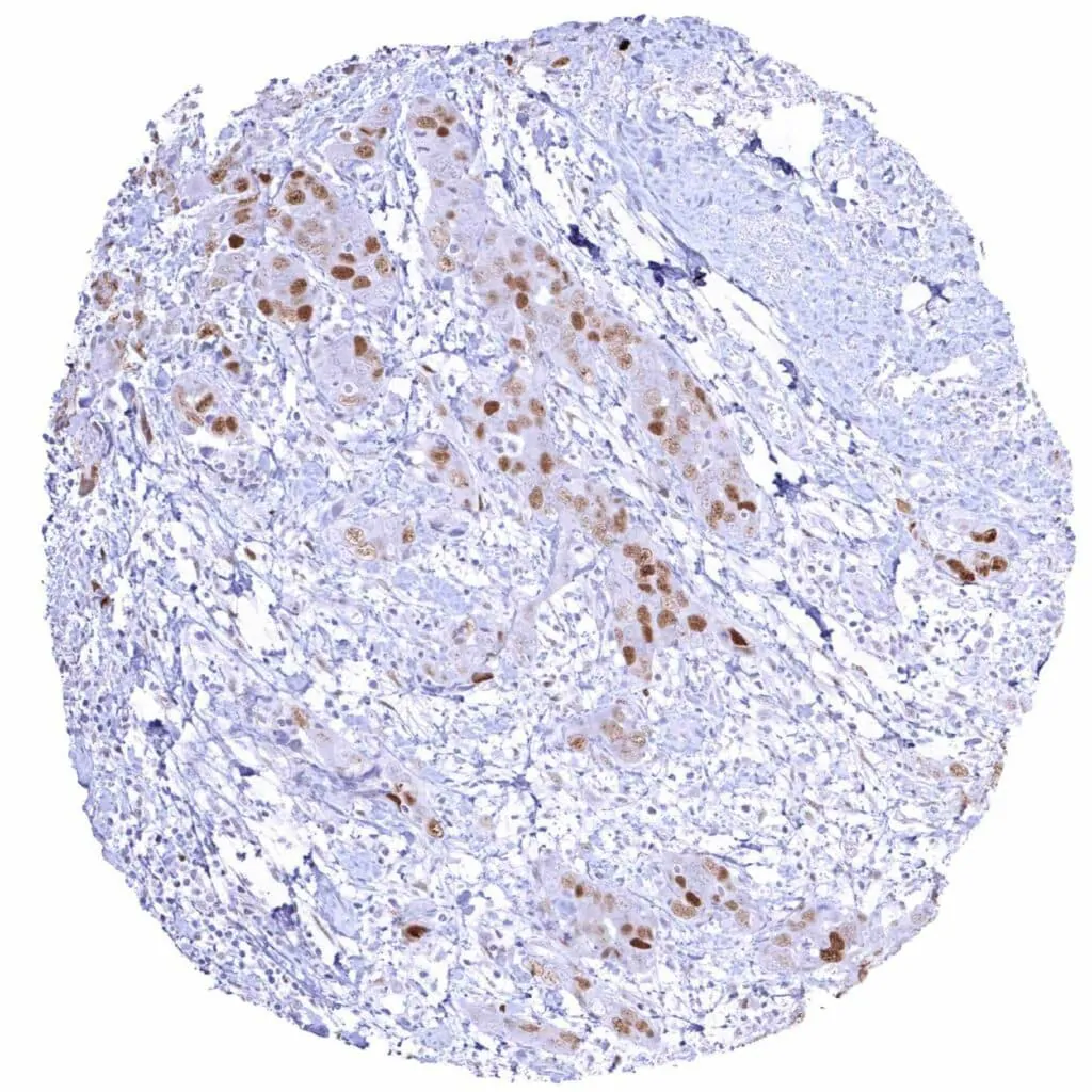
Oral cavity – Squamous cell carcinoma showing a moderate to strong Cyclin E1 immunostaining of most tumor cells

Oral cavity – Squamous cell carcinoma with faint Cyclin E1 staining of few tumor cells

       

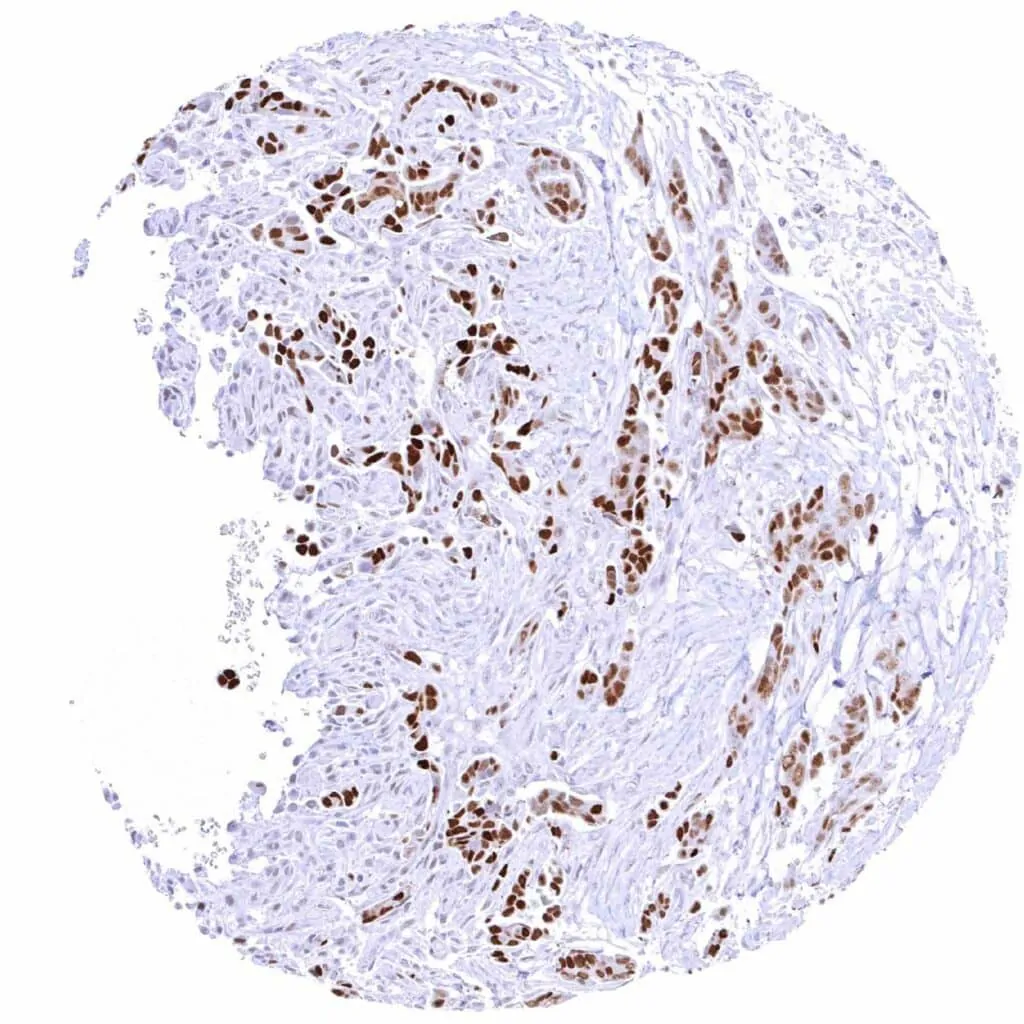
Ovary – Clear cell carcinoma with strong Cyclin E1 staining of all tumor cells

Ovary – Endometroid carcinoma with strong Cyclin E1 positivity of most tumor cells

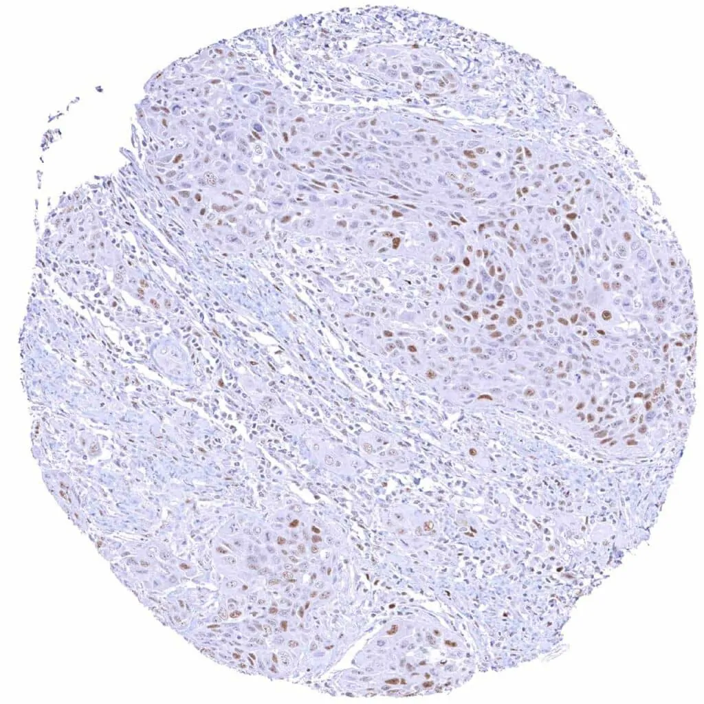
Ovary – Serous high-grade carcinoma showing a moderate to strong Cyclin E1 staining of most tumor cells

Pharynx – Squamous cell carcinoma with a weak to moderate Cyclin E1 staining of a subset of tumor cells

       

Prostate – Adenocarcinoma (Gleason 3+3=6) showing a weak Cyclin E1 positivity of a small fraction of tumor cells

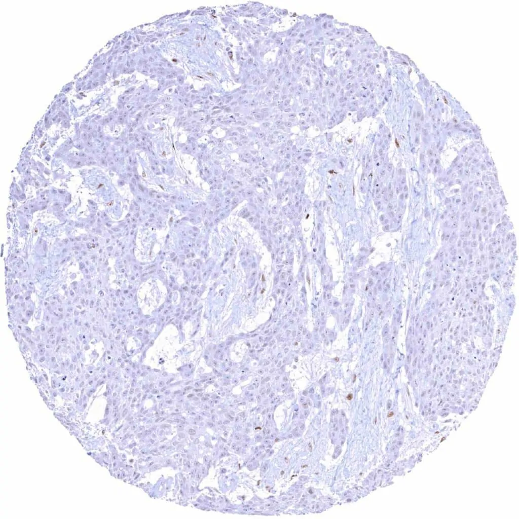
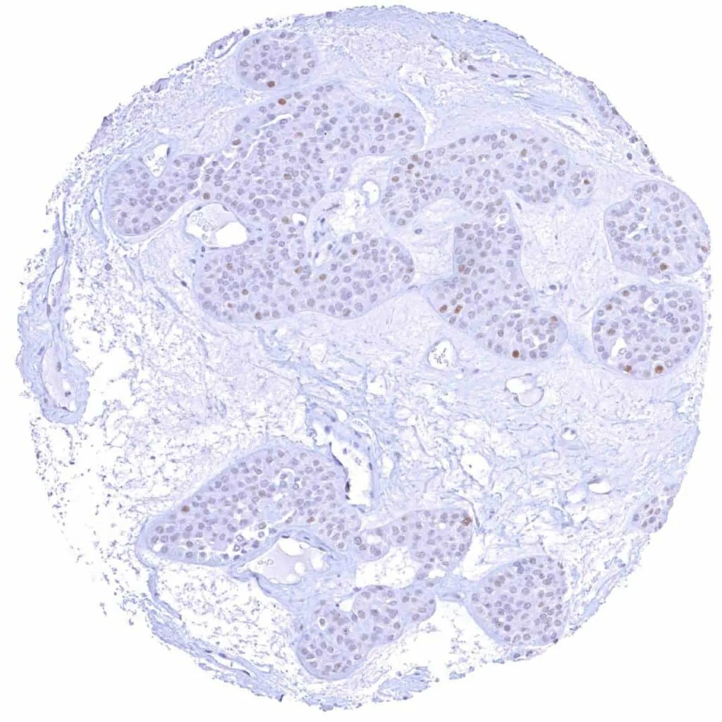
Prostate – Cyclin E1 negative adenocarcinoma (Gleason 3+3=6)

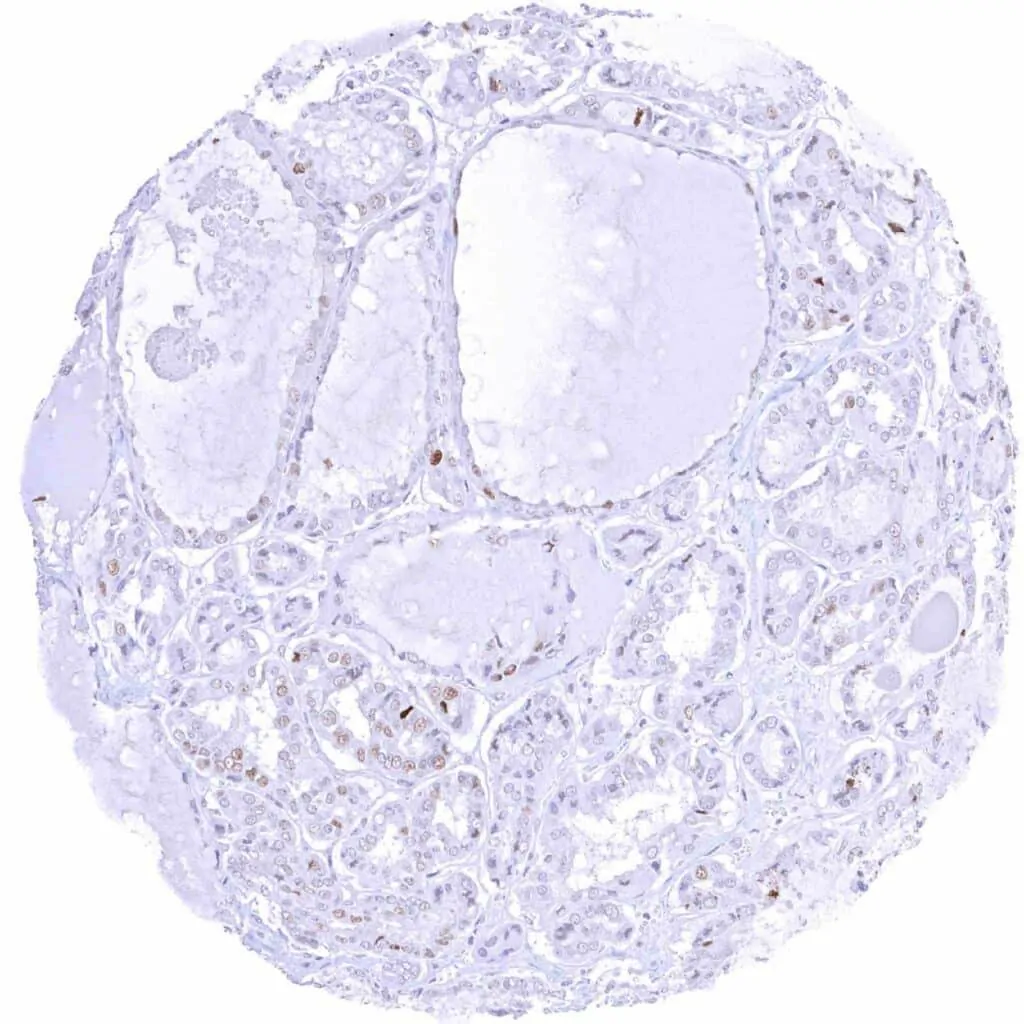
Thyroid – Papillary cancer with a weak to moderate Cyclin E1 immunostaining of a fraction of tumor cells

Urinary bladder – Muscle-invasive urothelial carcinoma (pT2-4) with a moderate to strong Cyclin E1 positivity of a large fraction of tumor cells

       

Urinary bladder – Non-invasive urothelial carcinoma (low grade, pTaG2) with a low to moderate Cyclin E1 staining of tumor cells

Urinary bladder – Non-invasive urothelial carcinoma (low grade, pTaG2) with faint Cyclin E1 staining of few tumor cells

   

 

| TOP |