Cancer Tissue Gallery- GTX642299

GPM6A antibody [HMV3973] HistoMAX™

 

Go to Normal Tissue Gallery
  
 Go back to product page
  

Go to HistoMAX page

 

Adrenal gland – GPM6A negative adrenocortical adenoma.

Adrenal gland – GPM6A negative pheochromocytoma.

Anal canal – GPM6A negative squamous cell carcinoma.

Breast – GPM6A negative invasive breast cancer of no special type (NST).

       

Breast – GPM6A negative invasive lobular breast cancer.

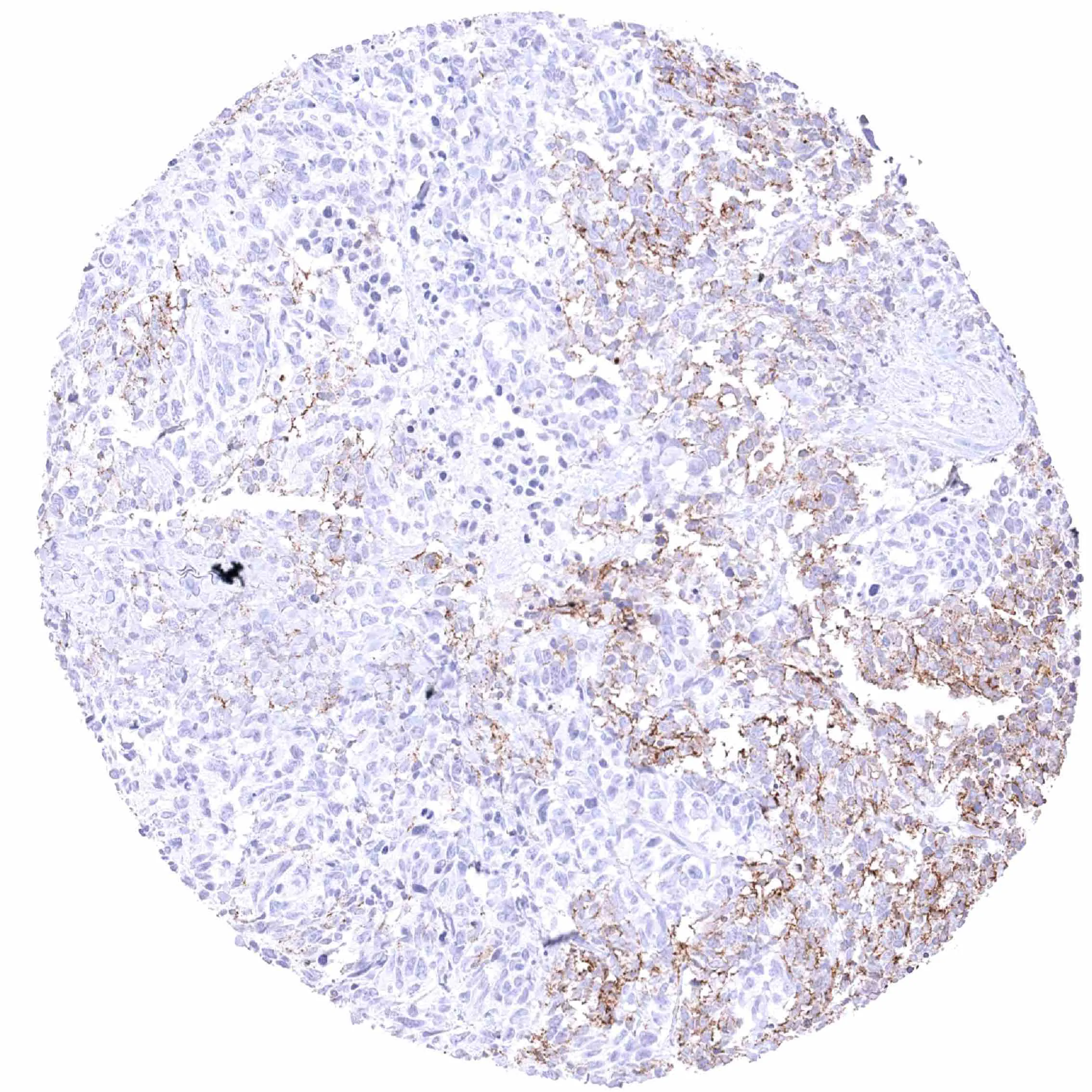
Cerebrum – Glioblastoma multiforme exhibiting a diffuse GPM6A staining.

Cerebrum – Glioblastoma multiforme with strong GPM6A staining of tumor cells.

Colon – GPM6A negative colorectal adenocarcinoma.

       

Esophagus – GPM6A negative adenocarcinoma.

Esophagus – GPM6A negative squamous cell carcinoma.

Ileum – Neuroendocrine tumor with strong membranous GPM6A staining of most tumor cells.

Kidney – GPM6A negative clear cell carcinoma.

       

Kidney – GPM6A negative papillary renal cell carcinoma.

Liver – GPM6A negative cholangiocellular carcinoma.

Liver – GPM6A negative hepatocellular carcinoma.

Lymph node – B-CLL with weak to strong membranous GPM6A positivity of at least a large subset tumor cells.

       

Lymph node – Diffuse large B-cell lymphoma with moderate to strong GPM6A staining of most tumor cells.

Oral cavity – GPM6A negative squamous cell carcinoma.

Ovary – GPM6A negative clear cell carcinoma.

Ovary – GPM6A negative endometroid carcinoma.

       

Ovary – GPM6A negative serous high-grade carcinoma.

Pancreas – GPM6A negative ductal adenocarcinoma.

Pancreas – GPM6A negative neuroendocrine tumor.

Penis – GPM6A negative squamous cell carcinoma.

       

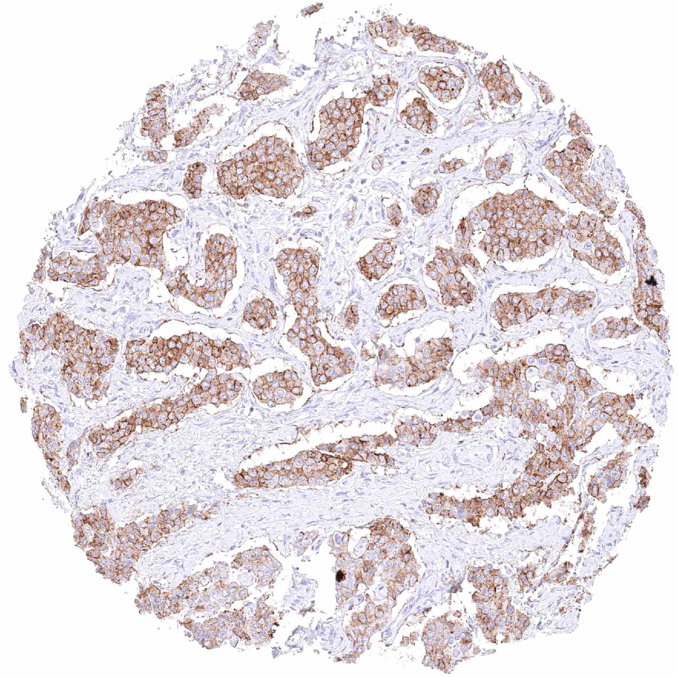
Prostate – Adenocarcinoma (Gleason 5+5=10) with strong membranous GPM6A staining of all tumor cells.

Prostate – GPM6A negative adenocarcinoma (Gleason 3+3=6).

Salivary gland – GPM6A negative Warthin tumor.

Skin – GPM6A negative malignant melanoma.

       

Soft tissue – GPM6A negative leiomyosarcoma.

Stomach – GPM6A negative gastric adenocarcinoma (diffuse type).

Stomach – GPM6A negative gastric adenocarcinoma.

Stomach – GPM6A negative gastrointestinal stromal tumor (GIST).

       

Testis – GPM6A negative seminoma.

Urinary bladder – GPM6A negative muscle-invasive urothelial carcinoma.

Urinary bladder – Muscle-invasive urothelial carcinoma with membranous GPM6A staining of most tumor cells (variable staining intensity).

     

 

| TOP |