Cancer Tissue Gallery- GTX640918

SOX2 antibody [HMV338] HistoMAX™

 

Go to Normal Tissue Gallery
  
 Go back to product page
  

Go to HistoMAX page

 

Adrenal gland – SOX2 negative adrenocortical adenoma.

Adrenal gland – SOX2 negative pheochromocytoma.

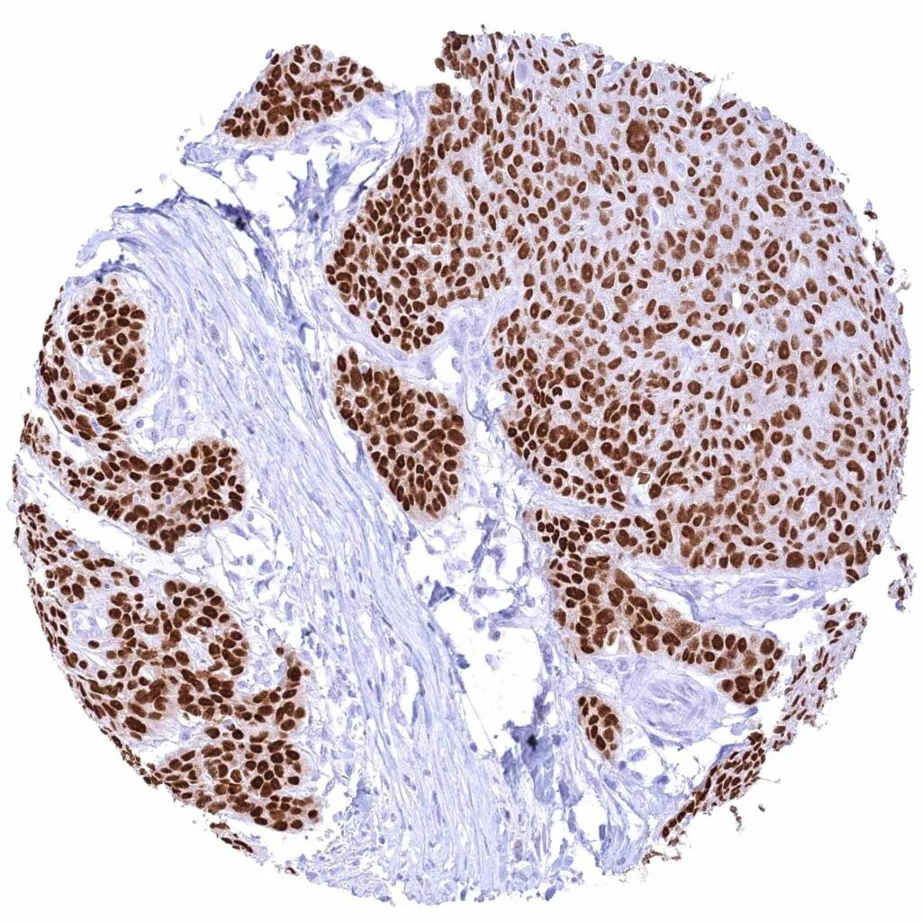
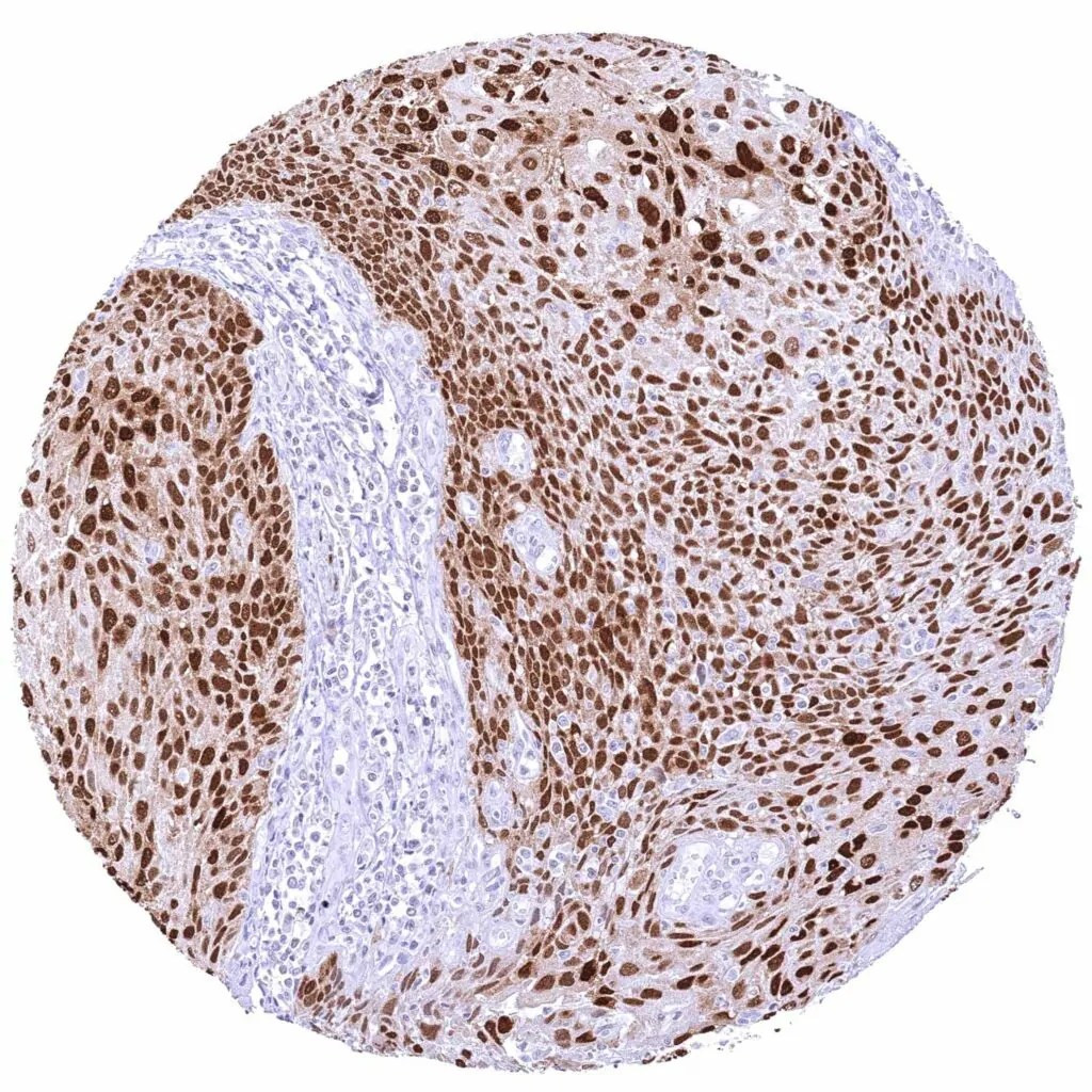
Anal canal – Squamous cell carcinoma with strong SOX2 staining of tumor cells.

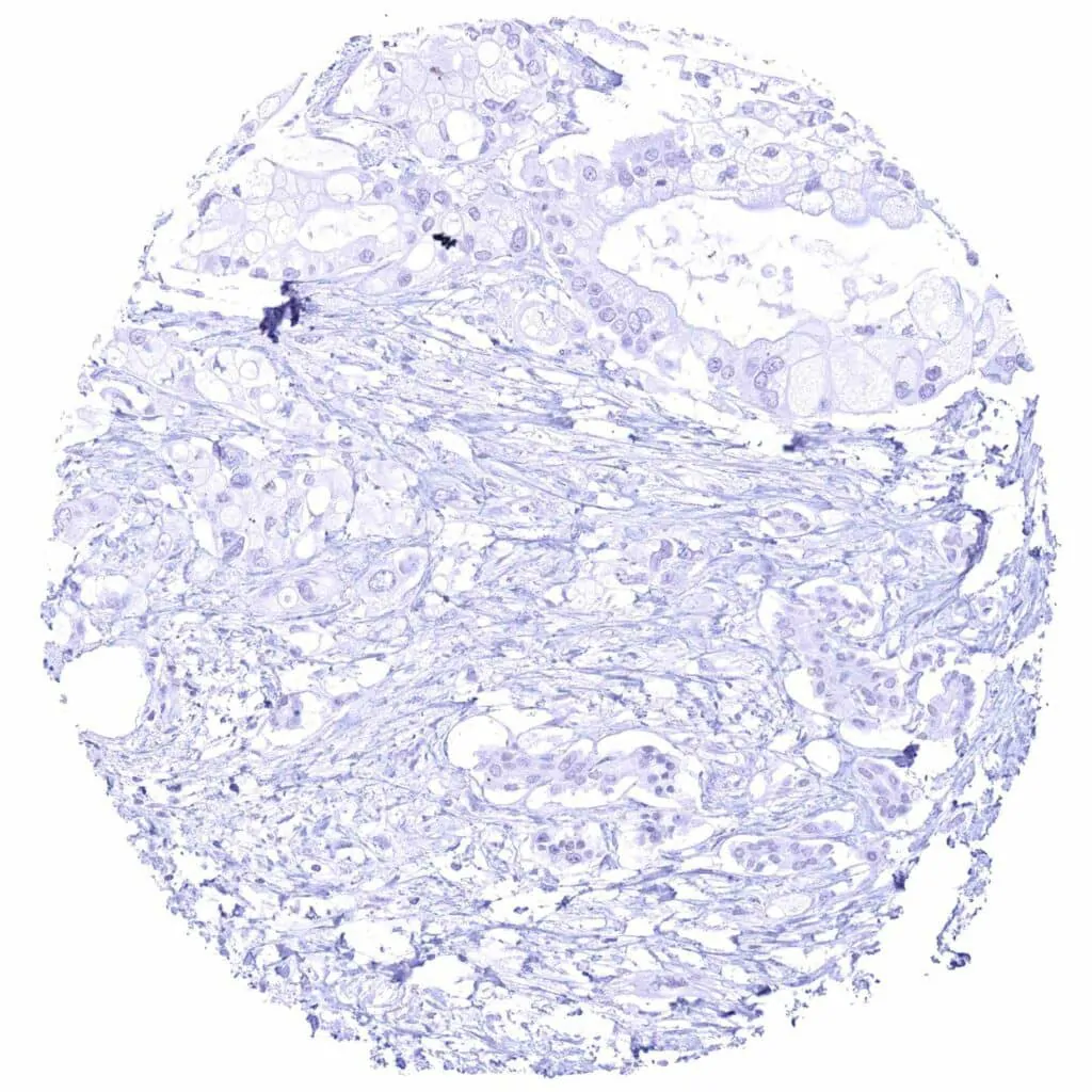
Breast – SOX2 negative invasive breast cancer of no special type (NST).

       

Breast – SOX2 negative invasive lobular breast cancer.

Breast – SOX2 negative invasive lobular breast cancer.

Colon – SOX2 negative colorectal adenocarcinoma.

Esophagus – Neuroendocrine carcinoma with strong SOX2 immunostaining of tumor cells.

       

Esophagus – SOX2 negative adenocarcinoma.

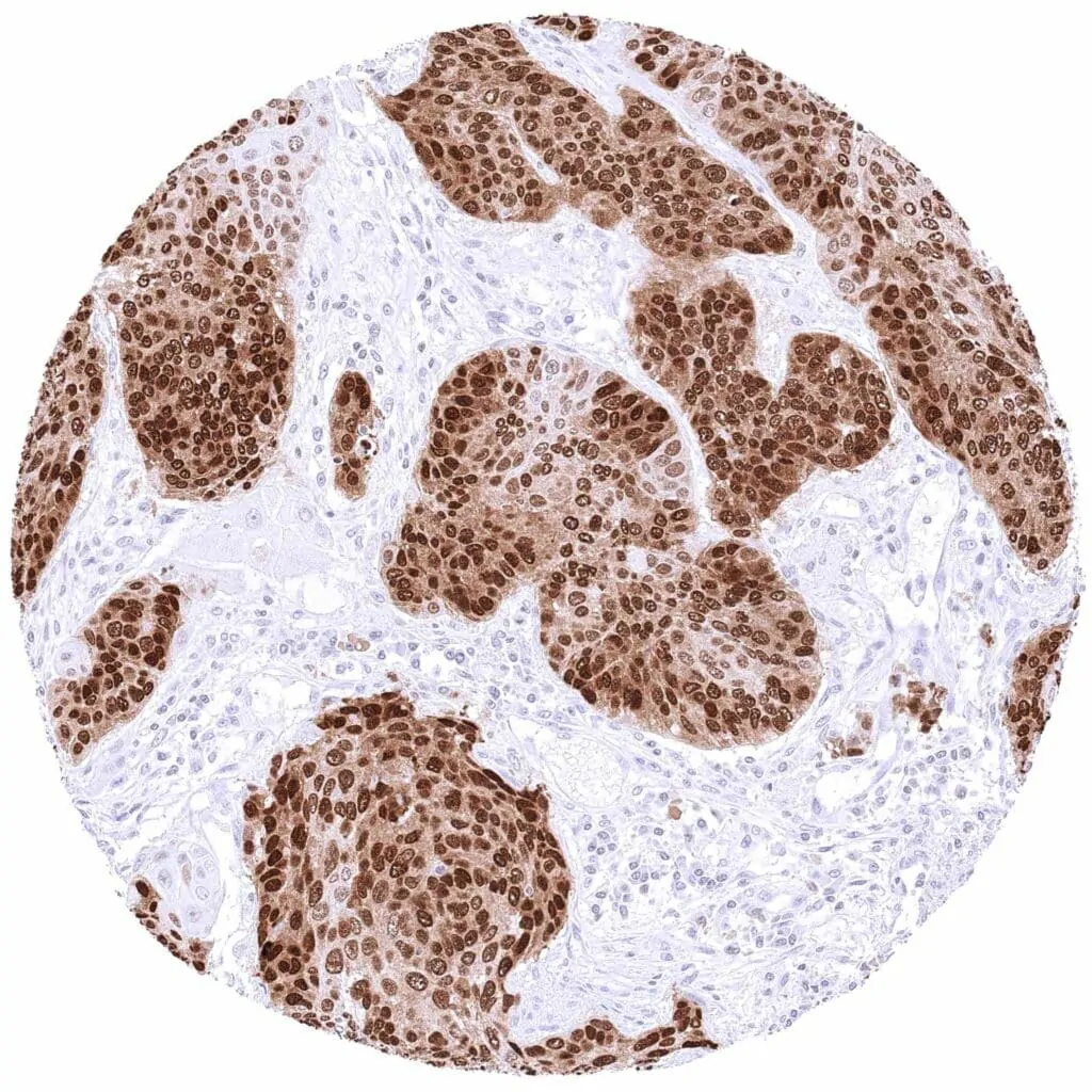
Esophagus – Squamous cell carcinoma with strong SOX2 positivity of tumor cells.

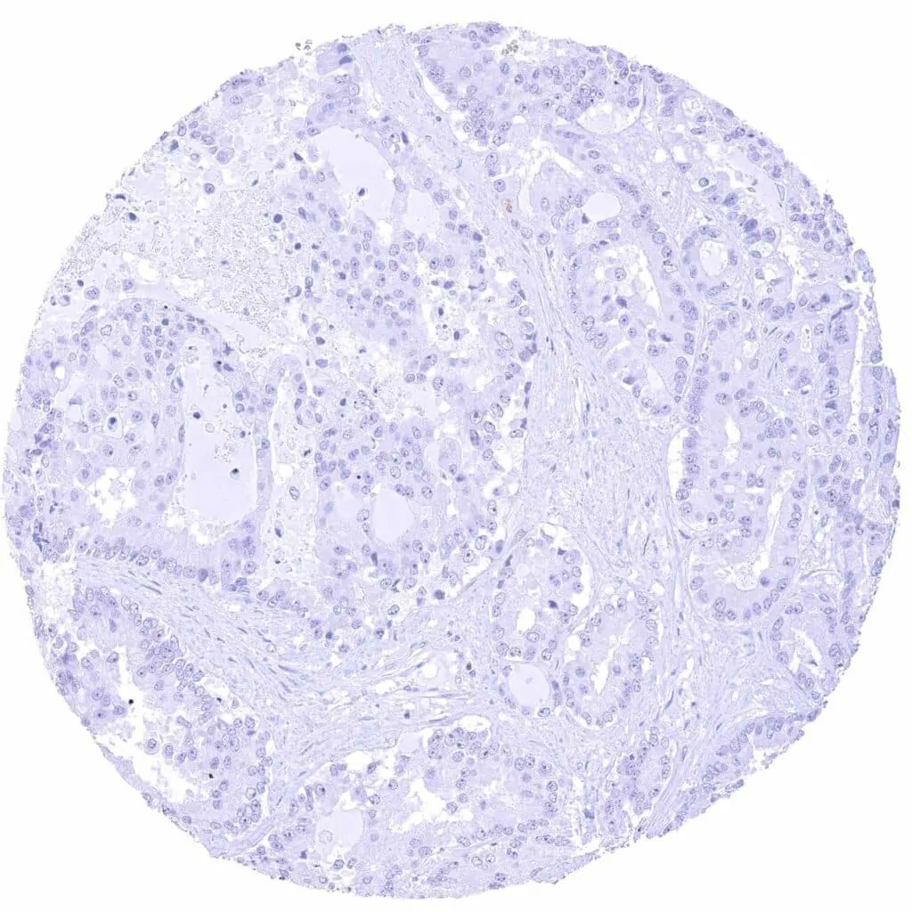
Kidney – SOX2 negative papillary renal cell carcinoma.

Larynx – Squamous cell carcinoma with strong SOX2 immunostaining of tumor cells.

       

Liver – SOX2 negative cholangiocellular carcinoma.

Liver – SOX2 negative hepatocellular carcinoma.

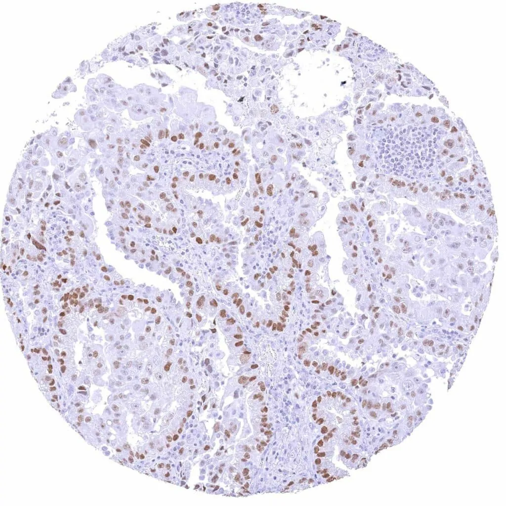
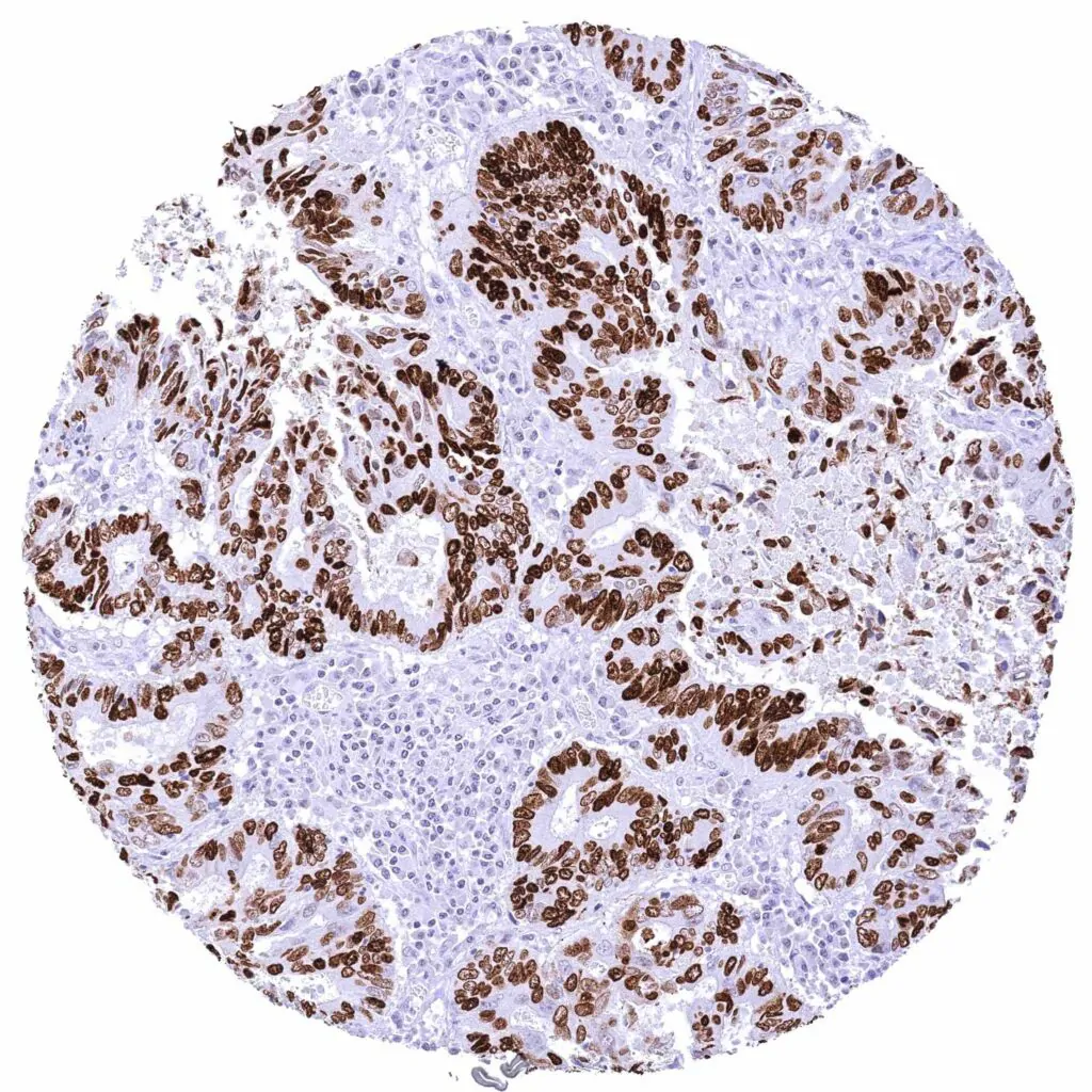
Lung – Adenocarcinoma with moderate to strong SOX2 staining of most tumor cells.

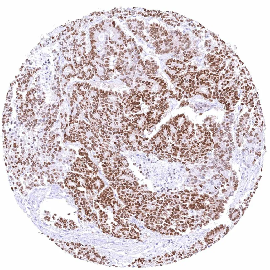
Lung – Squamous cell carcinoma with strong SOX2 staining of tumor cells.

       

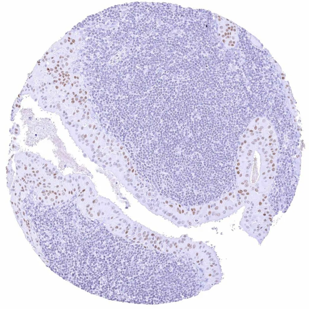
Lymph node – SOX2 negative B-CLL.

Lymph node – SOX2 negative diffuse large B-cell lymphoma.

Ovary – Serous high-grade carcinoma with weak to moderate SOX2 positivity of a large subset of tumor cells.

Ovary – SOX2 negative clear cell carcinoma.

       

Ovary – SOX2 negative clear cell carcinoma.

Ovary – SOX2 negative clear cell carcinoma.

Pancreas – Neuroendocrine tumor with strong SOX2 staining of all tumor cells.

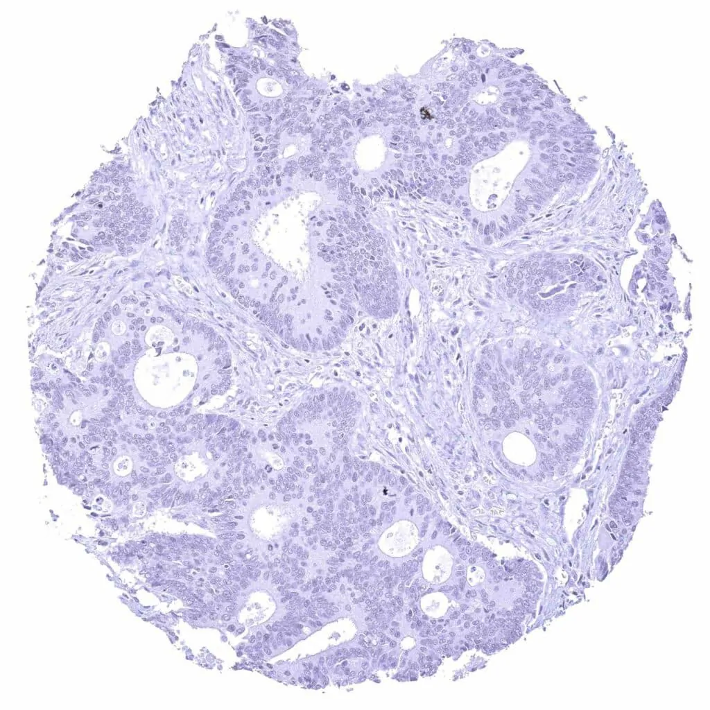
Pancreas – SOX2 negative ductal adenocarcinoma.

       

Pancreas – SOX2 negative neuroendocrine tumor.

Penis – Squamous cell carcinoma with faint SOX2 staining of few tumor cells.

Prostate – Small cell carcinoma with strong SOX2 immunostaining of tumor cells.

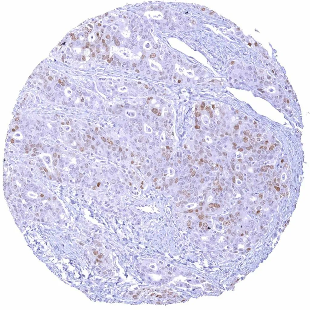
Prostate – SOX2 negative adenocarcinoma (Gleason 4+4=8).

       

Prostate – SOX2 negative adenocarcinoma (Gleason 5+5=10).

Salivary gland – Warthin tumor with weak to moderate SOX2 staining of a large fraction of tumor cells.

Soft tissue – Primitive neuroektodermal tumor (PNET) with strong SOX2 positivity of tumor cells.

Soft tissue – Rhabdoid tumor with strong SOX2 positivity of tumor cells.

       

Stomach – Gastric adenocarcinoma (intestinal type) with SOX2 positivity of few tumor cells.

Stomach – SOX2 negative gastric adenocarcinoma (diffuse type).

Stomach – SOX2 negative gastrointestinal stromal tumor (GIST).

Testis – Embryonal carcinoma with strong SOX2 immunostaining of all tumor cells.

       

Testis – SOX2 negative seminoma.

Urinary bladder – Muscle-invasive urothelial carcinoma with distinc SOX2 staining of tumor cells.

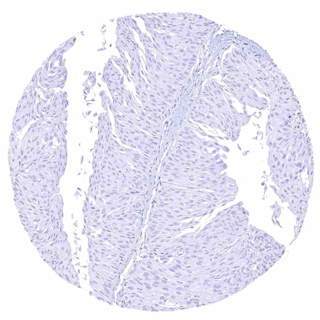
Urinary bladder – SOX2 negative non-invasive papillary urothelial carcinoma (pTa).

     

 

| TOP |