Cancer Tissue Gallery- GTX04966

TLE1 antibody [MSVA-856R] HistoMAX™

 

Go to Normal Tissue Gallery
  
 Go back to product page
  

Go to HistoMAX page

 

Breast – Invasive breast cancer of no special type (NST) with faint TLE1 staining of few tumor cells

Breast – Invasive breast cancer of no special type (NST) with weak to moderate TLE1 staining of a fraction of tumor cells

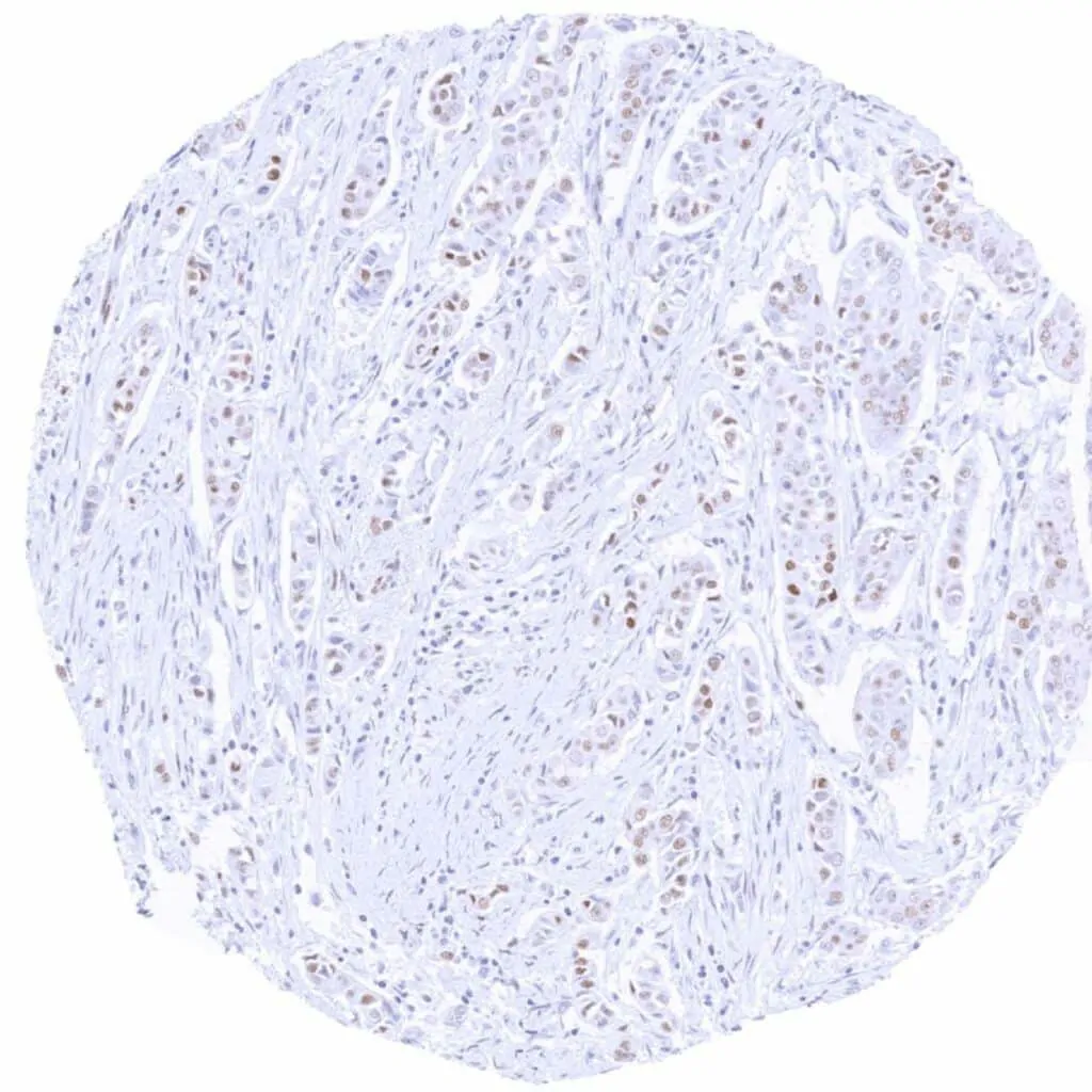
Breast – Invasive breast cancer of no special type (NST) with weak to moderate TLE1 staining of tumor cells

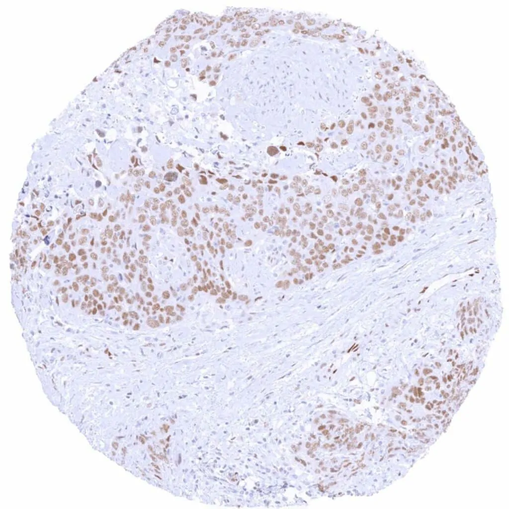
Breast – Invasive lobular breast cancer with strong TLE1 staining of all tumor cells

       

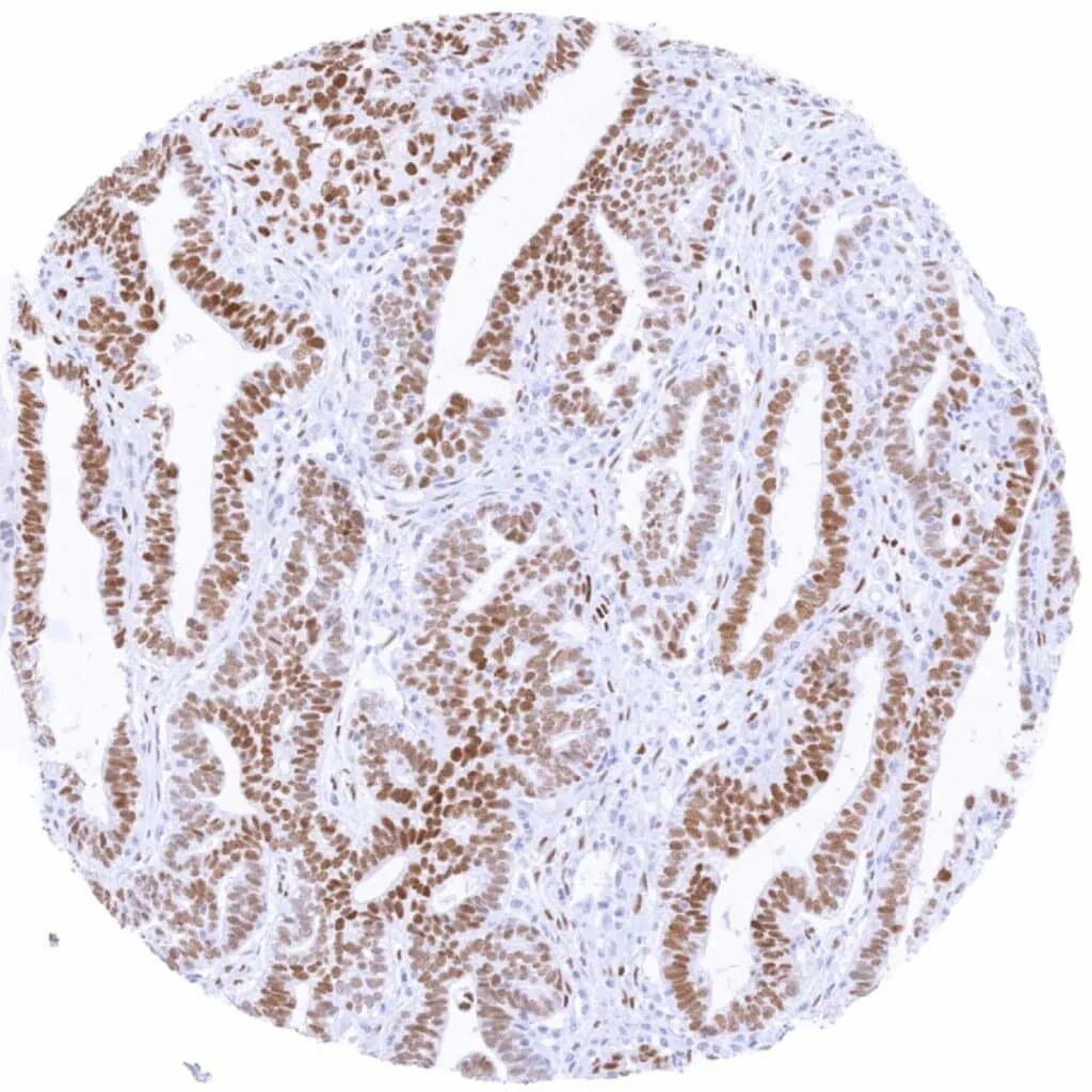
Colon – Colorectal adenocarcinoma with moderate TLE1 staining of tumor cells

Colon – Colorectal adenocarcinoma with weak to moderate TLE1 positivity of tumor cells

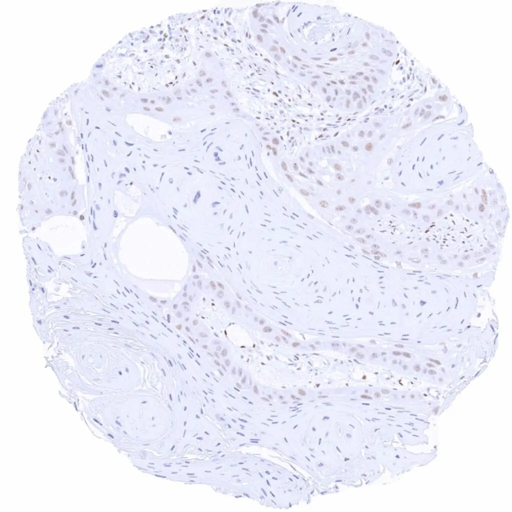
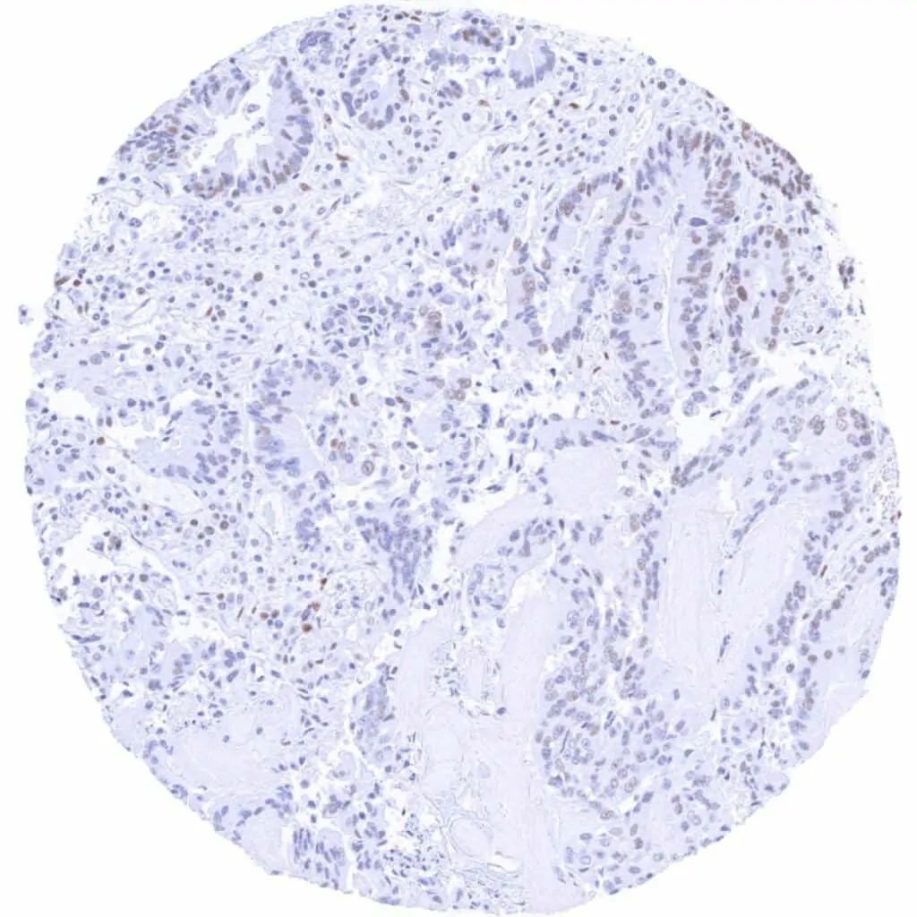
Esophagus – Adenocarcinoma with faint TLE1 immunostaining of few tumor cells

Esophagus – Squamous cell carcinoma with variable, weak to strong TLE1 staining of tumor cells

       

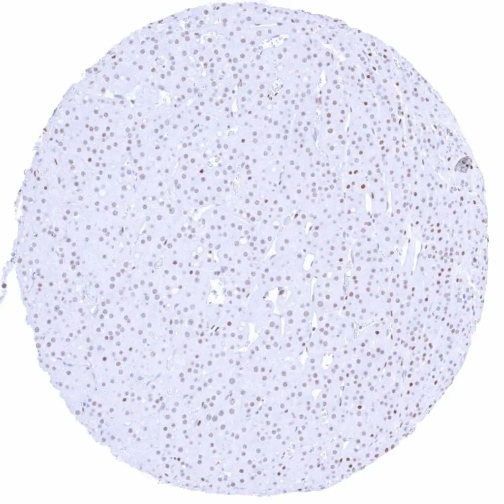
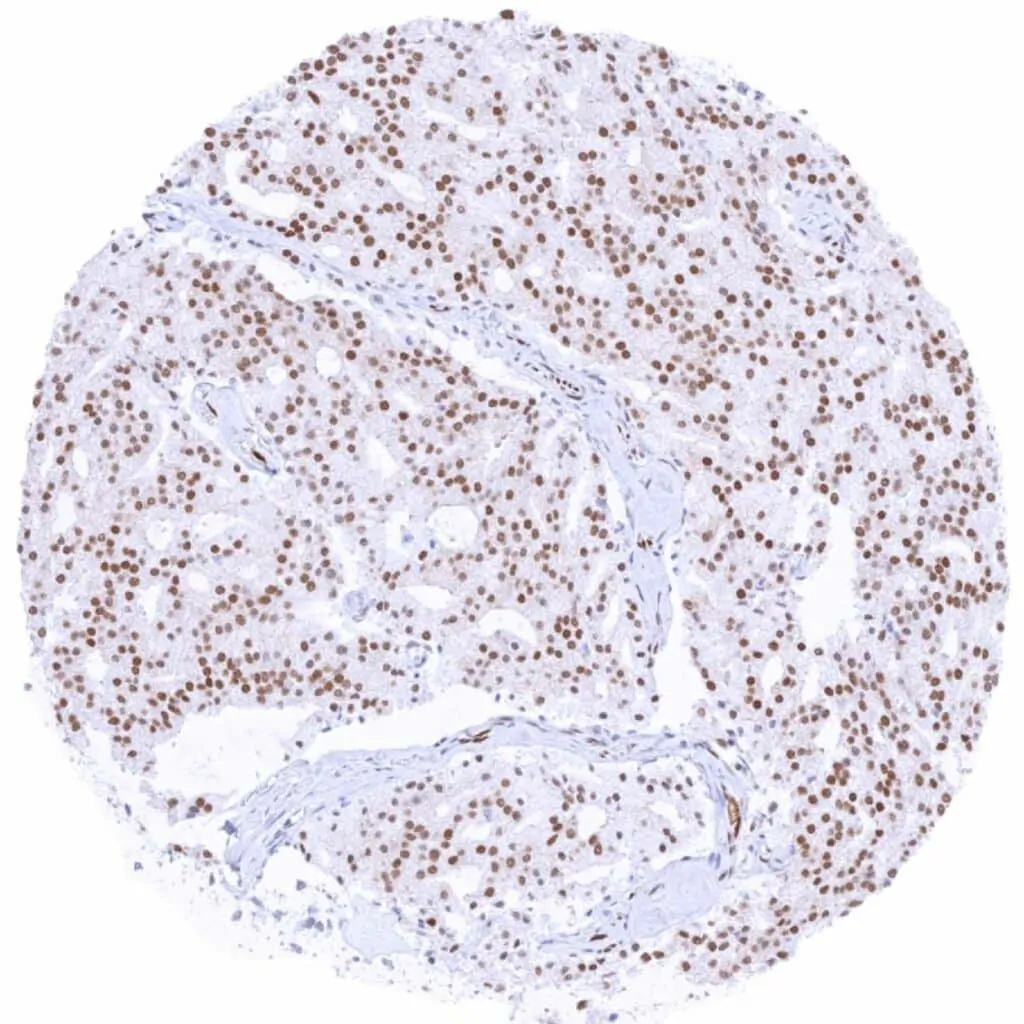
Kidney – Oncocytoma with faint TLE1 immunostaining of most tumor cells

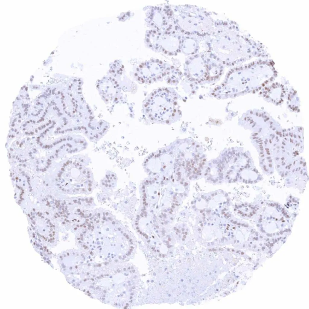
Kidney – Papillary renal cell carcinoma with weak TLE1 staining of most tumor cells

Kidney – TLE1 negative clear cell carcinoma. TLE1 staining is prominent in tumor-associated endothelial cells

Oral cavity – Squamous cell carcinoma with strong TLE1 immunostaining of tumor cells

       

Ovary – Clear cell carcinoma with strong TLE1 immunostaining of tumor cells

Ovary – Endometroid carcinoma with strong TLE1 immunostaining of tumor cells

Ovary – Serous high-grade carcinoma with faint TLE1 staining of a small subset of tumor cells

Pharynx – Squamous cell carcinoma with moderate to strong TLE1 staining of most tumor cells

       

Pharynx – Squamous cell carcinoma with weak TLE1 positivity of a fraction of tumor cells

Prostate – Adenocarcinoma (Gleason 3+3=6) with weak TLE1 immunostaining of tumor cells. Tumor cell staining is weaker than in adjacent normal acinar cells

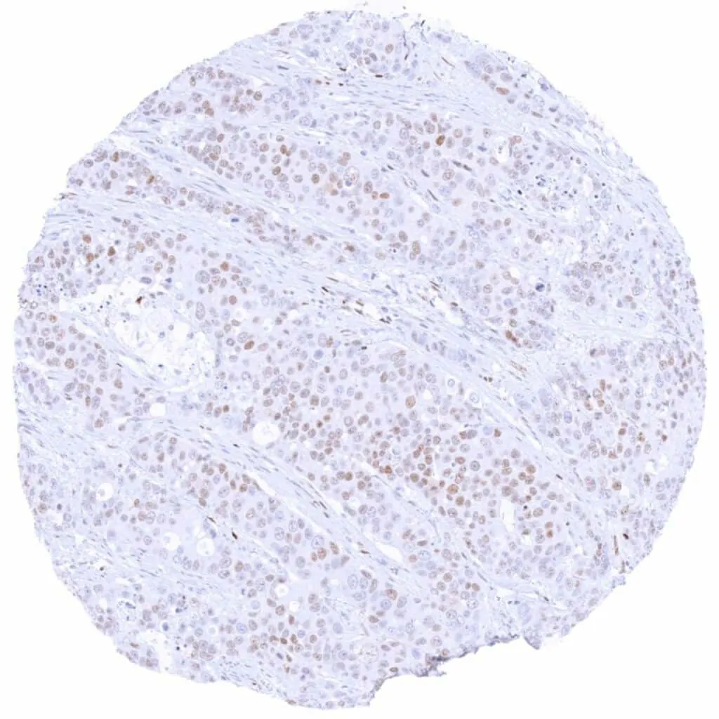
Prostate – Adenocarcinoma (Gleason 4+4=8) with moderate to strong TLE1 immunostaining of tumor cells

Soft tissue – Synovial sarcoma with strong TLE1 immunostaining of tumor cells

       

Soft tissue – Synovial sarcoma with strong TLE1 positivity of all tumor cells

Soft tissue – Synovial sarcoma with strong TLE1 staining of tumor cells

Soft tissue –Synovial sarcoma exhibiting strong TLE1 staining of tumor cells

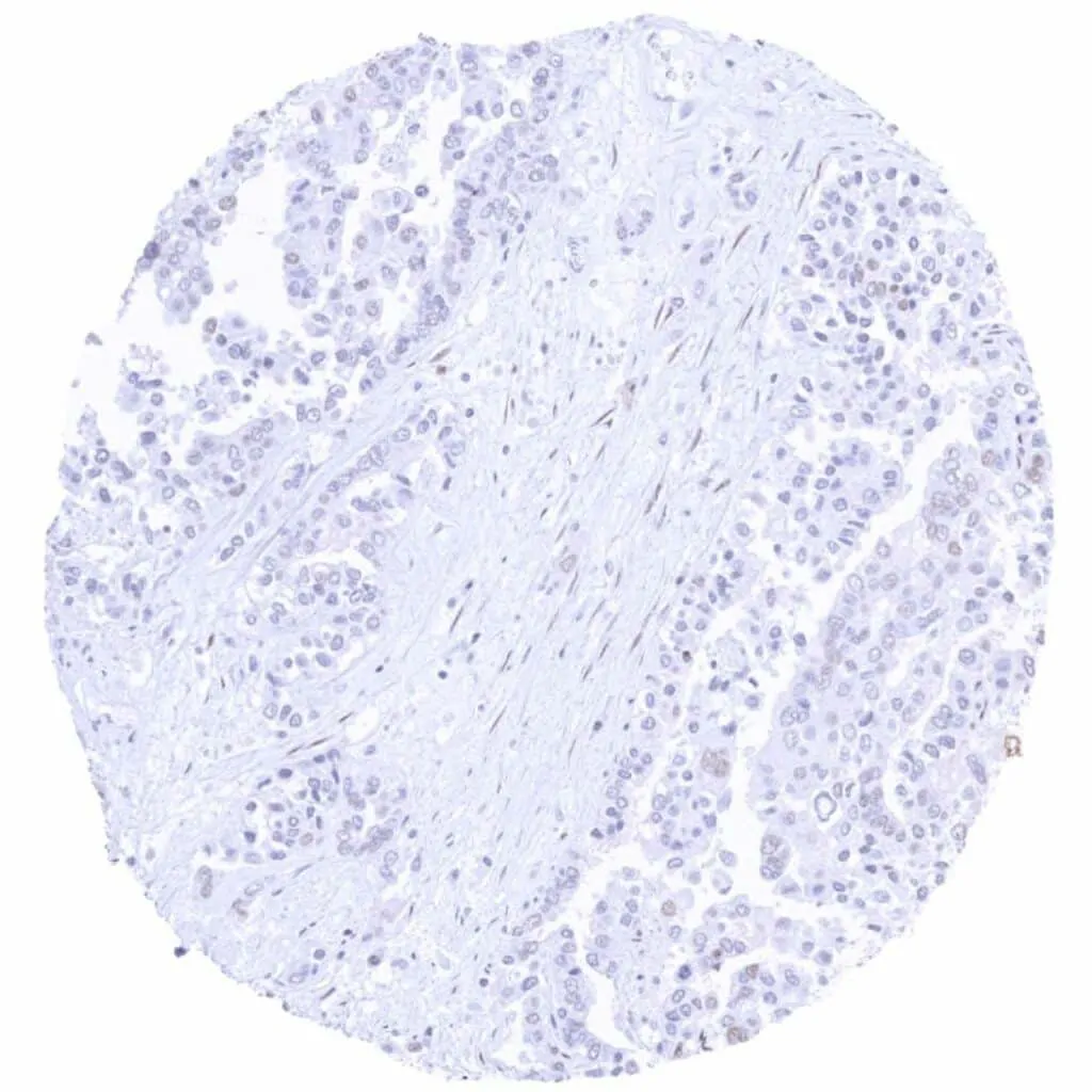
Thyroid – TLE1 negative follicular carcinoma

       

Urinary bladder – Muscle-invasive urothelial carcinoma with moderate TLE1 positivity of tumor cells

Urinary bladder – Muscle-invasive urothelial carcinoma with weak TLE1 staining of a fraction of tumor cells

Urinary bladder – Non-invasive urothelial carcinoma (low grade, pTaG2) with faint TLE1 staining of most tumor cells

     

 

| TOP |