Normal Tissue Gallery- GTX642298

Kiss1 antibody [HMV3972] HistoMAX™

 

Go to Cancer Tissue Gallery
     
 Go back to product page
  

Go to HistoMAX page

 

Adrenal gland

Aorta, endothelium

Appendix, mucosa

Bone marrow

       

Breast

Bronchus, mucosa

Cerebellum (white matter)

Cerebellum, cortex (molecular layer, Purkinje cell layer, granule cell layer)

       

Cerebrum, grey matter

Cerebrum, white matter

Colon descendens, mucosa

Duodenum, Brunner gland

       

Duodenum, mucosa

Epididymis (Cauda)

Epididymis (Corpus)

Esophagus, squamous epithelium

       

Fallopian tube, mucosa

Fat

Gallbladder, epithelium

Heart muscle

       

Kidney, cortex

Kidney, medulla

Liver

Lung

       

Lymph node

Ovary, corpus luteum

Ovary, stroma

Pancreas

       

Pancreas

Parathyroid gland

Parotid gland

Pituitary gland, anterior lobe

       

Pituitary gland, posterior lobe

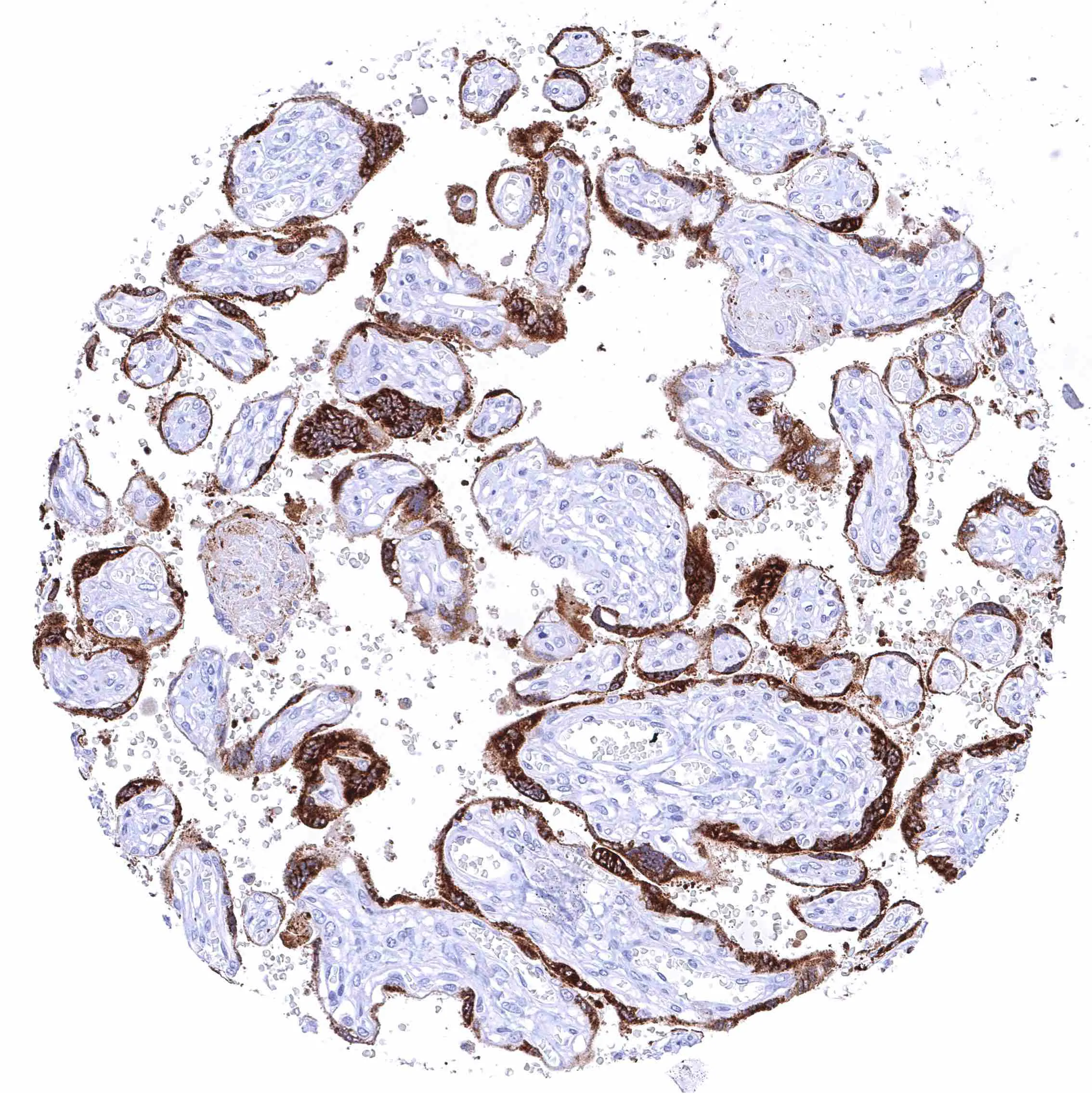
Placenta (amnion and chorion)

Placenta (first Trimenon) – Intense cytoplasmic KISS1 staining of the syncytiotrophoblast while cytotrophoblast and other cells remain KISS1 negative.

Placenta, mature – Strong cytoplasmic KISS1 staining of most cells of the syncytiotrophoblast.

       

Placenta, mature – Strong cytoplasmic KISS1 staining of the majority of the syncytiotrophoblast cells.

Placenta, mature – Strong cytoplasmic KISS1 staining of the syncytiotrophoblast.

Prostate

Rectum, mucosa

       

Seminal vesicle

Skeletal muscle

Skin, sebaceous gland

Skin

       

Spleen

Stomach, antrum

Stomach, corpus

Stomach, muscular wall

       

Submandibular gland

Testis

Thymus

Thyroid gland

       

Tonsil, surface epithelium

Tonsil

Urinary bladder, muscular wall

Urinary bladder, urothelium

       

Uterus, endocervix

Uterus, endometrium (pregnancy)

Uterus, endometrium (proliferation)

Uterus, endometrium (secretion)

       

Uterus, myometrium

 

 

| TOP |