Normal Tissue Gallery- GTX04965

Prostein antibody [MSVA-460R] HistoMAX™

 

Go to Cancer Tissue Gallery
  
 Go back to product page
  

Go to HistoMAX page

 

Adrenal gland

Anal canal, skin

Aorta, media

Appendix, mucosa – Prostein staining is lacking

       

Appendix, muscular wall

Bone marrow

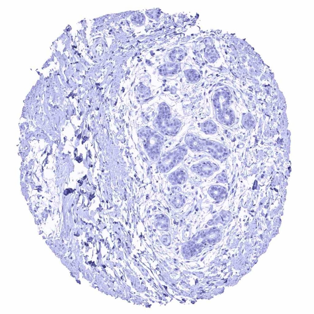
Breast

Bronchus, glands – Moderate granular, cytoplasmic and predominantly perinuclear prostein staining in goblet cells of respiratory epithelium

       

Bronchus, mucosa – A moderate granular, cytoplasmic and predominantly perinuclear prostein staining is seen in goblet cells of the respiratory epithelium

Bronchus, mucosa – Prostein staining is lacking in this respiratory epithelium which is not containing goblet cells

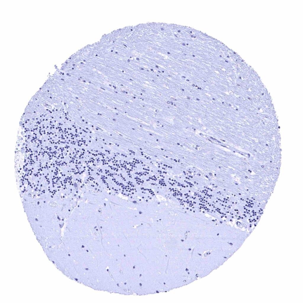
Cerebellum (molecular layer, Purkinje cell layer, granule cell layer, white matter)

Cerebellum (molecular layer, Purkinje cell layer, granule cell layer, white matter)

       

Cerebrum, grey matter

Cerebrum, white matter

Colon descendens, muscular wall

Duodenum, Brunner gland

       

Duodenum, mucosa – Absence of prostein staining

Epididymis

Epididymis

Esophagus, squamous epithelium

       

Fallopian tube, mucosa

Fat

Gallbladder, epithelium – Absence of prostein staining

Heart muscle

       

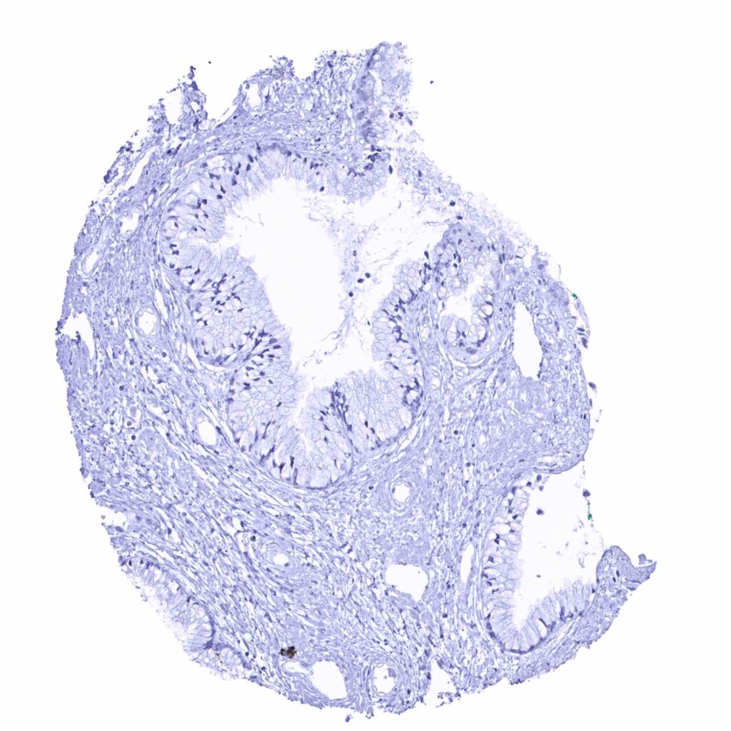
Ileum, mucosa – Absence of prostein staining

Kidney, cortex

Kidney, medulla

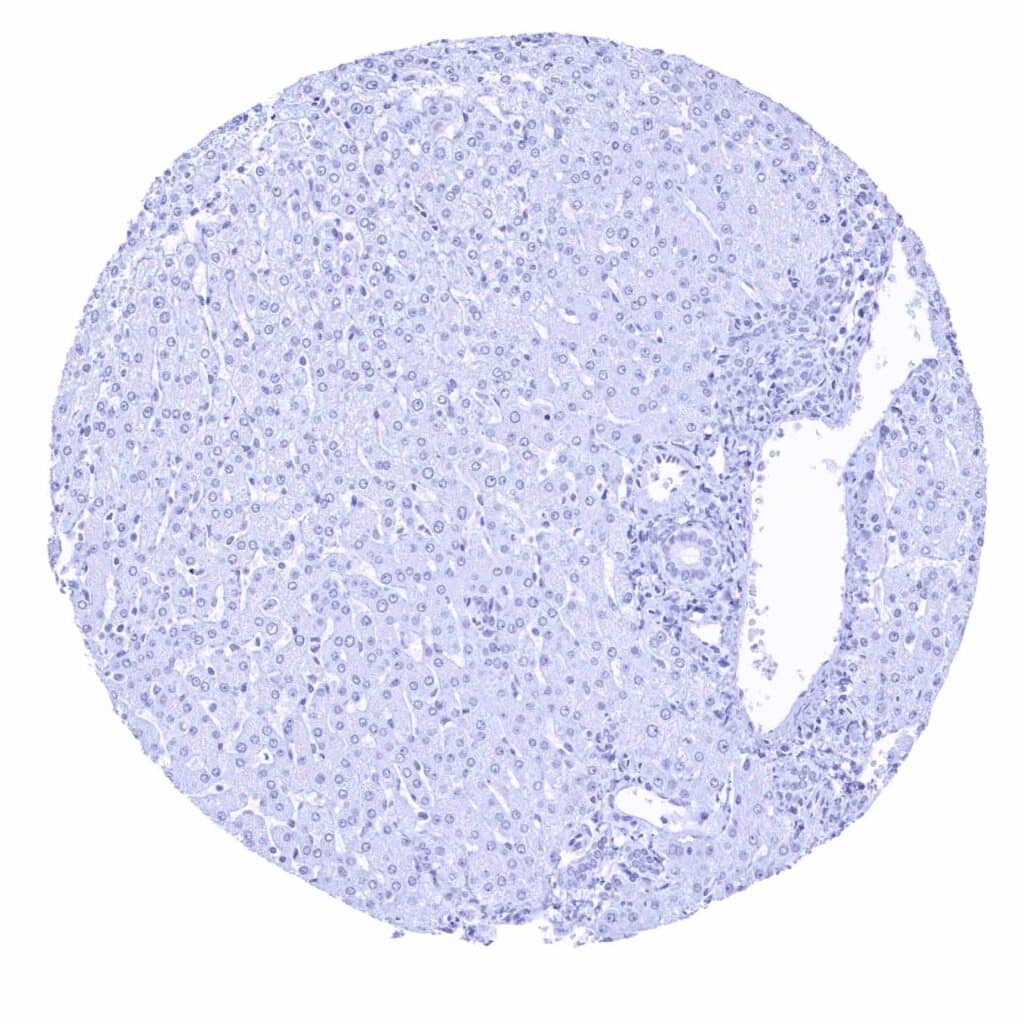
Liver

       

Liver

Lung

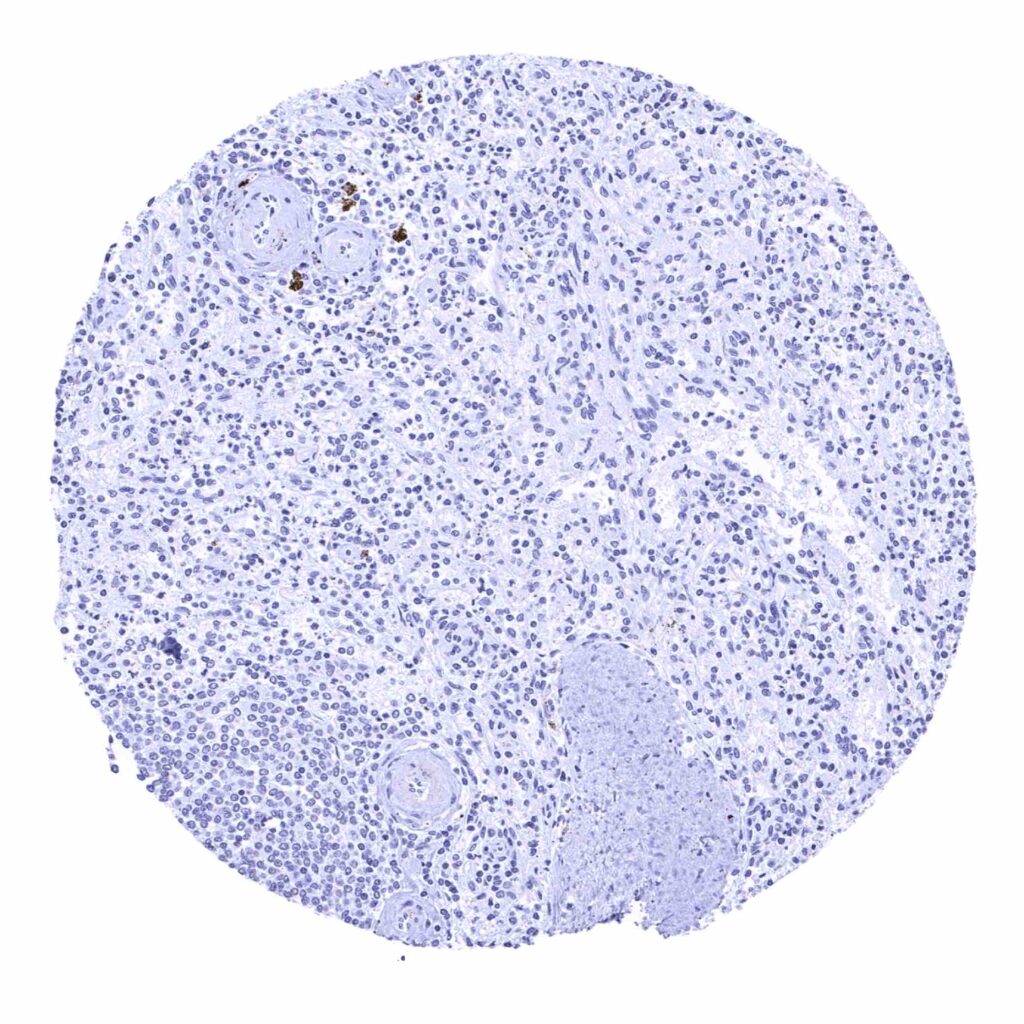
Lymph node

Ovary, follicular cyst

       

Ovary, stroma

Pancreas – A weak, granular cytoplasmic prostein staining can be seen in a subset of pancreatic islet cells

Pancreas – Pancreatic islet cells are prostein negative in his sample

Parathyroid gland

       

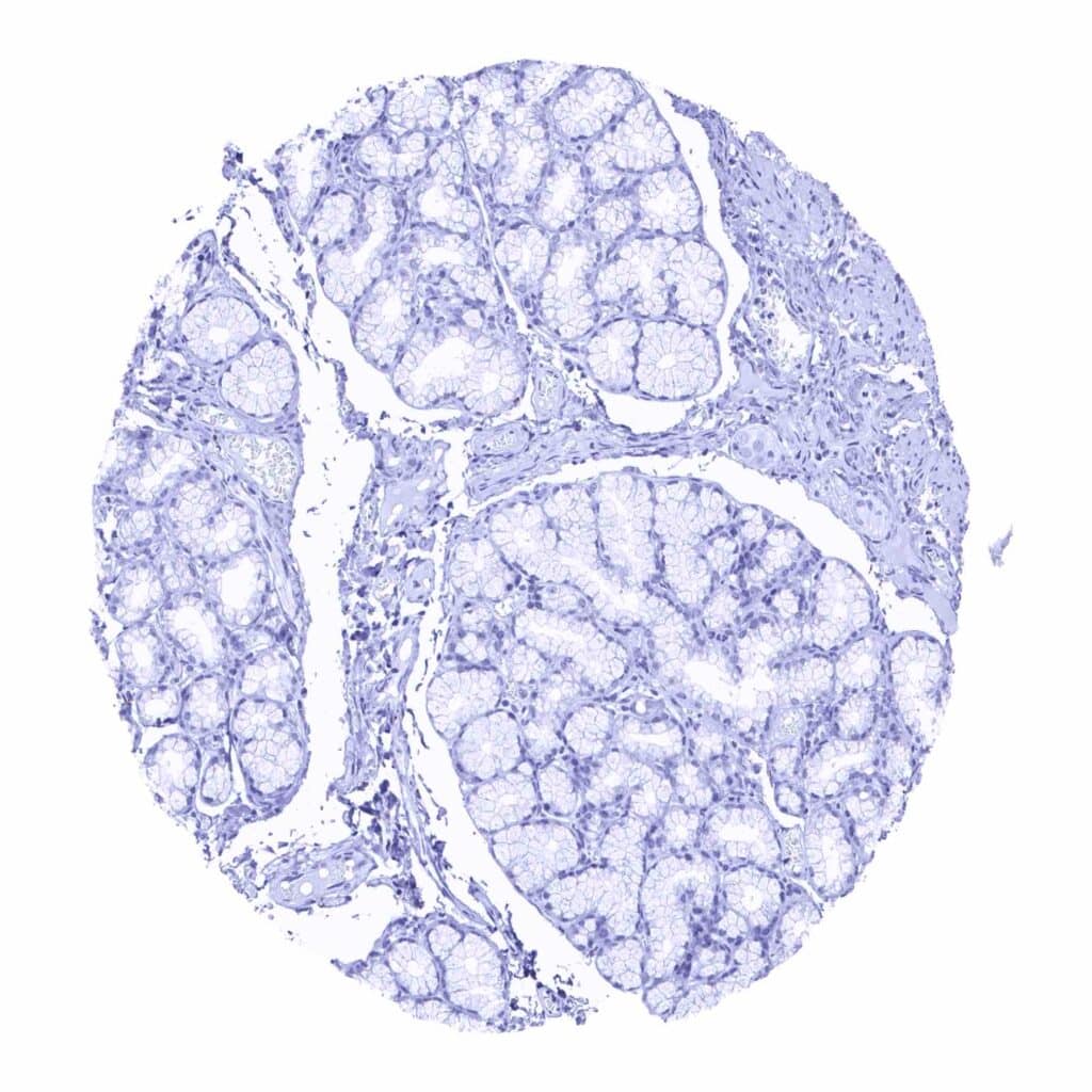
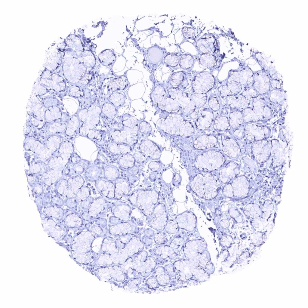
Parotid gland

Pituitary gland, anterior lobe

Pituitary gland, posterior lobe

Placenta (amnion and chorion)

       

Placenta, early

Placenta, mature

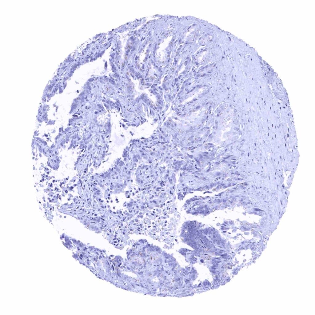
Prostate – Intense granular, cytoplasmic prostein staining of luminal cells of the prostate (prostein immunohistochemistry)

Prostate – Luminal epithelial cells of the prostate show a strong granular, perinuclear cytoplasmic prostein staining (prostein immunohistochemistry)

       

Prostate – Strong, granular, perinuclear cytoplasmic prostein staining of luminal cells of the prostate (prostein immunohistochemistry)

Rectum, mucosa – Absence of prostein staining

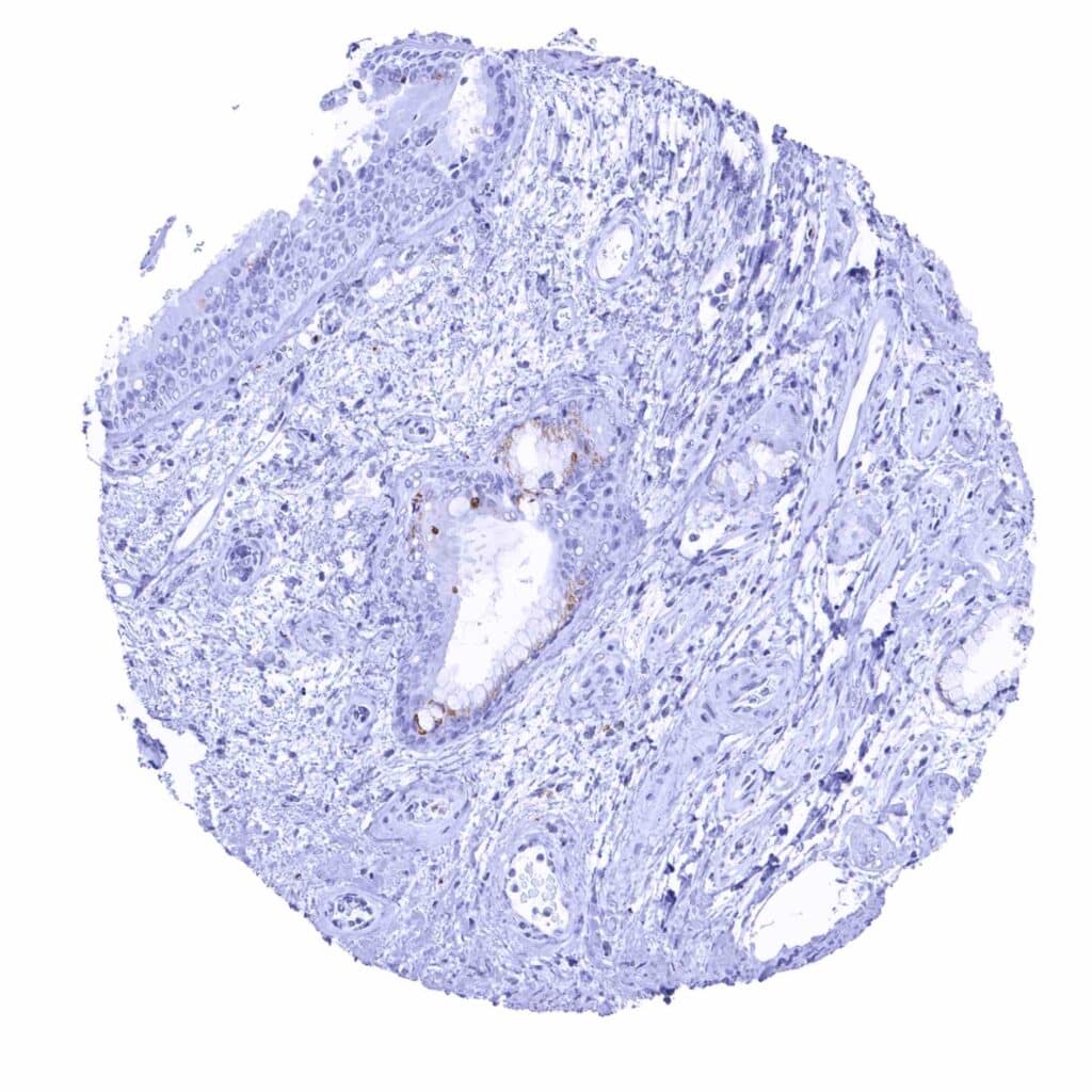
Seminal vesicle – Absence of prostein staining

Skeletal muscle

       

Skin

Skin, hairfollicel and sebaceous glands

Spleen

Stomach, antrum – Granular cytoplasmic prostein staining of moderate intensity in surface epithelial cells (prostein immunohistochemistry)

       

Stomach, corpus – Granular cytoplasmic prostein staining of moderate intensity in surface epithelial cells (prostein immunohistochemistry)

Sublingual gland

Testis

Thymus

       

Thyroid gland

Tonsil, surface epithelium

Tonsil

Urinary bladder, muscular wall

       

Urinary bladder, urothelium

Uterus, ectocervix

Uterus, endocervix

Uterus, endometrium (pregnancy)

       

Uterus, endometrium (proliferation)

Uterus, endometrium (secretion)

Uterus, myometrium

     

 

| TOP |