Normal Tissue Gallery- GTX642296

p27 Kip1 antibody [HMV3970] HistoMAX™

 

Go to Cancer Tissue Gallery
     
 Go back to product page
  

Go to HistoMAX page

 

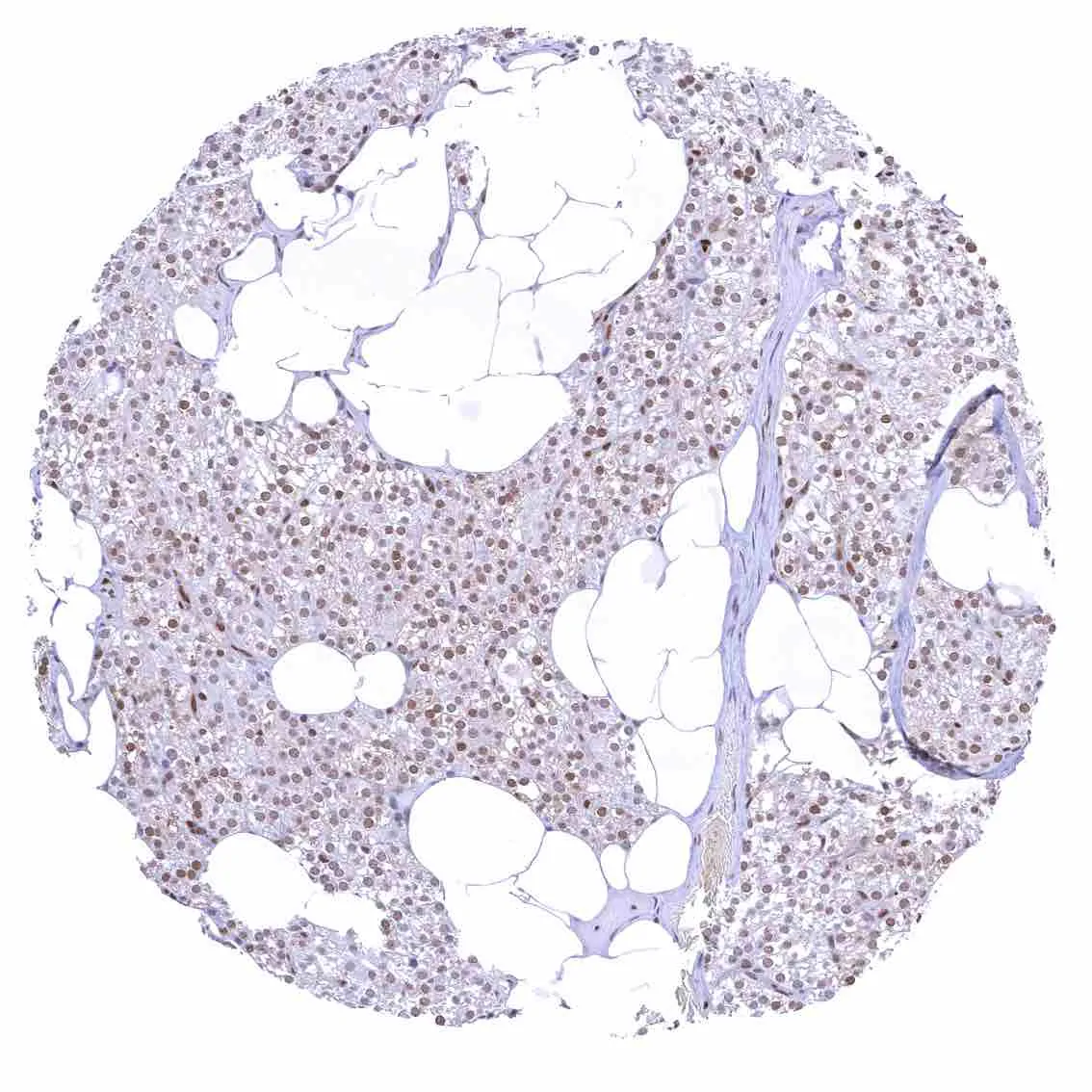
Adrenal gland – Distinct nuclear p27 positivity of a large fraction of cells.

Aorta, media – Strong nuclear p27 staining of muscle cells in the aorta.

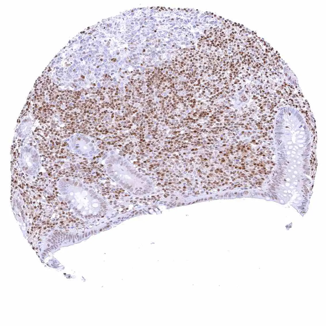
Appendix, mucosa – Among epithelial cells, nuclear p27 staining predominates in superficial epithelial cells. Most p27 staining occurs in lymphatic cells, however.

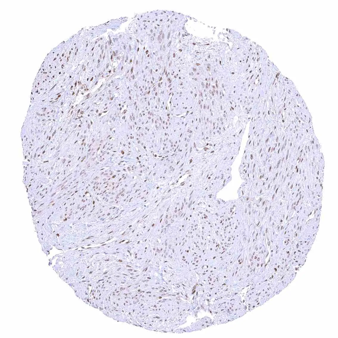
Appendix, muscular wall – Nuclear p27 staining of variable intensity in a fraction of smooth muscle and of neuronal cells.

       

Bone marrow – The number of p27 positive cells is rather low.

Breast – Moderate to strong nuclear p27 positivity of a large fraction of glandular epithelial cells.

Bronchus, mucosa – Strong nuclear p27 positivity of a large fraction of respiratory epithelial cells.

Cerebellum (molecular layer, Purkinje cell layer, granule cell layer) – Strong nuclear p27 positivity of all granular cells while Purkinje cells and most cells of the molecular layer are p27 negative.

       

Cerebellum (white matter) – Many strongly p27 positive glia cells.

Cerebrum, grey matter –- Many strongly p27 positive glia cells.

Cerebrum, white matter

Colon descendens, mucosa

       

Colon descendens, muscular wall – Strong nuclear p27 staining of most smooth muscle and neuronal cells.

Colon descendens, muscular wall

Duodenum, Brunner gland

Duodenum, mucosa – Nuclear p27 positivity of a fraction of epithelial cells.

       

Epididymis (Cauda)

Epididymis (Corpus)

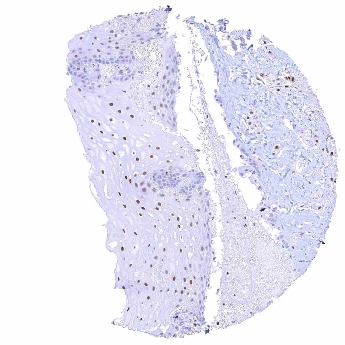
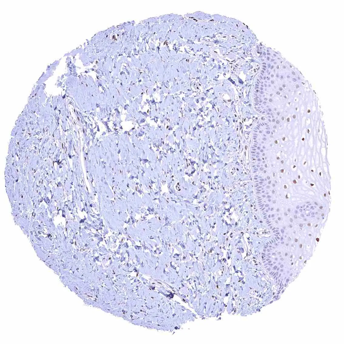
Esophagus, squamous epithelium – Nuclear staining of squamous epithelial cells predominates in the more mature cell layers (top 50_ of the epidermis).

Fallopian tube, mucosa

       

Fat – Variable nuclear p27 staining of at least a fraction of fat cells.

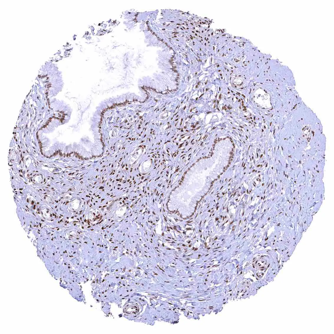
Gallbladder, epithelium

Heart muscle – Distinct nuclear p27 staining of stroma cells while myocytes are largely negative.

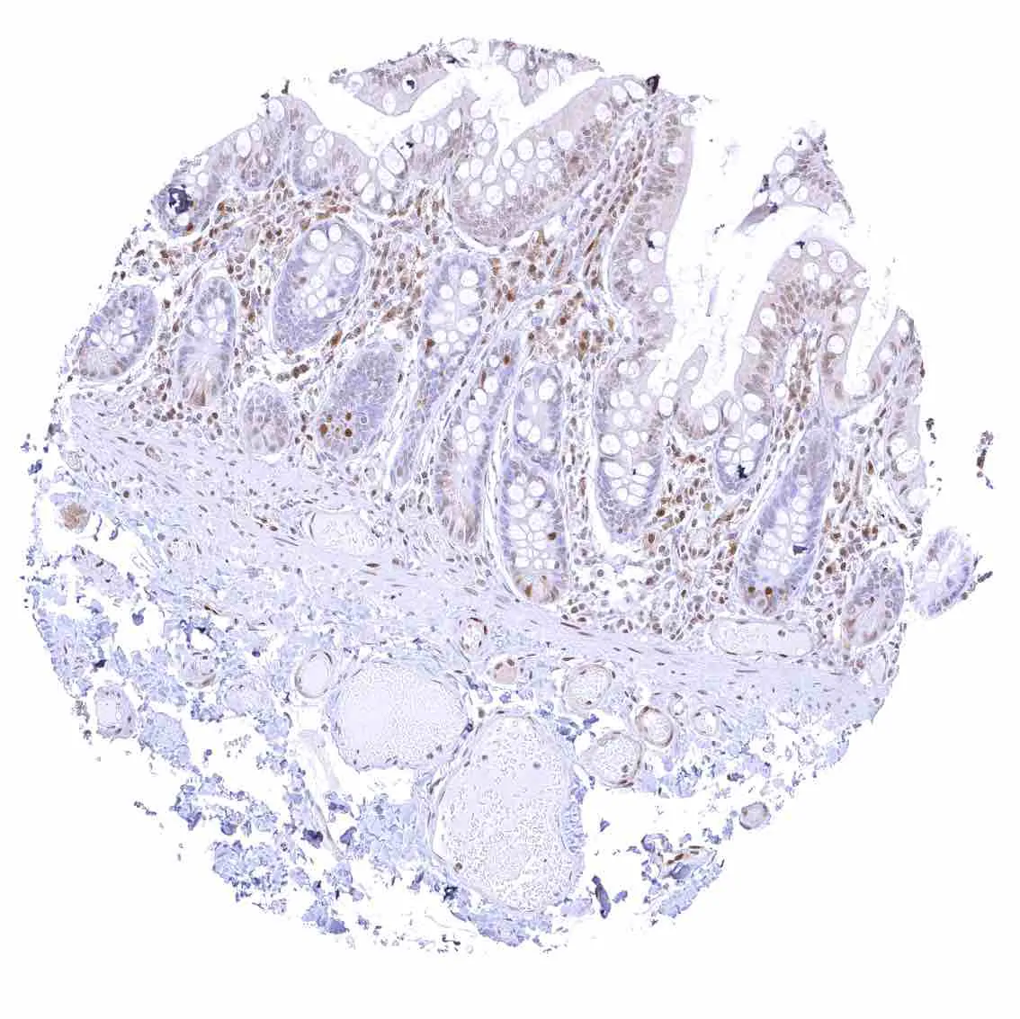
Ileum, mucosa – Nuclear p27 positivity of a fraction of epithelial cells.

       

Kidney, cortex – Tubuli are usually p27 negative. The strongest p27 staining occurs in glomeruli and in stroma cells including small vessels.

Kidney, medulla

Kidney, pelvis, urothelium

Liver – p27 staining is rare or absent in hepatocytes.

       

Lung

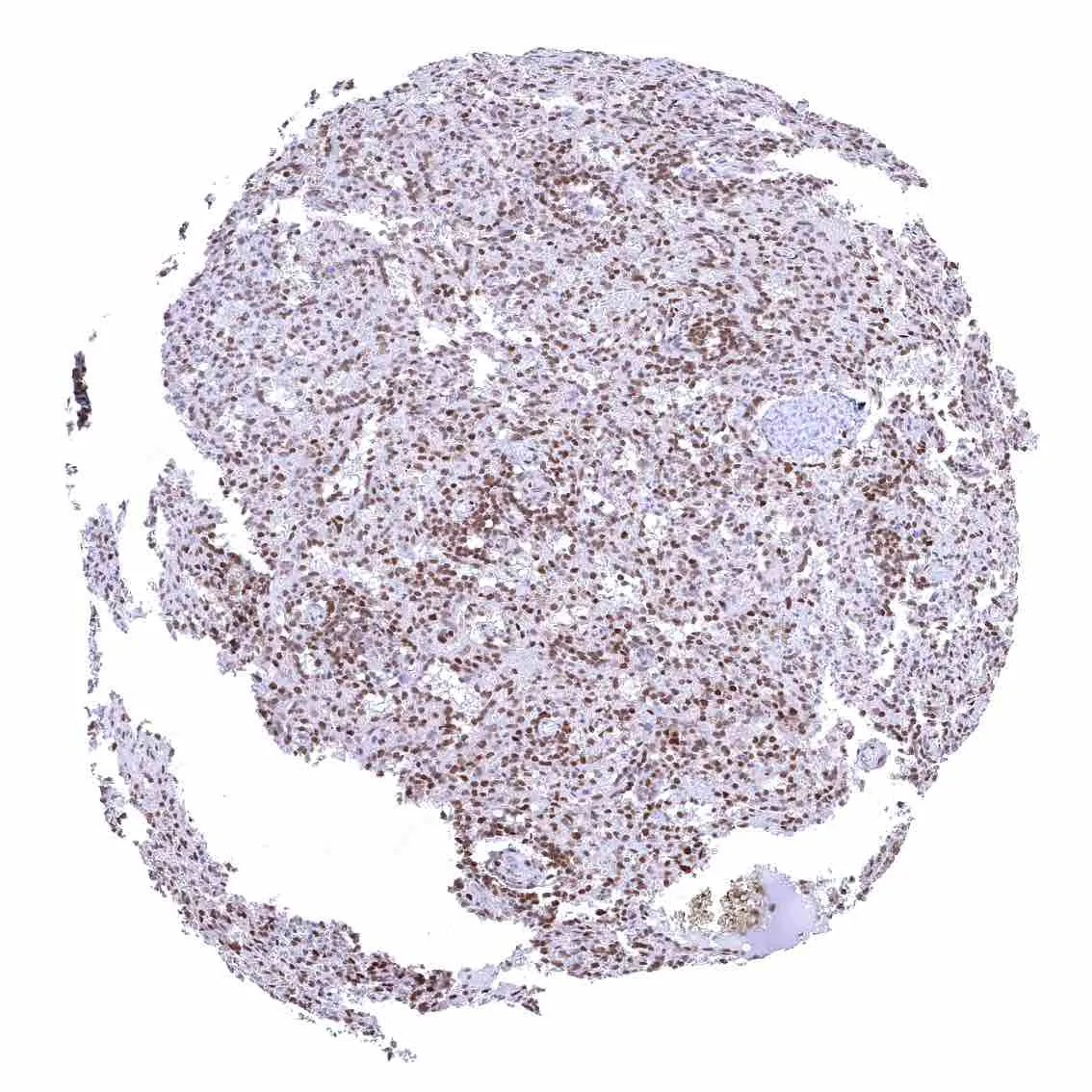
Lymph node – Strong nuclear p27 staining of a significant subset of cells, especially in the interfollicular area.

Ovary, corpus luteum – Weak to moderate nuclear p27 staining of all corpus luteum cells.

Ovary, stroma – Strong nuclear p27 staining of all stroma cells.

       

Pancreas – p27 staining is more common in islet cells than in acinar cells.

Parathyroid gland – Weak to moderate nuclear p27 positivity of most epithelial cells.

Parotid gland – p27 staining is more common in glandular cells than in excretory ducts.

Pituitary gland, posterior lobe

       

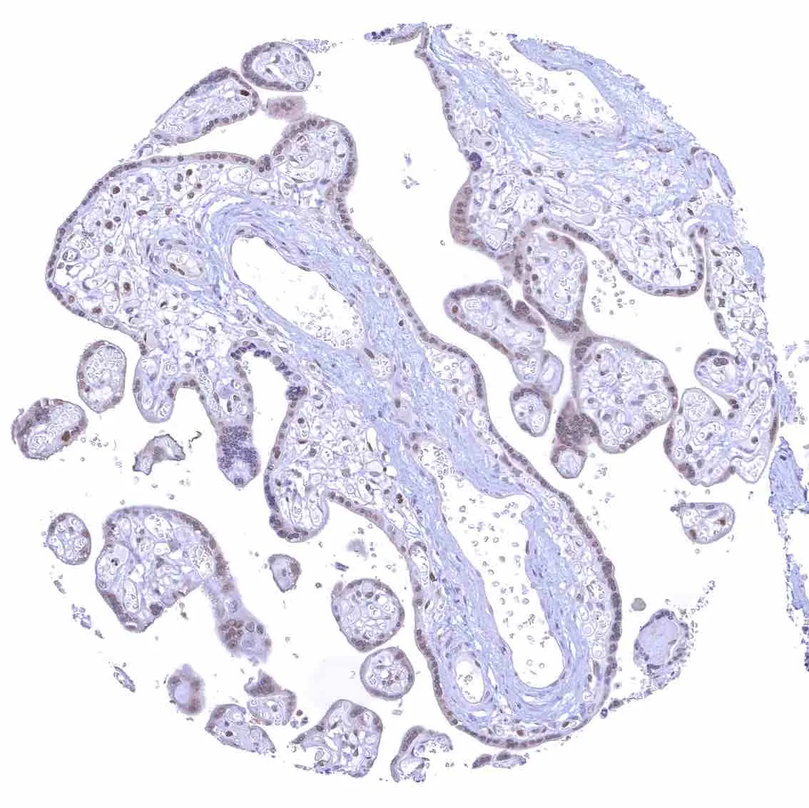
Placenta (amnion and chorion) – Moderate to strong nuclear p27 staining of most or all chorion cells. A weak to moderate nuclear p27 staining also occurs in a subset of amnion cells.

Placenta, early – Strong p27 staining of all nuclei of the syncytiotrophoblast.

Placenta, mature – Weak nuclear p27 staining of trophoblast and stroma cells.

Prostate

       

Rectum, mucosa

Seminal vesicle

Skeletal muscle – Strong nuclear p27 staining of most but not all cells.

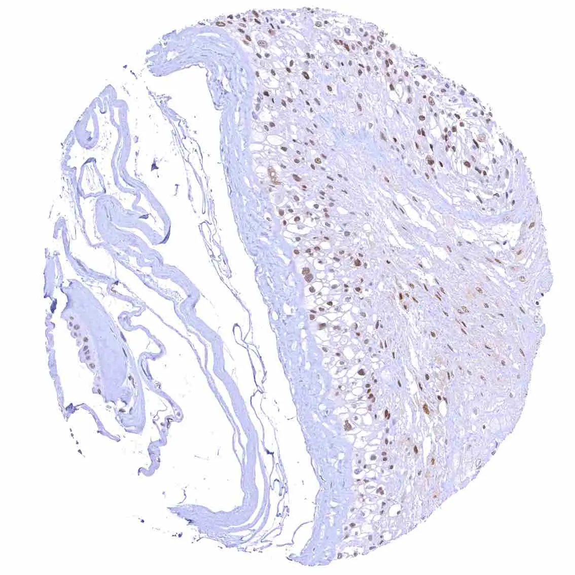
Skin – Moderate to strong nuclear p27 staining occurs in a large fraction of squamous epithelial cells and predominates in the more mature cell layers (top 50_ of the epidermis).

       

Skin, hairfollicel and sebaceous glands – Moderate to strong nuclear p27 staining in all cells of sebaceous glands.

Spleen – Strong nuclear p27 staining of a large fraction of cells.

Stomach, corpus – Nuclear p27 positivity predominates in superficial epithelial cells and is rarely seen in neck cells.

Testis – Weak to moderate nuclear p27 staining of a subset of cells (predominantly Sertoli cells).

       

Thymus – Strong nuclear p27 staining of a large fraction of cells.

Thyroid gland – Weak to moderate nuclear p27 positivity of most follicular cells.

Tonsil – Strong nuclear p27 staining of a significant subset of cells, especially in the interfollicular area. Nuclear staining of squamous epithelial cells predominates in the more mature cell layers (top 50_ of the epidermis).

Tonsil, surface epithelium – Strong nuclear p27 staining of a significant subset of cells, especially in the interfollicular area. Nuclear staining of squamous epithelial cells predominates in the more mature cell layers (top 50_ of the epidermis).

       

Urinary bladder, muscular wall

Urinary bladder, urothelium

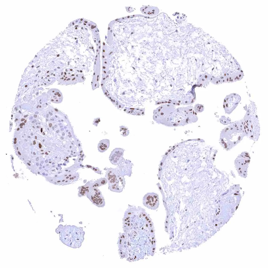
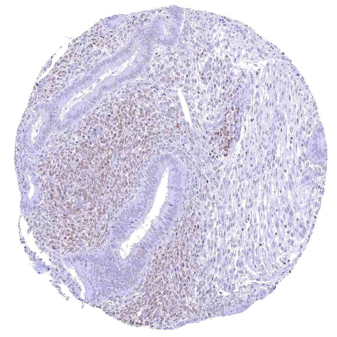
Uterus, ectocervix – Nuclear staining of squamous epithelial cells predominates in the more mature cell layers (top 50_ of the epidermis).

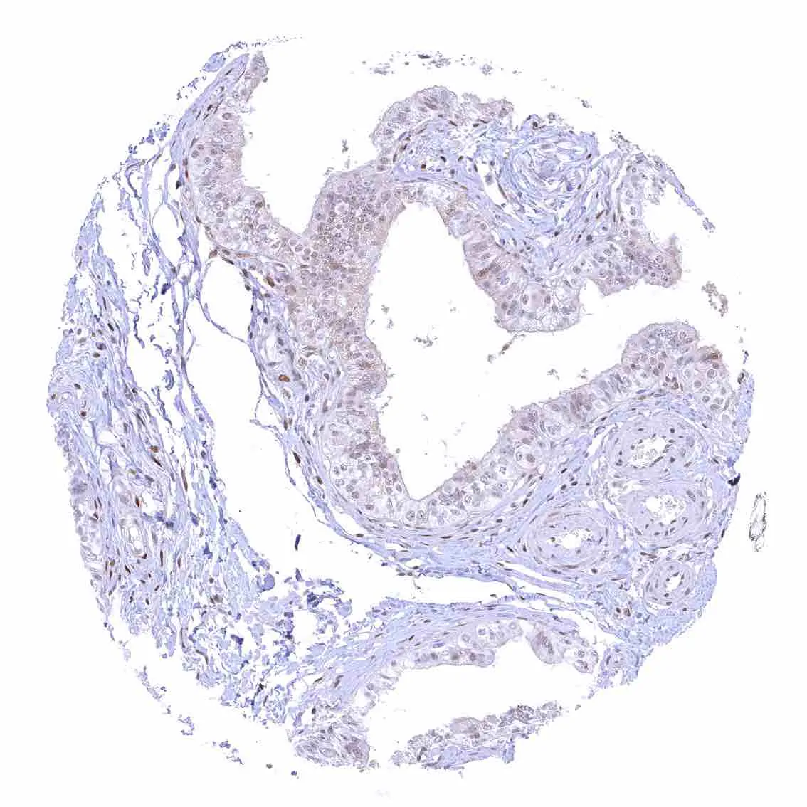
Uterus, endocervix – Nuclear p27 staining is variable in the endocervix. It is positive in all epithelial cells in this sample.

       

Uterus, endocervix

 

Uterus, endometrium (pregnancy) – Distinct nuclear p27 staining of both endometrium and decidua cells.

Uterus, endometrium (proliferation) – Nuclear p27 staining is absent in endometrium epithelial cells in this sample.

Uterus, endometrium (proliferation) – Nuclear p27 staining is weak in endometrium epithelial cells in this sample.

       

Uterus, myometrium – Nuclear p27 staining of variable intensity in most muscle cells.

 

 

| TOP |