Cancer Tissue Gallery- GTX640558

Calbindin antibody [HMV326] HistoMAXTM

 

Go to Normal Tissue Gallery
  
 Go back to product page
  

Go to HistoMAX page

 

 

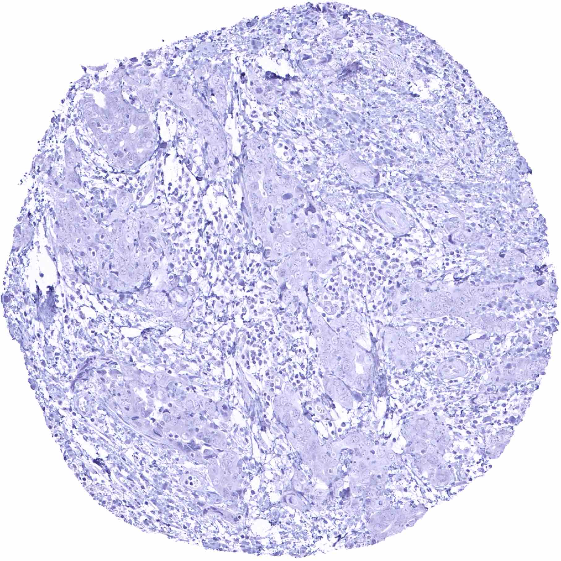
Breast – Calbindin 1 negative invasive breast cancer of no special type (NST)

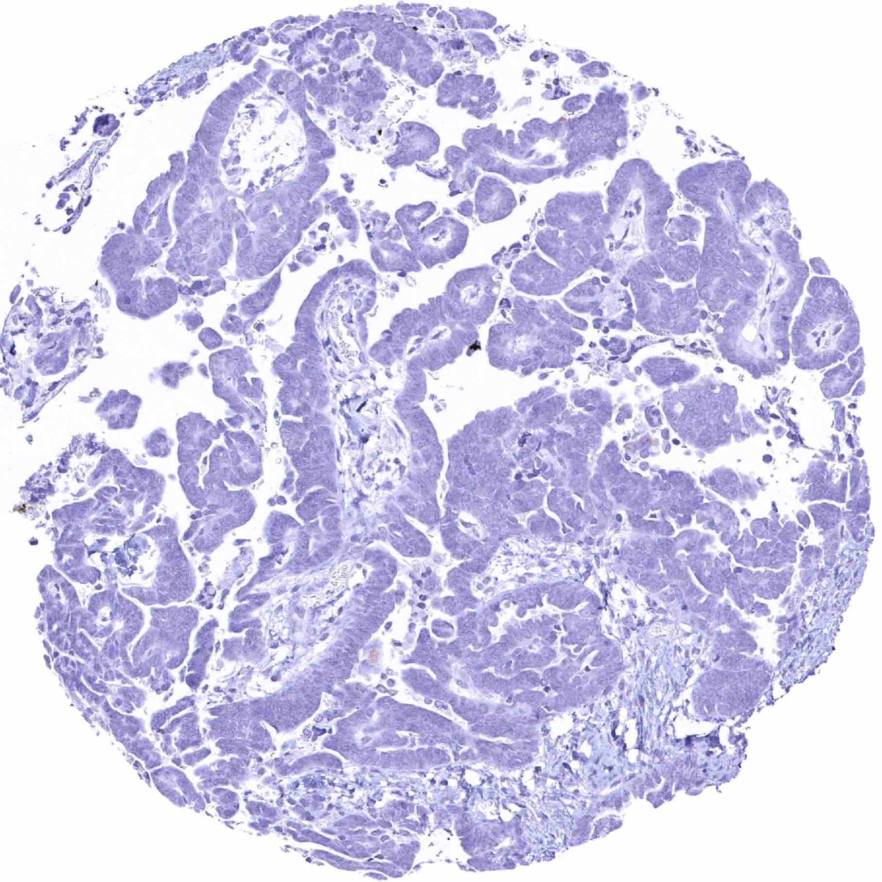
Colon – Calbindin 1 negative colorectal adenocarcinoma

Esophagus – Calbindin 1 negative adenocarcinoma

Esophagus – Calbindin 1 negative squamous cell carcinoma

       

Kidney – Calbindin 1 negative clear cell carcinoma

Kidney – Calbindin 1 negative oncocytoma

Kidney – Calbindin 1 negative papillary renal cell carcinoma

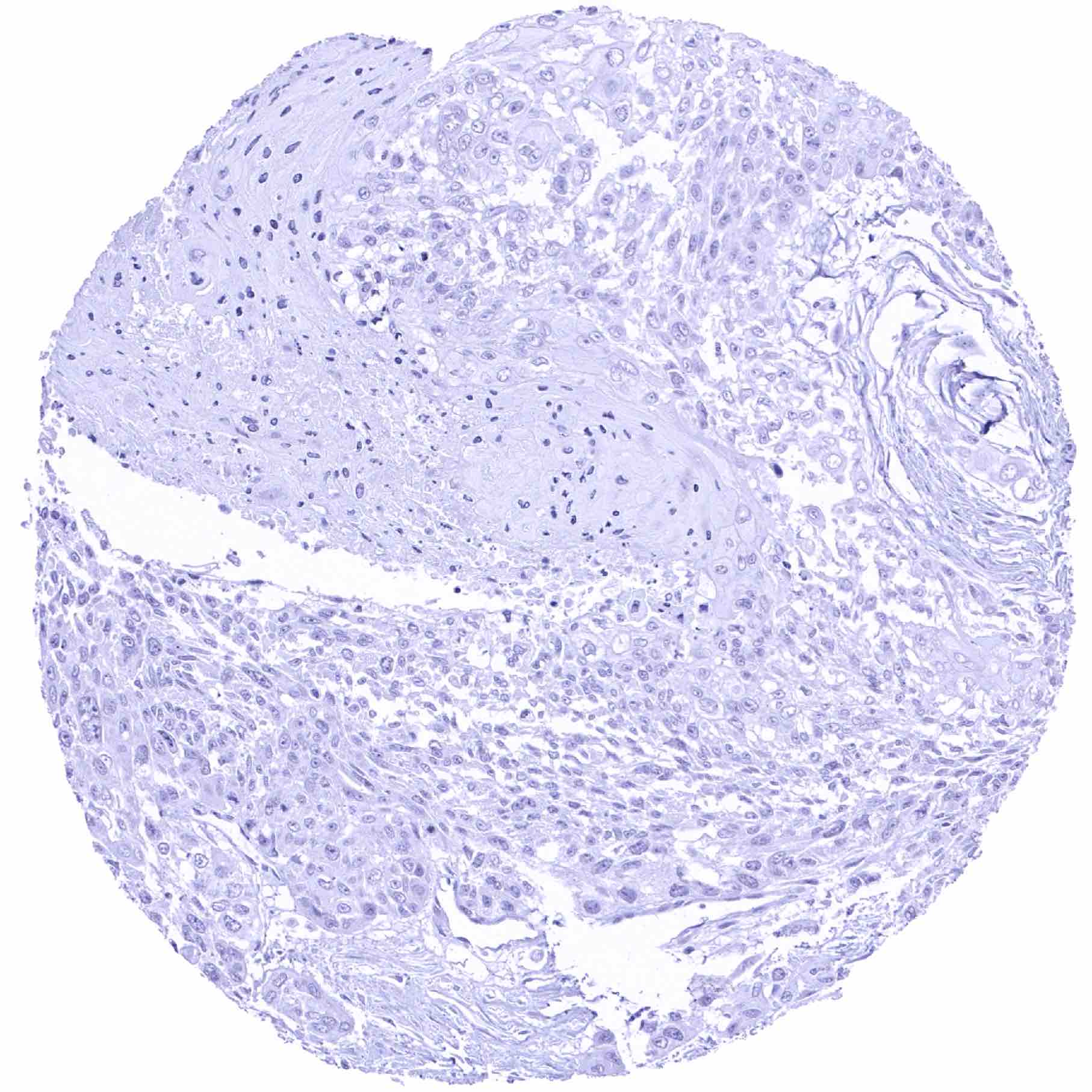
Oral cavity – Calbindin 1 negative squamous cell carcinoma

       

Ovary – Calbindin 1 negative clear cell carcinoma

Ovary – Calbindin 1 negative serous high-grade carcinoma

Pharynx – Calbindin 1 negative squamous cell carcinoma

Prostate – Calbindin 1 negative adenocarcinoma (Gleason 3+3=6)

       

 

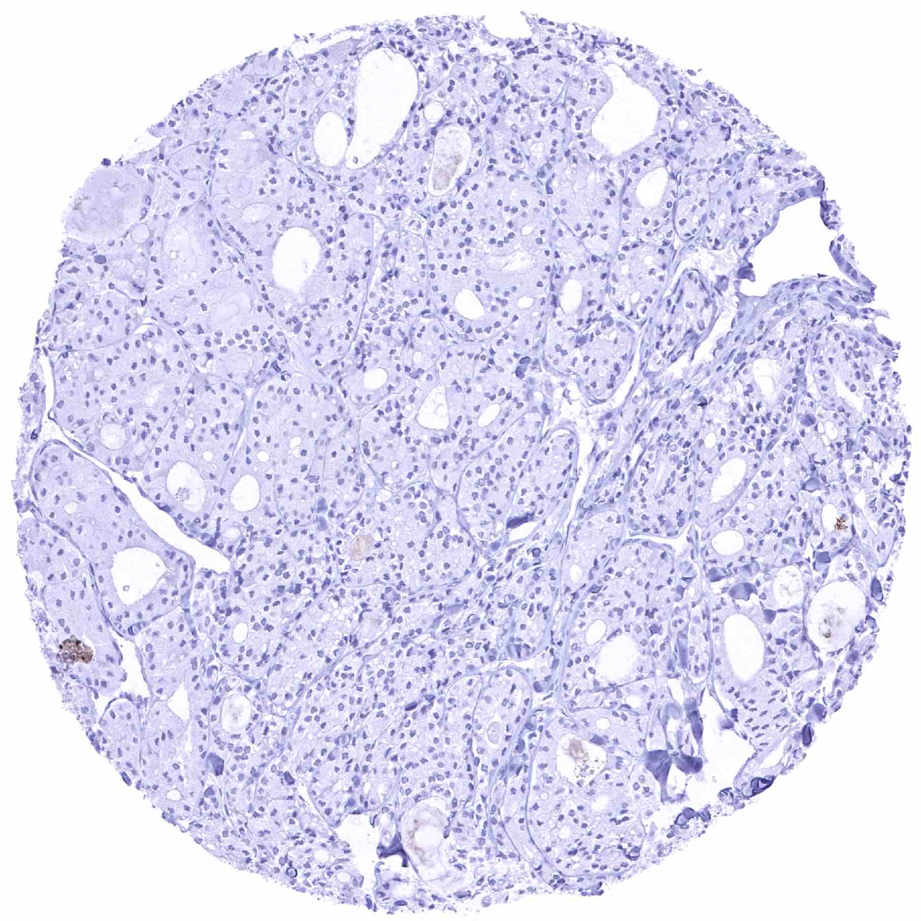
Thyroid – Calbindin 1 negative follicular carcinoma

Thyroid – Calbindin 1 negative papillary carcinoma

Urinary bladder – Calbindin 1 negative muscle-invasive urothelial carcinoma

Urinary bladder – Calbindin 1 negative non-invasive papillary urothelial carcinoma (pTa)

       

 

 

| TOP |