Normal Tissue Gallery- GTX640558

Calbindin antibody [HMV326] HistoMAXTM

 

Go to Cancer Tissue Gallery
  
 Go back to product page
  

Go to HistoMAX page

 

 

Adrenal gland

Aorta, media

Appendix, mucosa

Appendix, muscular wall

       

Bone marrow

Breast

Bronchus, Mucosa

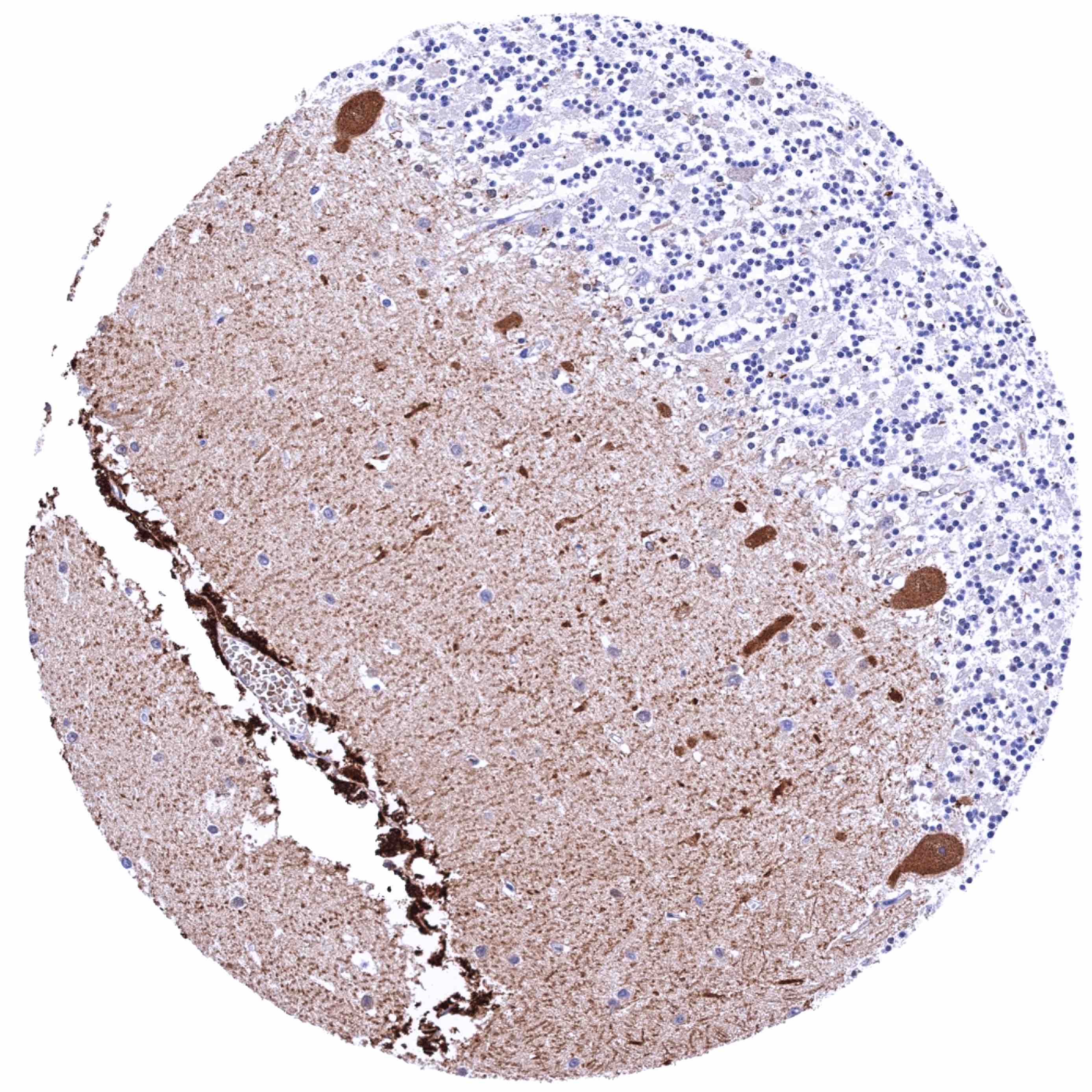
Cerebellum (white matter) – Strong Calbindin 1 staining of axonal fibres

       

Cerebellum, cortex (molecular layer, Purkinje cell layer, granule cell layer) – Strong Calbindin 1 staining of Purkinje cells and of associated axonal fibres.

Cerebellum, cortex (molecular layer, Purkinje cell layer, granule cell layer) – Strong Calbindin 1 staining of Purkinje cells and of associated axonal fibres.

Cerebellum, cortex (molecular layer, Purkinje cell layer, granule cell layer) – Strong Calbindin 1 staining of Purkinje cells and of associated axonal fibres.

Cerebellum, cortex (molecular layer, Purkinje cell layer, granule cell layer) – Strong Calbindin 1 staining of Purkinje cells and of associated axonal fibres.

       

 

Cerebellum, cortex (molecular layer, Purkinje cell layer, granule cell layer) – Strong Calbindin 1 staining of Purkinje cells and of associated axonal fibres.

Cerebrum, grey matter

Cerebrum, white matter

Colon descendens, mucosa

        

Colon descendens, muscular wall

Duodenum, mucosa

Duodenum, Brunner gland

Epididymis (Caput)

       

Epididymis (Cauda)

Esophagus, squamous epithelium

Fallopian tube, mucosa

Fat

       

Gallbladder, epithelium

Heart muscle

Ileum, mucosa

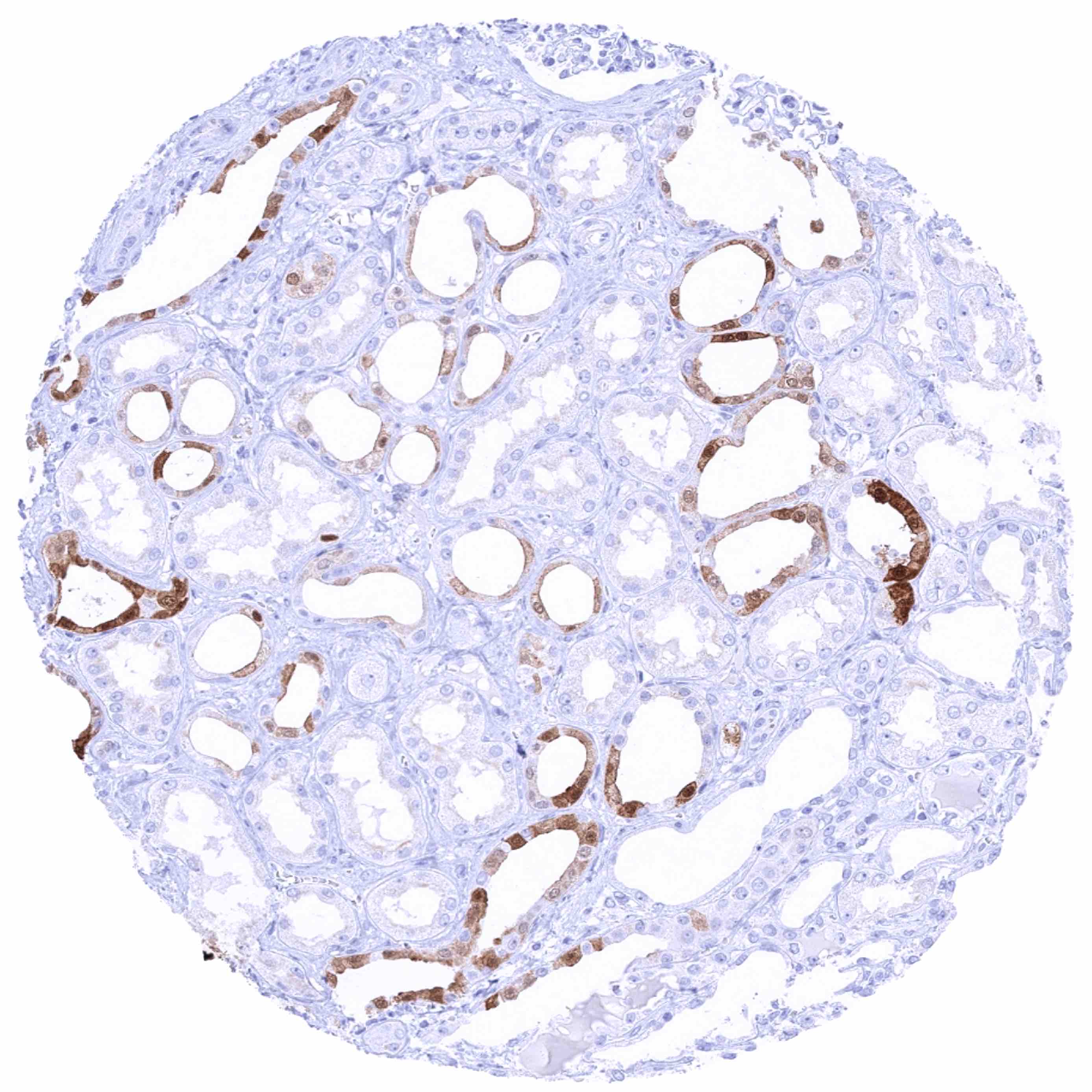
Kidney, cortex – Cytoplasmic (and nuclear) calbindin 1 staining of variable intensity in a fraction of distal tubuli

       

Kidney, cortex – Strong cytoplasmic (and nuclear) Calbindin 1 staining of a fraction of distal tubuli

Kidney, cortex – Strong cytoplasmic (and nuclear) Calbindin 1 staining of a fraction of distal tubuli

Kidney, medulla – Collecting ducts are Calbindin 1 negative

Kidney, pelvis, urothelium

       

Liver

Lung

Lymph node

Ovary, corpus luteum

       

Ovary, stroma

Pancreas

Parathyroid gland

Parotid gland

       

Pituitary gland, anterior lobe

Pituitary gland, posterior lobe

Placenta (amnion)

Placenta (chorion)

       

Placenta, early

Placenta, mature

Prostate

Rectum, mucosa

       

Seminal vesicle

Sinus paranasales

Skeletal muscle

Skin

       

Spleen

Stomach, antrum

Stomach, corpus

Testis

       

Thymus

Thyroid gland

Tonsil, surface epithelium

Tonsil

       

Urinary bladder, muscular wall

Urinary bladder, urothelium

Uterus, ectocervix

Uterus, endocervix

       

Uterus, endometrium (pregnancy)

Uterus, endometrium (proliferation)

Uterus, endometrium (secretion)

Uterus, myometrium

       

 

| TOP |